• 文献检索
  • 文档翻译
  • 深度研究
  • 学术资讯
  • Suppr Zotero 插件Zotero 插件
  • 邀请有礼
  • 套餐&价格
  • 历史记录
应用&插件
Suppr Zotero 插件Zotero 插件浏览器插件Mac 客户端Windows 客户端微信小程序
定价
高级版会员购买积分包购买API积分包
服务
文献检索文档翻译深度研究API 文档MCP 服务
关于我们
关于 Suppr公司介绍联系我们用户协议隐私条款
关注我们

Suppr 超能文献

核心技术专利:CN118964589B侵权必究
粤ICP备2023148730 号-1Suppr @ 2026

文献检索

告别复杂PubMed语法,用中文像聊天一样搜索,搜遍4000万医学文献。AI智能推荐,让科研检索更轻松。

立即免费搜索

文件翻译

保留排版,准确专业,支持PDF/Word/PPT等文件格式,支持 12+语言互译。

免费翻译文档

深度研究

AI帮你快速写综述,25分钟生成高质量综述,智能提取关键信息,辅助科研写作。

立即免费体验

B-1细胞对BCR连接的非典型反应:一个推测性模型

Atypical Response of B-1 Cells to BCR Ligation: A Speculative Model.

作者信息

Holodick Nichol E, Rothstein Thomas L

机构信息

Center for Oncology and Cell Biology, The Feinstein Institute for Medical Research , Manhasset, NY , USA.

出版信息

Front Immunol. 2013 Dec 16;4:457. doi: 10.3389/fimmu.2013.00457.

DOI:10.3389/fimmu.2013.00457
PMID:24379817
原文链接:https://pmc.ncbi.nlm.nih.gov/articles/PMC3864358/
Abstract

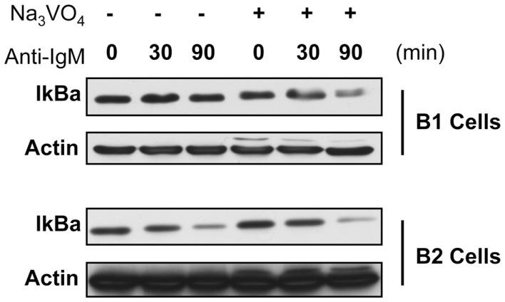
Peritoneal B-1a cells manifest unusual signaling characteristics that distinguish them from splenic B-2 cells. These include the failure of BCR engagement to trigger NF-κB activation and DNA replication. Despite extensive study, a clear explanation for these characteristics has not emerged. Here we aim to develop a unified paradigm based on previous reports and recent results, which proposes a central role for phosphatase activity. We hypothesize B-1a cells are unable to induce NF-κB or proliferate after BCR cross-linking due to increased phosphatase abundance or activity. This phosphatase abundance and/or activity may be the result of unique B-1a cell characteristics such as increased levels of HSP70 and/or constitutive secretion of IL-10. We speculate phosphatase activity cannot be overcome by BCR ligation alone due to insufficient Vav protein expression, which does not allow for proper production of reactive oxygen species, which inhibit phosphatases. Furthermore, constitutively active Lyn also plays a negative regulatory role in B-1a. We expect that a new focus on phosphatase activity and its suppression will be revealing for BCR signal transduction in B-1 cells.

摘要

腹膜B-1a细胞表现出不同寻常的信号特征,这使其与脾脏B-2细胞相区别。这些特征包括BCR结合未能触发NF-κB激活和DNA复制。尽管进行了广泛研究,但尚未出现对这些特征的明确解释。在此,我们旨在基于先前的报道和近期的研究结果建立一个统一的范式,该范式提出磷酸酶活性起核心作用。我们假设B-1a细胞在BCR交联后无法诱导NF-κB或增殖,这是由于磷酸酶丰度或活性增加所致。这种磷酸酶丰度和/或活性可能是B-1a细胞独特特征的结果,如HSP70水平升高和/或IL-10的组成性分泌。我们推测,由于Vav蛋白表达不足,仅靠BCR连接无法克服磷酸酶活性,这使得无法产生适当的活性氧来抑制磷酸酶。此外,组成性激活的Lyn在B-1a细胞中也起负调节作用。我们预计,对磷酸酶活性及其抑制的新关注将有助于揭示B-1细胞中的BCR信号转导机制。

