Suppr超能文献

非洲爪蟾 Cdc7 在 S 期早期执行其基本功能,并被检查点调节的蛋白磷酸酶 1 拮抗。

Xenopus Cdc7 executes its essential function early in S phase and is counteracted by checkpoint-regulated protein phosphatase 1.

机构信息

Centre for Gene Regulation and Expression, College of Life Sciences, University of Dundee, Dow St., Dundee DD1 5EH, UK.

出版信息

Open Biol. 2014 Jan 8;4(1):130138. doi: 10.1098/rsob.130138.

Abstract

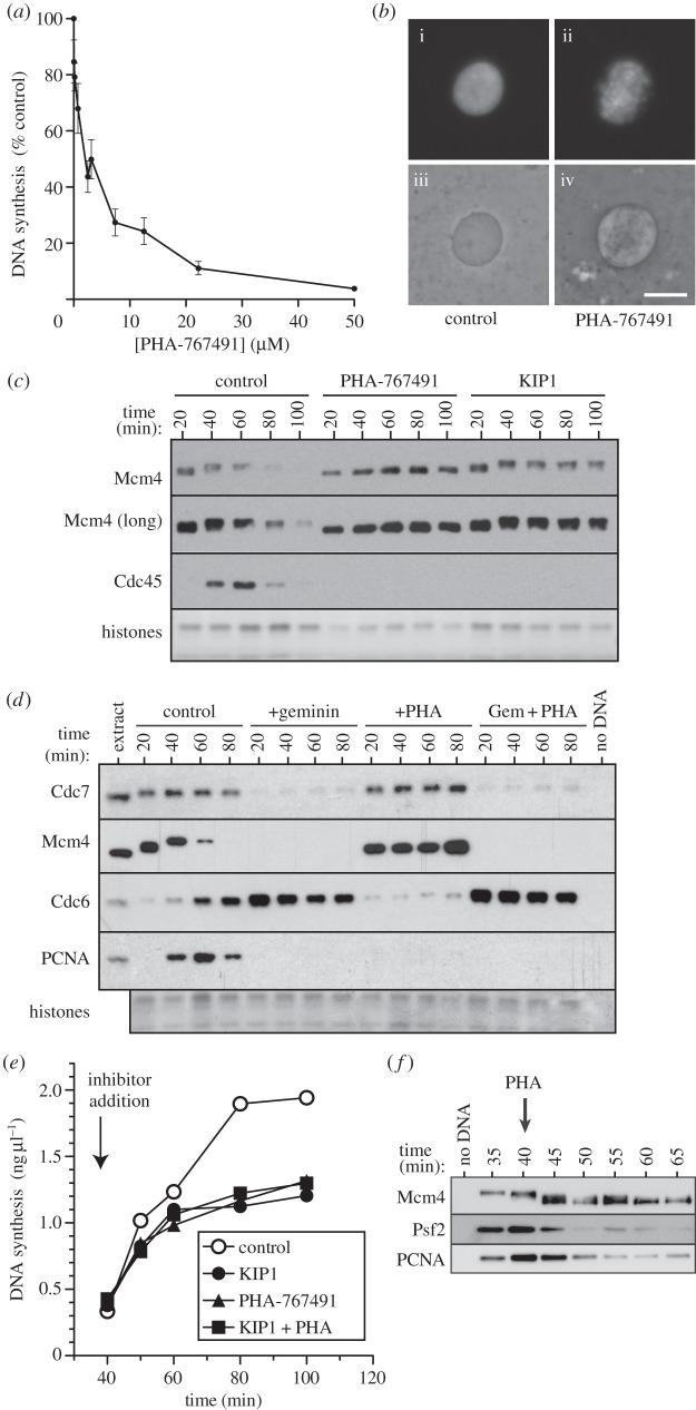
The initiation of DNA replication requires two protein kinases: cyclin-dependent kinase (Cdk) and Cdc7. Although S phase Cdk activity has been intensively studied, relatively little is known about how Cdc7 regulates progression through S phase. We have used a Cdc7 inhibitor, PHA-767491, to dissect the role of Cdc7 in Xenopus egg extracts. We show that hyperphosphorylation of mini-chromosome maintenance (MCM) proteins by Cdc7 is required for the initiation, but not for the elongation, of replication forks. Unlike Cdks, we demonstrate that Cdc7 executes its essential functions by phosphorylating MCM proteins at virtually all replication origins early in S phase and is not limiting for progression through the Xenopus replication timing programme. We demonstrate that protein phosphatase 1 (PP1) is recruited to chromatin and rapidly reverses Cdc7-mediated MCM hyperphosphorylation. Checkpoint kinases induced by DNA damage or replication inhibition promote the association of PP1 with chromatin and increase the rate of MCM dephosphorylation, thereby counteracting the previously completed Cdc7 functions and inhibiting replication initiation. This novel mechanism for regulating Cdc7 function provides an explanation for previous contradictory results concerning the control of Cdc7 by checkpoint kinases and has implications for the use of Cdc7 inhibitors as anti-cancer agents.

摘要

DNA 复制的起始需要两种蛋白激酶:细胞周期蛋白依赖性激酶(Cdk)和 Cdc7。虽然 S 期 Cdk 活性已被深入研究,但对于 Cdc7 如何调节 S 期进程知之甚少。我们使用 Cdc7 抑制剂 PHA-767491 来剖析 Cdc7 在非洲爪蟾卵提取物中的作用。我们表明,Cdc7 对微小染色体维持(MCM)蛋白的过度磷酸化对于复制叉的起始是必需的,但对于复制叉的延伸则不是必需的。与 Cdk 不同,我们证明 Cdc7 通过在 S 期早期几乎在所有复制起点处磷酸化 MCM 蛋白来执行其基本功能,并且不会限制 Xenopus 复制时间程序的进展。我们证明蛋白磷酸酶 1(PP1)被招募到染色质上,并迅速逆转 Cdc7 介导的 MCM 过度磷酸化。由 DNA 损伤或复制抑制诱导的检查点激酶促进 PP1 与染色质的结合,并增加 MCM 去磷酸化的速率,从而抵消先前完成的 Cdc7 功能并抑制复制起始。这种调节 Cdc7 功能的新机制解释了先前关于检查点激酶对 Cdc7 控制的矛盾结果,并对 Cdc7 抑制剂作为抗癌药物的使用具有重要意义。

https://cdn.ncbi.nlm.nih.gov/pmc/blobs/7cc6/3909274/c9b4c7413142/rsob-4-130138-g1.jpg

文献AI研究员

20分钟写一篇综述,助力文献阅读效率提升50倍。

立即体验

用中文搜PubMed

大模型驱动的PubMed中文搜索引擎

马上搜索

文档翻译

学术文献翻译模型,支持多种主流文档格式。

立即体验