Suppr超能文献

原发性乳腺T细胞淋巴瘤,未特指,采用自体外周血干细胞移植治疗:一例病例报告及文献综述

Primary breast T-cell lymphoma, unspecified, treated with autologous peripheral blood stem cell transplantation: A case report and literature review.

作者信息

Gao Qiqi, Zhang Xiuming, Xiang Hua, Ren Guoping, Zheng Yulong

机构信息

Department of Pathology, The First Affiliated Hospital, School of Medicine, Zhejiang University, Hangzhou, Zhejiang 310003, P.R. China.

Department of Medical Oncology, The First Affiliated Hospital, School of Medicine, Zhejiang University, Hangzhou, Zhejiang 310003, P.R. China.

出版信息

Oncol Lett. 2014 Jan;7(1):156-158. doi: 10.3892/ol.2013.1676. Epub 2013 Nov 11.

Abstract

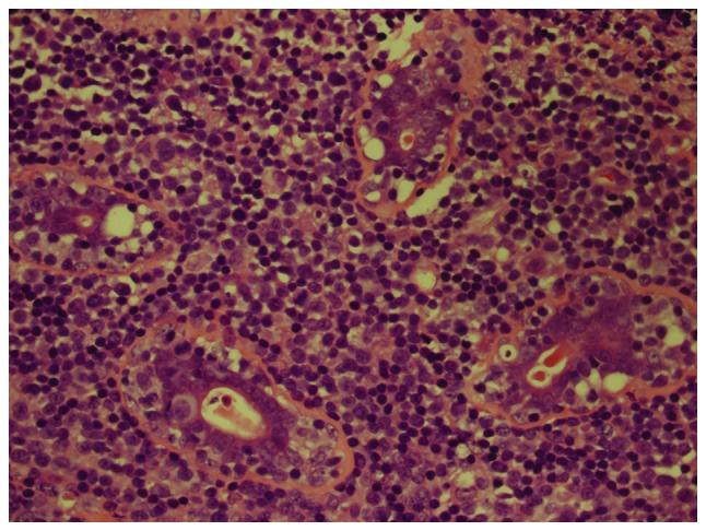
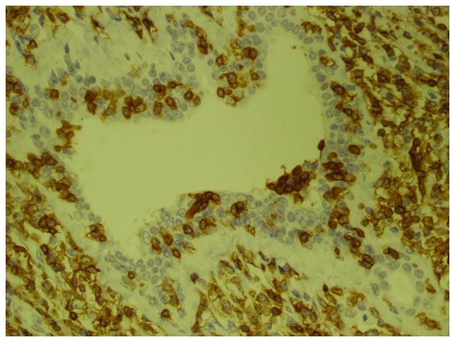
The current study presents a case of primary T-cell lymphoma (PTBL), unspecified, in a 27-year-old female. The patient received chemotherapy [cyclophosphamide, epirubicin, vindesine and prednisolone (CHOP) and VP-16 plus CHOP (ECHOP)] and autologous peripheral blood stem cell transplantation, however, relapse occurred rapidly. The recurrent tumor exhibited increased levels of karyopyknosis and nuclear fragmentation and a higher Ki67 index compared with the primary tumor. No response to subsequent chemotherapy, including ECHOP and gemcitabine, dexamethasone and cisplatin, was observed. The patient succumbed to PTBL, unspecified, 18 months after the diagnosis. We hypothesize that autologous peripheral blood stem cell transplantation is ineffective for PTBL.

摘要

本研究报告了一例27岁女性的原发性未特定类型T细胞淋巴瘤(PTBL)病例。该患者接受了化疗[环磷酰胺、表柔比星、长春地辛和泼尼松龙(CHOP)以及VP - 16加CHOP(ECHOP)]和自体外周血干细胞移植,然而,疾病迅速复发。与原发性肿瘤相比,复发性肿瘤显示核固缩和核碎裂水平增加,且Ki67指数更高。未观察到对后续化疗(包括ECHOP以及吉西他滨、地塞米松和顺铂)的反应。该患者在诊断后18个月死于原发性未特定类型T细胞淋巴瘤。我们推测自体外周血干细胞移植对PTBL无效。

https://cdn.ncbi.nlm.nih.gov/pmc/blobs/14cd/3861603/1912c6d0d072/OL-07-01-0156-g00.jpg

文献AI研究员

20分钟写一篇综述,助力文献阅读效率提升50倍。

立即体验

用中文搜PubMed

大模型驱动的PubMed中文搜索引擎

马上搜索

文档翻译

学术文献翻译模型,支持多种主流文档格式。

立即体验