Suppr超能文献

一种用于矫治正在形成的III类错牙合畸形的新型改良串联矫治器。

A new modified tandem appliance for management of developing Class III malocclusion.

作者信息

Sukh Ram, Singh Gyan P, Tandon Pradeep

机构信息

Department of Orthodontics and Dentofacial Orthopedics, Faculty of Dental Sciences, King George's Medical University, Lucknow, Uttar Pradesh, India.

出版信息

Contemp Clin Dent. 2013 Oct;4(4):515-9. doi: 10.4103/0976-237X.123062.

Abstract

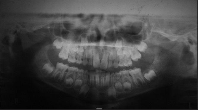
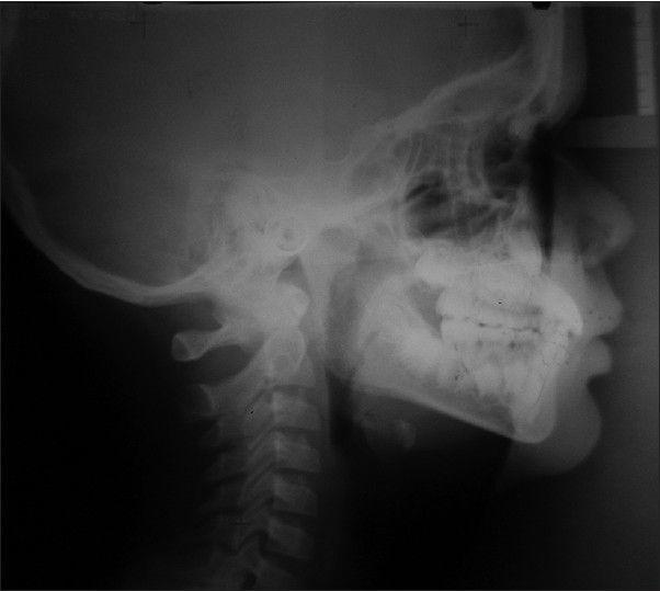
Most developing Class III patients display a retruded maxilla. Early intervention in mixed dentition is associated with better patient compliance and possibly a better orthopedic response, which can produce favorable results. The aim of this article is to present the fabrication of the new modified tandem appliance and its use in management of developing Class III malocclusion. The therapeutic results of a new modified tandem appliance are presented in an 8 year-old male patient with anterior cross bite and retrognathic maxilla at the mixed dentition stage. Anterior cross bite was corrected in 3 months and the positive overjet of 4 mm after continued use of the appliance for 1 year. There was a significant improvement in profile of the patient. The use of this appliance in this type of malocclusion enabled the correction of malocclusion in a few months and encouraging favorable skeletal growth in the future.

摘要

大多数处于生长发育期的III类患者表现出上颌后缩。在混合牙列期进行早期干预,患者的依从性更好,并且可能获得更好的矫形反应,从而产生良好的效果。本文的目的是介绍新型改良串联矫治器的制作及其在生长发育期III类错牙合畸形治疗中的应用。本文展示了一名8岁男性患者在混合牙列期使用新型改良串联矫治器治疗前牙反牙合和上颌后缩的治疗结果。3个月内前牙反牙合得到矫正,继续使用矫治器1年后覆盖达到4mm的正值。患者的侧貌有显著改善。在这类错牙合畸形中使用该矫治器,能够在几个月内矫正错牙合,并有望在未来促进有利的骨骼生长。

https://cdn.ncbi.nlm.nih.gov/pmc/blobs/052c/3883335/d26304b21ee1/CCD-4-515-g001.jpg

相似文献

1
A new modified tandem appliance for management of developing Class III malocclusion.
Contemp Clin Dent. 2013 Oct;4(4):515-9. doi: 10.4103/0976-237X.123062.
2
4
Treatment of pseudo Class III malocclusion by modified Hawleys appliance with inverted labial bow.
J Indian Soc Pedod Prev Dent. 2011 Jan-Mar;29(1):57-61. doi: 10.4103/0970-4388.79943.
5
Skeletal Class III correction in permanent dentition using reverse twin block appliance and fixed mechanotherapy.
Saudi Dent J. 2018 Oct;30(4):379-388. doi: 10.1016/j.sdentj.2018.05.009. Epub 2018 May 31.
7
Stability of Class II treatment with an edgewise crowned Herbst appliance in the early mixed dentition: Skeletal and dental changes.
Am J Orthod Dentofacial Orthop. 2011 Aug;140(2):210-23. doi: 10.1016/j.ajodo.2010.02.036.

引用本文的文献

1
Treatment Options for Class III Malocclusion in Growing Patients with Emphasis on Maxillary Protraction.
Scientifica (Cairo). 2016;2016:8105163. doi: 10.1155/2016/8105163. Epub 2016 Apr 10.

本文引用的文献

2
A new fixed biteplane.
J Clin Orthod. 2008 Nov;42(11):661-2.
4
Pseudo-Class III malocclusion treatment with Balters' Bionator.
J Orthod. 2003 Sep;30(3):203-15. doi: 10.1093/ortho/30.3.203.
5
Prevalence of malocclusion in children six to fourteen years of age and treatment in preventable cases.
J Am Dent Assoc. 1956 May;52(5):566-75. doi: 10.14219/jada.archive.1956.0092.
6
Early orthopedic Class III treatment with a modified tandem appliance.
J Clin Orthod. 2003 Apr;37(4):218-23; quiz 204.
8
Diagnostic criteria for pseudo-Class III malocclusion.
Am J Orthod Dentofacial Orthop. 2000 Jan;117(1):1-9. doi: 10.1016/s0889-5406(00)70241-1.
9
Management of pseudo Class III malocclusion in southern Chinese children.
Br Dent J. 1999 Feb 27;186(4 Spec No):183-7. doi: 10.1038/sj.bdj.4800058.
10
Cephalometric and occlusal changes following maxillary expansion and protraction.
Eur J Orthod. 1998 Jun;20(3):237-54. doi: 10.1093/ejo/20.3.237.

文献AI研究员

20分钟写一篇综述,助力文献阅读效率提升50倍。

立即体验

用中文搜PubMed

大模型驱动的PubMed中文搜索引擎

马上搜索

文档翻译

学术文献翻译模型,支持多种主流文档格式。

立即体验