https://cdn.ncbi.nlm.nih.gov/pmc/blobs/9416/3864358/7eeb2831a079/fimmu-04-00457-g005.jpg
https://cdn.ncbi.nlm.nih.gov/pmc/blobs/9416/3864358/b9978e25a20e/fimmu-04-00457-g001.jpg
https://cdn.ncbi.nlm.nih.gov/pmc/blobs/9416/3864358/149b5fb65a19/fimmu-04-00457-g002.jpg
https://cdn.ncbi.nlm.nih.gov/pmc/blobs/9416/3864358/7e608fd4af71/fimmu-04-00457-g003.jpg
https://cdn.ncbi.nlm.nih.gov/pmc/blobs/9416/3864358/25775bbf51cd/fimmu-04-00457-g004.jpg
https://cdn.ncbi.nlm.nih.gov/pmc/blobs/9416/3864358/7eeb2831a079/fimmu-04-00457-g005.jpg
https://cdn.ncbi.nlm.nih.gov/pmc/blobs/9416/3864358/b9978e25a20e/fimmu-04-00457-g001.jpg
https://cdn.ncbi.nlm.nih.gov/pmc/blobs/9416/3864358/149b5fb65a19/fimmu-04-00457-g002.jpg
https://cdn.ncbi.nlm.nih.gov/pmc/blobs/9416/3864358/7e608fd4af71/fimmu-04-00457-g003.jpg
https://cdn.ncbi.nlm.nih.gov/pmc/blobs/9416/3864358/25775bbf51cd/fimmu-04-00457-g004.jpg
https://cdn.ncbi.nlm.nih.gov/pmc/blobs/9416/3864358/7eeb2831a079/fimmu-04-00457-g005.jpg

