Suppr超能文献

非创伤性神经瘤继发自发性桡神经麻痹。

Spontaneous radial nerve palsy subsequent to non-traumatic neuroma.

作者信息

Ebrahimpour Adel, Nazerani Shahram, Tavakoli Darestani Reza, Khani Salim

机构信息

Taleghani Hospital, Shahid Beheshti University of Medical Sciences, Tehran, IR Iran.

Tehran University of medical Sciences, Tehran, IR Iran.

出版信息

Trauma Mon. 2013 Sep;18(2):98-100. doi: 10.5812/traumamon.9851. Epub 2013 Aug 13.

Abstract

INTRODUCTION

Spontaneous radial palsy is a not rare finding in hand clinics. The anatomy of the radial nerve renders it prone to pressure paralysis as often called "Saturday night palsy". This problem is a transient nerve lesion and an acute one but the case presented here is very unusual in that it seems this entity can also occur as an acute on chronic situation with neuroma formation.

CASE PRESENTATION

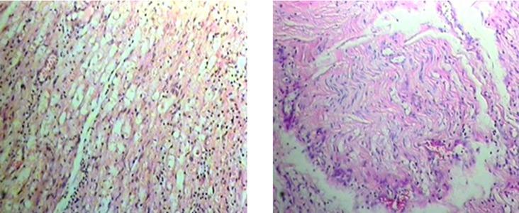
A 61 year-old man presented with the chief complaint of inability to extend the wrist and the fingers of the left hand which began suddenly the night before admission, following a three-week history of pain, numbness and tingling sensation of the affected extremity. He had no history of trauma to the extremity. Electromyography revealed a severe conductive defect of the left radial nerve with significant axonal loss at the upper arm. Surgical exploration identified a neuroma of the radial nerve measuring 1.5 cm in length as the cause of the paralysis. The neuroma was removed and an end-to-end nerve coaption was performed.

CONCLUSIONS

Complete recovery of the hand and finger extension was achieved in nine months.

摘要

引言

在手部诊所中,自发性桡神经麻痹并非罕见的病症。桡神经的解剖结构使其容易发生压迫性麻痹,通常被称为“周六夜麻痹”。这个问题是一种短暂性的神经病变,且为急性病变,但此处所呈现的病例非常特殊,因为这种病症似乎也可能以急性起病于慢性病变的形式出现,并伴有神经瘤形成。

病例介绍

一名61岁男性,主要症状为入院前一晚突然出现的无法伸展左手腕和手指,在此之前该患侧肢体已有三周的疼痛、麻木和刺痛感。他没有该肢体的外伤史。肌电图显示左侧桡神经存在严重的传导缺陷,上臂有明显的轴突损失。手术探查发现一个长1.5厘米的桡神经神经瘤是导致麻痹的原因。切除了神经瘤并进行了端端神经吻合术。

结论

九个月后手部和手指伸展功能完全恢复。

https://cdn.ncbi.nlm.nih.gov/pmc/blobs/67ce/3860672/4788be2f3e8b/traumamon-18-98-g001.jpg

文献AI研究员

20分钟写一篇综述,助力文献阅读效率提升50倍。

立即体验

用中文搜PubMed

大模型驱动的PubMed中文搜索引擎

马上搜索

文档翻译

学术文献翻译模型,支持多种主流文档格式。

立即体验