• 文献检索
  • 文档翻译
  • 深度研究
  • 学术资讯
  • Suppr Zotero 插件Zotero 插件
  • 邀请有礼
  • 套餐&价格
  • 历史记录
应用&插件
Suppr Zotero 插件Zotero 插件浏览器插件Mac 客户端Windows 客户端微信小程序
定价
高级版会员购买积分包购买API积分包
服务
文献检索文档翻译深度研究API 文档MCP 服务
关于我们
关于 Suppr公司介绍联系我们用户协议隐私条款
关注我们

Suppr 超能文献

核心技术专利:CN118964589B侵权必究
粤ICP备2023148730 号-1Suppr @ 2026

文献检索

告别复杂PubMed语法,用中文像聊天一样搜索,搜遍4000万医学文献。AI智能推荐,让科研检索更轻松。

立即免费搜索

文件翻译

保留排版,准确专业,支持PDF/Word/PPT等文件格式,支持 12+语言互译。

免费翻译文档

深度研究

AI帮你快速写综述,25分钟生成高质量综述,智能提取关键信息,辅助科研写作。

立即免费体验

血液学患者中的暴发性感染性休克威胁

OPSI threat in hematological patients.

作者信息

Serio B, Pezzullo L, Giudice V, Fontana R, Annunziata S, Ferrara I, Rosamilio R, De Luca C, Rocco M, Montuori N, Selleri C

机构信息

Hematology and Hematopoietic Stem Cell Transplant Center, Department of Medicine and Surgery, University of Salerno, Salerno, Italy;

出版信息

Transl Med UniSa. 2013 May 6;6:2-10. eCollection 2013.

PMID:24251241
原文链接:https://pmc.ncbi.nlm.nih.gov/articles/PMC3829791/
Abstract

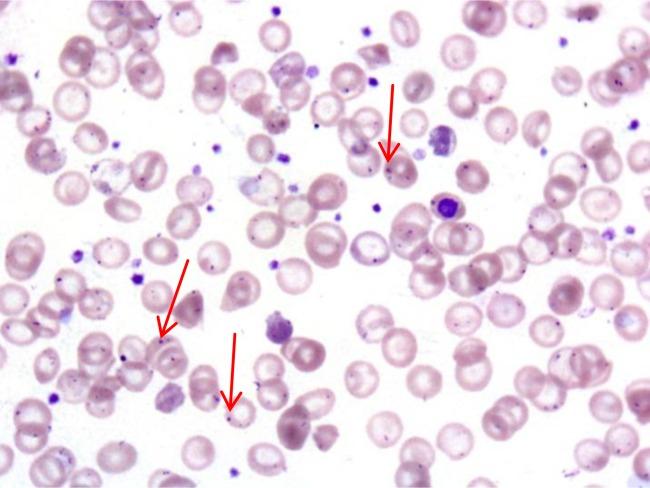
Overwhelming post-splenectomy infection (OPSI) is a rare medical emergency, mainly caused by encapsulated bacteria, shortly progressing from a mild flu-like syndrome to a fulminant, potentially fatal, sepsis. The risk of OPSI is higher in children and in patients with underlying benign or malignant hematological disorders. We retrospectively assessed OPSI magnitude in a high risk cohort of 162 adult splenectomized patients with malignant (19%) and non malignant (81%) hematological diseases, over a 25-year period: 59 of them splenectomized after immunization against encapsulated bacteria, and 103, splenectomized in the previous 12-year study, receiving only life-long oral penicillin prophylaxis. The influence of splenectomy on the immune system, as well as the incidence, diagnosis, risk factors, preventive measures and management of OPSI are also outlined. OPSI occurred in 7 patients (4%) with a median age of 37 years at time interval from splenectomy ranging from 10 days to 12 years. All OPSIs occurred in non immunized patients, except one fatal Staphylococcus aureus -mediated OPSI in a patient adequately immunized before splenectomy. Our analysis further provides evidence that OPSI is a lifelong risk and that current immune prophylaxis significantly decreases OPSI development. Improvement in patients' education about long-term risk of OPSI and increased physician awareness to face a potentially lethal medical emergency, according to the current surviving sepsis guidelines, represent mandatory strategies for preventing and managing OPSI appropriately.

