Suppr超能文献

动眼神经鞘瘤伴急性脑积水:病例报告

Oculomotor nerve schwannoma associated with acute hydrocephalus: case report.

作者信息

Iijima Keiya, Tosaka Masahiko, Nagano Takuro, Yaoita Hiroyuki, Matsumura Nozomi, Nakazato Yoichi, Yoshimoto Yuhei

机构信息

Department of Neurosurgery, Gunma University Graduate School of Medicine.

出版信息

Neurol Med Chir (Tokyo). 2014;54(8):654-8. doi: 10.2176/nmc.cr2012-0418. Epub 2013 Nov 20.

Abstract

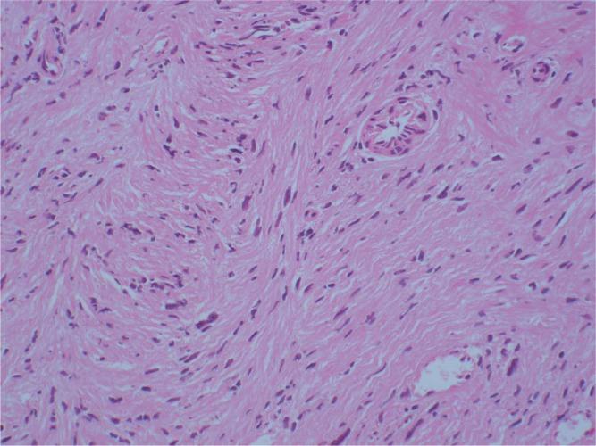
A 37-year-old woman presented with an extremely rare large oculomotor schwannoma associated with acute hydrocephalus manifesting as semicoma and anisocoria. Brain computed tomography and magnetic resonance imaging revealed a tumor in the oculomotor cistern. Cerebral angiography revealed separation of the posterior cerebral artery (PCA) and superior cerebellar artery (SCA). The tumor was removed subtotally by two stage surgery. Histological examination revealed ordinary schwannoma. The diagnosis of oculomotor nerve schwannoma was based on the intraoperative finding of the tumor origin in the oculomotor nerve. Oculomotor nerve schwannoma can cause acute hydrocephalus and manifest as impaired consciousness. The angiographical separation of the PCA and SCA was very useful for the preoperative diagnosis of oculomotor nerve schwannoma.

摘要

一名37岁女性因极其罕见的大型动眼神经鞘瘤伴急性脑积水就诊,表现为半昏迷和瞳孔不等大。脑部计算机断层扫描和磁共振成像显示动眼神经池内有肿瘤。脑血管造影显示大脑后动脉(PCA)和小脑上动脉(SCA)分离。通过两阶段手术次全切除了肿瘤。组织学检查显示为普通型神经鞘瘤。动眼神经鞘瘤的诊断基于术中发现肿瘤起源于动眼神经。动眼神经鞘瘤可导致急性脑积水并表现为意识障碍。PCA和SCA的血管造影分离对动眼神经鞘瘤的术前诊断非常有用。

https://cdn.ncbi.nlm.nih.gov/pmc/blobs/014f/4533488/82fc95f1606f/nmc-54-654-g1.jpg

文献AI研究员

20分钟写一篇综述,助力文献阅读效率提升50倍。

立即体验

用中文搜PubMed

大模型驱动的PubMed中文搜索引擎

马上搜索

文档翻译

学术文献翻译模型,支持多种主流文档格式。

立即体验