Suppr超能文献

一例可能为拉克氏裂囊肿,伴有通过持续存在的胚胎漏斗隐窝导致的术后脑脊液漏。

A case of presumably Rathke's cleft cyst associated with postoperative cerebrospinal fluid leakage through persisting embryonal infundibular recess.

作者信息

Kuroiwa Masafumi, Kusano Yoshikazu, Ogiwara Toshihiro, Tanaka Yuichiro, Takemae Toshiki, Hongo Kazuhiro

机构信息

Department of Neurosurgery, Nagano Municipal Hospital.

出版信息

Neurol Med Chir (Tokyo). 2014;54(7):578-81. doi: 10.2176/nmc.cr2013-0014. Epub 2013 Dec 5.

Abstract

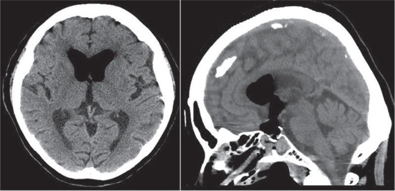
Persisting embryonal infundibular recess (PEIR) is a rare anomaly of the third ventricular floor. Only eight cases have been published. In this report, a case of presumably Rathke's cleft cyst associated with cerebrospinal fluid leakage caused by PEIR is described. An 81-year-old woman underwent endoscopic transsphenoidal surgery for the intra- and supra-sellar cystic lesion. Intraoperatively a hole was confirmed over the sella turcica connecting the sellar cyst and the infundibular recess. Liquorrhea did not occur throughout the procedure. A computed tomography (CT) scan obtained immediately after surgery disclosed accumulation of air in the third and lateral ventricles, in addition to the intra- and supra-sellar region. Air accumulation resolved spontaneously after bed rest for 11 days and she was discharged without neurological deficits. However, she required the second transsphenoidal surgery to repair the sellar floor because of bacterial meningitis caused by liquorrhea on the postoperative day 23. A postoperative 3-tesla magnetic resonance image revealed a deep infundibular recess connecting the sella turcica and the third ventricle, which was considered to be PEIR. To the best our knowledge, this is the first reported case describing the intraoperative findings of PEIR.

摘要

持续性胚胎漏斗隐窝(PEIR)是第三脑室底部的一种罕见异常。仅八例病例被报道。在本报告中,描述了一例可能为拉克氏裂囊肿并伴有由PEIR引起的脑脊液漏的病例。一名81岁女性因鞍内和鞍上囊性病变接受了内镜经蝶窦手术。术中证实蝶鞍上方有一个孔连接蝶鞍囊肿和漏斗隐窝。整个手术过程中未发生脑脊液漏。术后立即进行的计算机断层扫描(CT)显示,除鞍内和鞍上区域外,第三脑室和侧脑室内有气体积聚。卧床休息11天后,气体积聚自行消散,她出院时无神经功能缺损。然而,术后第23天,由于脑脊液漏导致细菌性脑膜炎,她需要进行第二次经蝶窦手术修复蝶鞍底部。术后3特斯拉磁共振成像显示一个连接蝶鞍和第三脑室的深漏斗隐窝通道,被认为是PEIR。据我们所知,这是首例描述PEIR术中发现的病例报告。

https://cdn.ncbi.nlm.nih.gov/pmc/blobs/e0e0/4533456/4f95646ce2bb/nmc-54-578-g1.jpg

相似文献

2
Persisting embryonal infundibular recess.
J Neurosurg. 2009 Feb;110(2):359-62. doi: 10.3171/2008.7.JNS08287.
3
Tension pneumocyst after transsphenoidal surgery for Rathke's cleft cyst: case report.
Neurosurgery. 2003 Apr;52(4):960-2; discussion 962-3. doi: 10.1227/01.neu.0000053027.30314.64.
5
Collagen sponge repair of small cerebrospinal fluid leaks obviates tissue grafts and cerebrospinal fluid diversion after pituitary surgery.
Neurosurgery. 2001 Oct;49(4):885-9; discussion 889-90. doi: 10.1097/00006123-200110000-00020.
6
Persisting Embryonal Infundibular Recess (PEIR): Two Case Reports and Systematic Literature Review.
J Clin Endocrinol Metab. 2018 Jul 1;103(7):2424-2429. doi: 10.1210/jc.2018-00437.
7
Abdominal Fat Graft for Sellar Reconstruction: Retrospective Outcomes Review and Technical Note.
Oper Neurosurg (Hagerstown). 2019 Jun 1;16(6):667-674. doi: 10.1093/ons/opy219.
8
Persisting Embryonal Infundibular Recess: Case Report and Imaging Findings.
World Neurosurg. 2018 Sep;117:11-14. doi: 10.1016/j.wneu.2018.05.228. Epub 2018 Jun 7.
9
Rathke's cleft cyst presenting as pituitary apoplexy.
J Clin Neurosci. 2002 Jan;9(1):76-9. doi: 10.1054/jocn.2001.0974.

引用本文的文献

1
Endoscopic Endonasal Surgery for Uncommon Pathologies of the Sellar and Parasellar Regions.
Adv Tech Stand Neurosurg. 2023;48:139-205. doi: 10.1007/978-3-031-36785-4_7.
2
The Infundibular Recess Passes through the Entire Pituitary Stalk.
Clin Neuroradiol. 2016 Dec;26(4):465-469. doi: 10.1007/s00062-015-0391-1. Epub 2015 Apr 18.

本文引用的文献

1
Persisting embryonal infundibular recess.
J Neurosurg. 2009 Feb;110(2):359-62. doi: 10.3171/2008.7.JNS08287.
2
Anatomical variants in the floor of the third ventricle; implications for endoscopic third ventriculostomy.
J Neurol Neurosurg Psychiatry. 2000 Oct;69(4):531-4. doi: 10.1136/jnnp.69.4.531.
3
Persisting recessus infundibuli and empty sella. Case report.
J Neurosurg. 1982 Sep;57(3):410-2. doi: 10.3171/jns.1982.57.3.0410.
4
Persisting intrapituitary recessus infundibuli.
Neuroradiology. 1975 Dec 19;10(3):177-8. doi: 10.1007/BF00341823.
5
Asymptomatic persistence of infundibularis recessus. Case report.
J Neurosurg. 1978 Nov;49(5):769-72. doi: 10.3171/jns.1978.49.5.0769.
6
A new variety of "empty sella" with cystic intrasellar dilatation of the recessus infundibuli.
Br J Radiol. 1979 Nov;52(623):862-4. doi: 10.1259/0007-1285-52-623-862.

文献AI研究员

20分钟写一篇综述,助力文献阅读效率提升50倍。

立即体验

用中文搜PubMed

大模型驱动的PubMed中文搜索引擎

马上搜索

文档翻译

学术文献翻译模型,支持多种主流文档格式。

立即体验