相似文献

1
Atypical Response of B-1 Cells to BCR Ligation: A Speculative Model.B-1细胞对BCR连接的非典型反应:一个推测性模型
Front Immunol. 2013 Dec 16;4:457. doi: 10.3389/fimmu.2013.00457.
2
CD19 amplifies B lymphocyte signal transduction by regulating Src-family protein tyrosine kinase activation.CD19通过调节Src家族蛋白酪氨酸激酶的激活来增强B淋巴细胞信号转导。
J Immunol. 1999 Jun 15;162(12):7088-94.
3
Identification of the tyrosine phosphatase PTP1C as a B cell antigen receptor-associated protein involved in the regulation of B cell signaling.酪氨酸磷酸酶PTP1C作为一种参与B细胞信号调节的B细胞抗原受体相关蛋白的鉴定。
J Exp Med. 1995 Jun 1;181(6):2077-84. doi: 10.1084/jem.181.6.2077.
4
Defective CD19-dependent signaling in B-1a and B-1b B lymphocyte subpopulations.B-1a和B-1b B淋巴细胞亚群中依赖CD19的信号传导缺陷。
Mol Immunol. 2002 Sep;39(1-2):57-68. doi: 10.1016/s0161-5890(02)00047-0.
5
Functional analysis of Csk in signal transduction through the B-cell antigen receptor.Csk在通过B细胞抗原受体进行信号转导中的功能分析。
Mol Cell Biol. 1994 Nov;14(11):7306-13. doi: 10.1128/mcb.14.11.7306-7313.1994.
6
Negative regulation of antigen receptor-mediated signaling by constitutive association of CD5 with the SHP-1 protein tyrosine phosphatase in B-1 B cells.在B-1 B细胞中,CD5与SHP-1蛋白酪氨酸磷酸酶的组成性结合对抗抗原受体介导的信号传导的负调节作用。
Eur J Immunol. 1999 Oct;29(10):3319-28. doi: 10.1002/(SICI)1521-4141(199910)29:10<3319::AID-IMMU3319>3.0.CO;2-9.
7
The activation and subsequent regulatory roles of Lyn and CD19 after B cell receptor ligation are independent.B细胞受体连接后Lyn和CD19的激活及后续调节作用是相互独立的。
J Immunol. 2002 Dec 15;169(12):6910-8. doi: 10.4049/jimmunol.169.12.6910.
8
Regulation of MHC class II signal transduction by the B cell coreceptors CD19 and CD22.B细胞共受体CD19和CD22对MHC II类信号转导的调控。
J Immunol. 2000 Nov 15;165(10):5588-96. doi: 10.4049/jimmunol.165.10.5588.
9
Defective negative regulation of antigen receptor signaling in Lyn-deficient B lymphocytes.Lyn缺陷型B淋巴细胞中抗原受体信号传导的负调控缺陷。
Curr Biol. 1998 May 7;8(10):545-53. doi: 10.1016/s0960-9822(98)70223-4.
10
Rapid desensitization of B-cell receptor by a dithiol-reactive protein tyrosine phosphatase inhibitor: uncoupling of membrane IgM from syk inhibits signals leading to Ca2+ mobilization.二硫醇反应性蛋白酪氨酸磷酸酶抑制剂对B细胞受体的快速脱敏作用:膜IgM与Syk的解偶联抑制导致Ca2+动员的信号。
Immunol Lett. 1995 Jan;44(2-3):149-56. doi: 10.1016/0165-2478(94)00207-8.

引用本文的文献

1
The ICF2 gene Zbtb24 specifically regulates the differentiation of B1 cells via promoting heme synthesis.ICF2 基因 Zbtb24 通过促进血红素合成特异性调节 B1 细胞的分化。
Cell Mol Biol Lett. 2024 Sep 14;29(1):123. doi: 10.1186/s11658-024-00641-2.
2
Role of B cells as antigen presenting cells.B 细胞作为抗原呈递细胞的作用。
Front Immunol. 2022 Sep 8;13:954936. doi: 10.3389/fimmu.2022.954936. eCollection 2022.
3
The Role of Siglec-G on Immune Cells in Sepsis.Siglec-G 在脓毒症免疫细胞中的作用。

