Suppr超能文献

来自印度东部的可能散发性克雅氏病病例系列

Case series of probable sporadic Creutzfeldt-Jakob disease from Eastern India.

作者信息

Biswas Atanu, Khandelwal Namrata, Pandit Alak, Roy Arijit, Guin Deb Sankar, Gangopadhyay Goutam, Senapati Asit

机构信息

Department of Neurology, Bangur Institute of Neurosciences, Kolkata, West Bengal, India.

出版信息

Ann Indian Acad Neurol. 2013 Oct;16(4):659-63. doi: 10.4103/0972-2327.120486.

Abstract

BACKGROUND

Creutzfeldt-Jakob disease is a rapidly progressive, fatal, transmissible neurodegenerative disorder caused by prion protein. It is still considered rare in countries like India. This is probably due to nonavailability of autopsy studies in majority of the center. The recent European diagnostic criterion for sporadic CJD (sCJD) is useful for making an early diagnosis.

OBJECTIVE

To report a series of patients of probable sCJD from a neurology institute of eastern India.

MATERIALS AND METHODS

Patients of rapidly developing dementia fulfilling the diagnostic criteria for sCJD were included. All were investigated in detail to find out any possible treatable cause including electroencephalography (EEG), magnetic resonance imaging (MRI) of brain, and cerebrospinal fluid analysis.

RESULTS

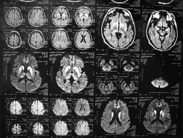
A total 10 patients of probable sCJD diagnosed using the European diagnostic criterion between December 2011 and January 2013. The clinical features are consistent with other reported series. While 60% of patients had the classical EEG findings, 100% had typical MRI features. Eight patients died within a mean duration of 4.56 months from the disease onset.

CONCLUSIONS

The clinical features are similar to other reported series. Our observation raises question about the prevalence of this disease in India which needs more elaborate studies.

摘要

背景

克雅氏病是一种由朊蛋白引起的快速进展、致命的可传播性神经退行性疾病。在印度等国家,该病仍被认为较为罕见。这可能是由于大多数中心无法进行尸检研究。最近欧洲散发性克雅氏病(sCJD)的诊断标准有助于早期诊断。

目的

报告印度东部一家神经病学研究所一系列可能患有sCJD的患者情况。

材料与方法

纳入符合sCJD诊断标准的快速发展型痴呆患者。对所有患者进行详细检查,以找出任何可能的可治疗病因,包括脑电图(EEG)、脑部磁共振成像(MRI)和脑脊液分析。

结果

2011年12月至2013年1月期间,共有10例可能患有sCJD的患者根据欧洲诊断标准被确诊。临床特征与其他报告系列一致。60%的患者有典型的脑电图表现,100%有典型的MRI特征。8例患者在疾病发作后的平均4.56个月内死亡。

结论

临床特征与其他报告系列相似。我们的观察引发了关于该病在印度患病率的疑问,这需要更详尽的研究。

https://cdn.ncbi.nlm.nih.gov/pmc/blobs/ac22/3841621/95de315221fd/AIAN-16-659-g002.jpg

文献AI研究员

20分钟写一篇综述,助力文献阅读效率提升50倍。

立即体验

用中文搜PubMed

大模型驱动的PubMed中文搜索引擎

马上搜索

文档翻译

学术文献翻译模型,支持多种主流文档格式。

立即体验