Suppr超能文献

根据新的波尔多分类法对肝细胞腺瘤进行临床病理分析:8例韩国病例报告

Clinicopathological analysis of hepatocellular adenoma according to new bordeaux classification: report of eight korean cases.

作者信息

Kim Hyunchul, Jang Ja-June, Kim Dong-Sik, Yeom Beom Woo, Won Nam Hee

机构信息

Department of Pathology, Gachon University Gil Medical Center, Incheon, Korea.

出版信息

Korean J Pathol. 2013 Oct;47(5):411-7. doi: 10.4132/KoreanJPathol.2013.47.5.411. Epub 2013 Oct 25.

Abstract

BACKGROUND

Hepatocellular adenoma (HCA) is a rare benign tumor of the liver. A subtype classification of HCA (hepatocyte nuclear factor 1α [HNF1α]-mutated, β-catenin-mutated HCA, inflammatory HCA, and unclassified HCA) has recently been established based on a single institutional review of a HCA series by the Bordeaux group.

METHODS

We used histologic and immunohistochemical parameters to classify and evaluate eight cases from our institution. We evaluated the new classification method and analyzed correlations between our results and those of other reports.

RESULTS

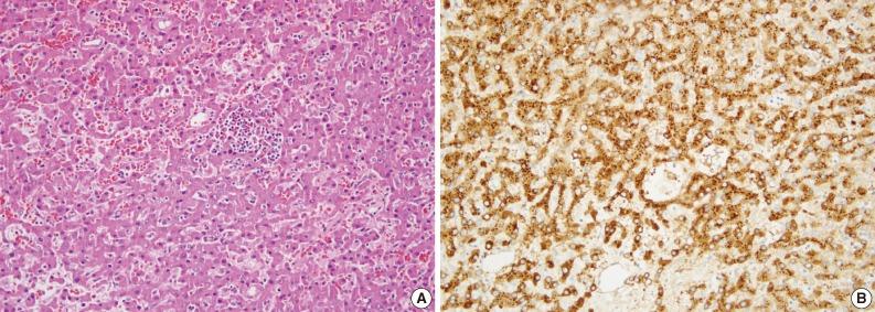
Seven of our eight cases showed histologic and immunohistochemical results consistent with previous reports. However, one case showed overlapping histologic features, as previously described by the Bordeaux group. Four cases showed glutamine synthetase immunohistochemical staining inconsistent with their classification, indicating that glutamine synthetase staining may not be diagnostic for β-catenin-mutated HCA. HNF1α-mutated HCA may be indicated by the absence of liver fatty acid binding protein expression. Detection of amyloid A may indicate inflammatory HCA. HCA with no mutation in the HNF1α or β-catenin genes and no inflammatory protein expression is categorized as unclassified HCA.

CONCLUSIONS

Although the new classification is now generally accepted, validation through follow-up studies is necessary.

摘要

背景

肝细胞腺瘤(HCA)是一种罕见的肝脏良性肿瘤。最近,基于波尔多小组对一组HCA病例的单机构回顾,建立了HCA的一种亚型分类(肝细胞核因子1α [HNF1α] 突变型、β-连环蛋白突变型HCA、炎症性HCA和未分类HCA)。

方法

我们使用组织学和免疫组化参数对本机构的8例病例进行分类和评估。我们评估了这种新的分类方法,并分析了我们的结果与其他报告结果之间的相关性。

结果

我们的8例病例中有7例的组织学和免疫组化结果与先前报告一致。然而,有1例表现出如波尔多小组先前所述的重叠组织学特征。4例病例的谷氨酰胺合成酶免疫组化染色与其分类不一致,这表明谷氨酰胺合成酶染色可能无法诊断β-连环蛋白突变型HCA。HNF1α突变型HCA可能通过缺乏肝脂肪酸结合蛋白表达来指示。淀粉样蛋白A的检测可能指示炎症性HCA。HNF1α或β-连环蛋白基因无突变且无炎症蛋白表达的HCA归类为未分类HCA。

结论

尽管新分类目前已被普遍接受,但仍需通过随访研究进行验证。

https://cdn.ncbi.nlm.nih.gov/pmc/blobs/b96d/3830987/acfaa15a837e/kjpathol-47-411-g001.jpg

文献检索

告别复杂PubMed语法,用中文像聊天一样搜索,搜遍4000万医学文献。AI智能推荐,让科研检索更轻松。

立即免费搜索

文件翻译

保留排版,准确专业,支持PDF/Word/PPT等文件格式,支持 12+语言互译。

免费翻译文档

深度研究

AI帮你快速写综述,25分钟生成高质量综述,智能提取关键信息,辅助科研写作。

立即免费体验