本文引用的文献

1
B-1 cell immunoglobulin directed against oxidation-specific epitopes.B-1 细胞针对氧化特异性表位的免疫球蛋白。
Front Immunol. 2013 Jan 9;3:415. doi: 10.3389/fimmu.2012.00415. eCollection 2012.
2
B cell receptor signal transduction in the GC is short-circuited by high phosphatase activity.B 细胞受体信号转导在 GC 中被高磷酸酶活性短路。
Science. 2012 Jun 1;336(6085):1178-81. doi: 10.1126/science.1213368. Epub 2012 May 3.
3
Natural IgM in immune equilibrium and harnessing their therapeutic potential.天然 IgM 在免疫平衡中的作用及其治疗潜力。
Front Immunol. 2021 Feb 23;12:621627. doi: 10.3389/fimmu.2021.621627. eCollection 2021.
4
Characteristics of Immunoglobulin M Type Antibodies of Different Origins from the Immunologic and Clinical Viewpoints and Their Application in Controlling Antibody-Mediated Allograft Rejection.从免疫学和临床角度看不同来源免疫球蛋白M型抗体的特征及其在控制抗体介导的同种异体移植排斥反应中的应用
Pathogens. 2020 Dec 23;10(1):4. doi: 10.3390/pathogens10010004.
5
Self-reactivity on a spectrum: A sliding scale of peripheral B cell tolerance.自身反应谱:外周 B 细胞耐受的滑动尺度。
Immunol Rev. 2019 Nov;292(1):37-60. doi: 10.1111/imr.12818. Epub 2019 Oct 20.
6
B-1a Cells Protect Mice from Sepsis: Critical Role of CREB.B-1a细胞保护小鼠免受败血症侵害:CREB的关键作用。
J Immunol. 2017 Jul 15;199(2):750-760. doi: 10.4049/jimmunol.1602056. Epub 2017 Jun 19.
7
Macrophage regulation of B cell proliferation.巨噬细胞对B细胞增殖的调节
Cell Immunol. 2017 Apr;314:54-62. doi: 10.1016/j.cellimm.2017.02.002. Epub 2017 Feb 21.
8
An Overview of B-1 Cells as Antigen-Presenting Cells.B-1细胞作为抗原呈递细胞的概述。
Front Immunol. 2016 Apr 11;7:138. doi: 10.3389/fimmu.2016.00138. eCollection 2016.
9
FCRL regulation in innate-like B cells.天然样B细胞中的FCRL调控
Ann N Y Acad Sci. 2015 Dec;1362(1):110-6. doi: 10.1111/nyas.12771. Epub 2015 May 11.
10
B1b cells recognize protective antigens after natural infection and vaccination.B1b细胞在自然感染和接种疫苗后识别保护性抗原。
Front Immunol. 2014 Oct 31;5:535. doi: 10.3389/fimmu.2014.00535. eCollection 2014.
J Immunol. 2012 Feb 1;188(3):939-45. doi: 10.4049/jimmunol.1102107.
4
Monophosphorylation of CD79a and CD79b ITAM motifs initiates a SHIP-1 phosphatase-mediated inhibitory signaling cascade required for B cell anergy.CD79a 和 CD79b ITAM 基序的单磷酸化启动了需要 B 细胞失能的SHIP-1 磷酸酶介导的抑制性信号级联反应。
Immunity. 2011 Nov 23;35(5):746-56. doi: 10.1016/j.immuni.2011.10.011. Epub 2011 Nov 9.
5
The importance of natural IgM: scavenger, protector and regulator.天然 IgM 的重要性:清道夫、保护者和调节剂。
Nat Rev Immunol. 2010 Nov;10(11):778-86. doi: 10.1038/nri2849. Epub 2010 Oct 15.
6
Continual signaling is responsible for constitutive ERK phosphorylation in B-1a cells.持续的信号传导负责B-1a细胞中组成型ERK磷酸化。
Mol Immunol. 2009 Sep;46(15):3029-36. doi: 10.1016/j.molimm.2009.06.011. Epub 2009 Jul 9.
7
Immune therapy for age-related diseases.针对与年龄相关疾病的免疫疗法。
Trends Immunol. 2009 Jul;30(7):344-50. doi: 10.1016/j.it.2009.03.011. Epub 2009 Jun 21.
8
CD19 signaling is impaired in murine peritoneal and splenic B-1 B lymphocytes.在小鼠腹膜和脾脏B-1 B淋巴细胞中,CD19信号传导受损。
Mol Immunol. 2009 Aug;46(13):2655-65. doi: 10.1016/j.molimm.2009.04.015. Epub 2009 Jun 21.
9
Innate immunity meets with cellular stress at the IKK complex: regulation of the IKK complex by HSP70 and HSP90.固有免疫在IKK复合体处与细胞应激相遇:热休克蛋白70和热休克蛋白90对IKK复合体的调控
Immunol Lett. 2008 Apr 15;117(1):9-15. doi: 10.1016/j.imlet.2007.12.017. Epub 2008 Feb 1.
10
Reciprocal generation of Th1/Th17 and T(reg) cells by B1 and B2 B cells.B1和B2 B细胞相互生成Th1/Th17细胞和调节性T细胞。
Eur J Immunol. 2007 Sep;37(9):2400-4. doi: 10.1002/eji.200737296.