Suppr超能文献

Three cases of spontaneous superficial temporal artery aneurysm with literature review.

作者信息

Kawai Hiroshi, Hamasaki Tadashi, Imamura Junnichi, Tomonori Norio, Odashiro Takuya, Yamahata Hitoshi, Tokimura Hiroshi, Nomoto Mitsuharu, Arita Kazunori

机构信息

Department of Neurosurgery, Graduate School of Medical and Dental Sciences, Kagoshima University.

出版信息

Neurol Med Chir (Tokyo). 2014;54(10):854-60. doi: 10.2176/nmc.cr2013-0033. Epub 2013 Dec 5.

Abstract

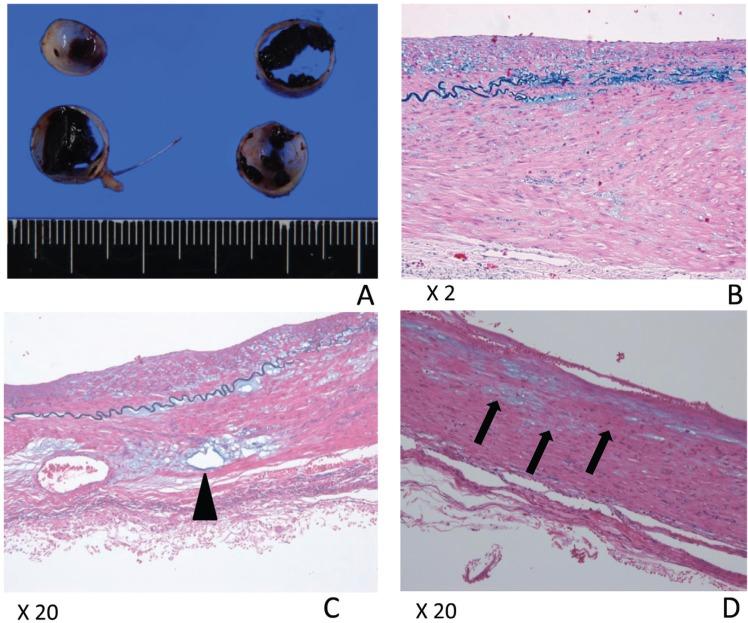
Spontaneous, nontraumatic, superficial temporal artery (STA) aneurysms have been rarely reported. We herewith report three cases of spontaneous and true STA aneurysms. All patients, a 65-year-old male, a 76-year-old female, and a 47-year-old female, had no history of head trauma that requires medical attention. Painless, pulsatile, and slowly growing calvarial lump was the symptom leading to image studies. All the lumps were preoperatively diagnosed as STA aneurysms by magnetic resonance angiography and/or three-dimensional computed tomographic angiography. One case was accompanied by anterior communicating aneurysm. And another case was associated with two more scalp aneurysms arising from occipital artery and contralateral STA. Pathologic studies showed that all three were true aneurysms, with intact media and adventitia but without organized hematoma. Literature review showed that 8% of all STA aneurysms comprised spontaneous STA aneurysms. We found 32 cases (19 males and 13 females) of well-described spontaneous STA aneurysms including ours. Twenty-eight cases (87.5%) were true aneurysms. Seven cases (21.9%) had coexisting vascular lesions. Five (15.6%) of these seven cases were diagnosed with cerebral or abdominal aneurysm. Multiple scalp aneurysms are quite rare; only two cases including ours have been reported. It seems important to know that spontaneous STA aneurysms may coexist with other vascular lesions including intracranial aneurysm.

摘要
https://cdn.ncbi.nlm.nih.gov/pmc/blobs/6ac9/4533375/070454c88dac/nmc-54-854-g1.jpg

文献AI研究员

20分钟写一篇综述,助力文献阅读效率提升50倍。

立即体验

用中文搜PubMed

大模型驱动的PubMed中文搜索引擎

马上搜索

文档翻译

学术文献翻译模型,支持多种主流文档格式。

立即体验