摘要

脾切除术后暴发性感染(OPSI)是一种罕见的医疗急症,主要由包膜细菌引起,可在短时间内从轻微的流感样综合征迅速发展为暴发性、可能致命的败血症。儿童以及患有潜在良性或恶性血液系统疾病的患者发生OPSI的风险更高。我们回顾性评估了162例患有恶性(19%)和非恶性(81%)血液系统疾病的成年脾切除患者在25年期间的OPSI发生率:其中59例在接种包膜细菌疫苗后接受了脾切除术,103例在之前的12年研究中接受了脾切除术,仅接受终身口服青霉素预防。本文还概述了脾切除术对免疫系统的影响,以及OPSI的发病率、诊断、危险因素、预防措施和管理。7例患者(4%)发生了OPSI,脾切除术后时间间隔为10天至12年,中位年龄为37岁。除1例在脾切除术前充分免疫的患者发生致命的金黄色葡萄球菌介导的OPSI外,所有OPSI均发生在未免疫的患者中。我们的分析进一步证明,OPSI是一种终身风险,目前的免疫预防措施可显著降低OPSI的发生。根据目前的脓毒症存活指南,提高患者对OPSI长期风险的认识以及提高医生应对潜在致命医疗急症的意识,是适当预防和管理OPSI的必要策略。

https://cdn.ncbi.nlm.nih.gov/pmc/blobs/f72f/3829791/de3124cec484/tm_6p02f2.jpg
https://cdn.ncbi.nlm.nih.gov/pmc/blobs/f72f/3829791/3c3046404377/tm_6p02f1.jpg
https://cdn.ncbi.nlm.nih.gov/pmc/blobs/f72f/3829791/de3124cec484/tm_6p02f2.jpg
https://cdn.ncbi.nlm.nih.gov/pmc/blobs/f72f/3829791/3c3046404377/tm_6p02f1.jpg
https://cdn.ncbi.nlm.nih.gov/pmc/blobs/f72f/3829791/de3124cec484/tm_6p02f2.jpg

相似文献

1
OPSI threat in hematological patients.血液学患者中的暴发性感染性休克威胁
Transl Med UniSa. 2013 May 6;6:2-10. eCollection 2013.
2
Overwhelming postsplenectomy infection: is quality of patient knowledge enough for prevention?脾切除术后严重感染:患者的知识水平足以预防感染吗?
Hematol J. 2004;5(1):77-80. doi: 10.1038/sj.thj.6200328.
3
Overwhelming post splenectomy infection syndrome - review study.脾切除术后感染综合征概述——综述研究。
Int J Surg. 2014 Dec;12(12):1314-6. doi: 10.1016/j.ijsu.2014.11.005. Epub 2014 Nov 7.
4
[Fulminant sepsis following posttraumatic splenectomy--OPSI (overwhelming postsplenectomy infection) syndrome].创伤后脾切除术后暴发性败血症——脾切除术后凶险性感染(OPSI)综合征
Anaesthesist. 1989 Jul;38(7):379-82.
5
Meningitis and septicaemia in adults splenectomized for Hodgkin's disease.
Scand J Haematol. 1986 May;36(5):492-8. doi: 10.1111/j.1600-0609.1986.tb02286.x.
6
Overwhelming postsplenectomy infection syndrome in adults - a clinically preventable disease.成人脾切除术后暴发性感染综合征——一种临床可预防的疾病。
World J Gastroenterol. 2008 Jan 14;14(2):176-9. doi: 10.3748/wjg.14.176.
7
A prospective study on antibody response to repeated vaccinations with pneumococcal capsular polysaccharide in splenectomized individuals with special reference to Hodgkin's lymphoma.一项关于脾切除个体(特别提及霍奇金淋巴瘤患者)对肺炎球菌荚膜多糖重复接种疫苗的抗体反应的前瞻性研究。
J Intern Med. 2004 Jun;255(6):664-73. doi: 10.1111/j.1365-2796.2004.01312.x.
8
Overwhelming infection in asplenic patients: current best practice preventive measures are not being followed.无脾患者的严重感染:当前最佳实践预防措施未得到遵循。
J Clin Pathol. 2001 Mar;54(3):214-8. doi: 10.1136/jcp.54.3.214.
9
Post-splenectomy sepsis: preventative strategies, challenges, and solutions.脾切除术后脓毒症:预防策略、挑战与解决方案
Infect Drug Resist. 2019 Sep 12;12:2839-2851. doi: 10.2147/IDR.S179902. eCollection 2019.
10
Postsplenectomy infection - strategies for prevention in general practice.脾切除术后感染——全科医疗中的预防策略
Aust Fam Physician. 2010 Jun;39(6):383-6.

