Suppr超能文献

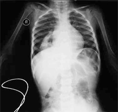
Severe iron deficiency anemia due to late presentation of congenital diaphragmatic hernia in a toddler.

作者信息

Sarper Nazan, Zengin Emine, Cakı Kılıç Suar, Tugay Melih, Aydoğan Ayşen, Kayabey Ozlem

机构信息

Kocaeli University, Pediatric Hematology, Kocaeli, Turkey.

Kocaeli University, Pediatric Surgery, Kocaeli, Turkey.

出版信息

Turk J Haematol. 2012 Dec;29(4):430-1. doi: 10.5505/tjh.2012.92609. Epub 2012 Dec 5.

Abstract
摘要
https://cdn.ncbi.nlm.nih.gov/pmc/blobs/6b84/3781611/17946a6979fa/TJH-29-430-g1.jpg

文献AI研究员

20分钟写一篇综述,助力文献阅读效率提升50倍。

立即体验

用中文搜PubMed

大模型驱动的PubMed中文搜索引擎

马上搜索

文档翻译

学术文献翻译模型,支持多种主流文档格式。

立即体验