引用本文的文献

1
Splenectomy and emerging novel treatments in rare inherited hemolytic anemias.脾切除术及罕见遗传性溶血性贫血的新型治疗方法
Hemasphere. 2019 Jun 30;3(Suppl). doi: 10.1097/HS9.0000000000000190. eCollection 2019 Jun.
2
[Not Available].[无可用内容]。
Bundesgesundheitsblatt Gesundheitsforschung Gesundheitsschutz. 2020 May;63(5):588-644. doi: 10.1007/s00103-020-03123-w.
3
The non-coding RNome after splenectomy.脾切除术后的非编码 RNome。

本文引用的文献

1
Surviving Sepsis Campaign: international guidelines for management of severe sepsis and septic shock, 2012.拯救脓毒症运动:严重脓毒症和脓毒性休克管理国际指南,2012 年。
Intensive Care Med. 2013 Feb;39(2):165-228. doi: 10.1007/s00134-012-2769-8. Epub 2013 Jan 30.
2
Marginal zone B cells: virtues of innate-like antibody-producing lymphocytes.边缘区 B 细胞:先天样产生抗体的淋巴细胞的优势。
Nat Rev Immunol. 2013 Feb;13(2):118-32. doi: 10.1038/nri3383.
3
Clinical course of 63 children with hereditary spherocytosis: a retrospective study.
J Cell Mol Med. 2019 Nov;23(11):7844-7858. doi: 10.1111/jcmm.14664. Epub 2019 Sep 8.
4
Efficacy and safety of splenectomy in adult autoimmune hemolytic anemia.脾切除术治疗成人自身免疫性溶血性贫血的疗效与安全性。
Open Med (Wars). 2016 Nov 19;11(1):374-380. doi: 10.1515/med-2016-0068. eCollection 2016.
5
Role of Laparoscopic Splenectomy in Elderly Immune Thrombocytopenia.腹腔镜脾切除术在老年免疫性血小板减少症中的作用
Open Med (Wars). 2016 Nov 19;11(1):361-368. doi: 10.1515/med-2016-0066. eCollection 2016.
6
Recommended vaccinations for asplenic and hyposplenic adult patients.无脾和脾功能减退成年患者的推荐疫苗接种。
Hum Vaccin Immunother. 2017 Feb;13(2):359-368. doi: 10.1080/21645515.2017.1264797.
7
The sword of Damocles for the splenectomised: death by OPSI.脾切除患者的达摩克利斯之剑:暴发性感染致死
Ger Med Sci. 2016 Aug 29;14:Doc10. doi: 10.3205/000237. eCollection 2016.
8
Bacterial Infections Following Splenectomy for Malignant and Nonmalignant Hematologic Diseases.恶性和非恶性血液系统疾病脾切除术后的细菌感染
Mediterr J Hematol Infect Dis. 2015 Oct 13;7(1):e2015057. doi: 10.4084/MJHID.2015.057. eCollection 2015.
9
Management of sepsis in asplenic patients.无脾患者脓毒症的管理。
Transl Med UniSa. 2013 May 6;6:1. eCollection 2013.
63例遗传性球形红细胞增多症患儿的临床病程:一项回顾性研究。
Rev Bras Hematol Hemoter. 2012;34(1):9-13. doi: 10.5581/1516-8484.20120006.
4
Single-incision laparoscopic splenectomy: preliminary experience in consecutive patients and comparison to standard laparoscopic splenectomy.单孔腹腔镜脾切除术:连续患者的初步经验并与标准腹腔镜脾切除术比较。
Surg Endosc. 2013 Feb;27(2):587-92. doi: 10.1007/s00464-012-2494-y. Epub 2012 Aug 31.
5
How I treat immune thrombocytopenia: the choice between splenectomy or a medical therapy as a second-line treatment.我如何治疗免疫性血小板减少症:脾切除术与二线治疗中药物治疗的选择。
Blood. 2012 Aug 2;120(5):960-9. doi: 10.1182/blood-2011-12-309153. Epub 2012 Jun 26.
6
Overwhelming post-splenectomy infection (OPSI): a case report and review of the literature.暴发性脾切除术后感染(OPSI):一例病例报告及文献综述
J Emerg Med. 2012 Oct;43(4):758-63. doi: 10.1016/j.jemermed.2011.10.029. Epub 2012 Jun 21.
7
Short- and long-term risks of splenectomy for benign haematological disorders: should we revisit the indications?脾切除术治疗良性血液系统疾病的近期和远期风险:我们是否应重新审视适应证?
Br J Haematol. 2012 Jul;158(1):16-29. doi: 10.1111/j.1365-2141.2012.09146.x. Epub 2012 May 10.
8
Innate immune functions of macrophage subpopulations in the spleen.脾脏中巨噬细胞亚群的固有免疫功能。
J Innate Immun. 2012;4(5-6):437-45. doi: 10.1159/000335216. Epub 2012 Feb 7.
9
[Guidelines for diagnosis, treatment and monitoring of primary immune thrombocytopenia].[原发性免疫性血小板减少症的诊断、治疗及监测指南]
Med Clin (Barc). 2012 Mar 17;138(6):261.e1-261.e17. doi: 10.1016/j.medcli.2011.11.011. Epub 2012 Jan 16.
10
Innate response activator B cells protect against microbial sepsis.天然反应激活 B 细胞可预防微生物性败血症。
Science. 2012 Feb 3;335(6068):597-601. doi: 10.1126/science.1215173. Epub 2012 Jan 12.