Suppr超能文献

Management of a congenital tracheoesophageal fistula in a young Spanish water dog.

作者信息

Kaminen Pia S, Viitanen Sanna J, Lappalainen Anu K, Kipar Anja, Rajamäki Minna M, Laitinen-Vapaavuori Outi M

机构信息

Department of Equine and Small Animal Medicine, Faculty of Veterinary Medicine, Helsinki University, Helsinki, Finland.

出版信息

BMC Vet Res. 2014 Jan 14;10:16. doi: 10.1186/1746-6148-10-16.

Abstract

BACKGROUND

Tracheoesophageal fistula (TEF) in dogs is a rare disease with only few reports in the literature. This report aims to contribute to the current literature on suitable diagnostic methods for TEF and to provide follow-up information after successful surgical treatment.

CASE PRESENTATION

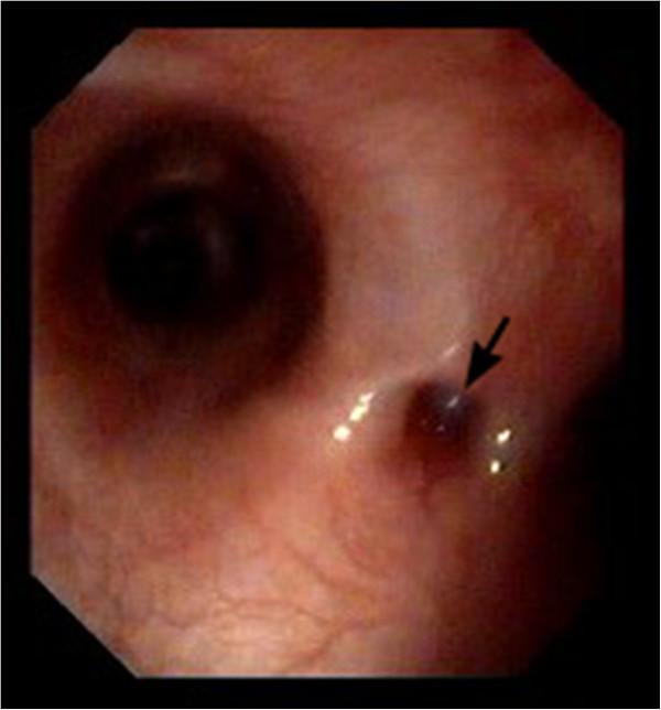
A seven-month-old intact female Spanish Water Dog was presented for further investigation of recurrent respiratory symptom. Bronchoscopy revealed a small hole-like defect in the tracheal wall at the bifurcation. The finding of the contrast material swallow study under fluoroscopy was indicative of a TEF. To further evaluate the connection between the trachea and esophagus, a computed tomography scan was performed. The TEF was surgically approached by thoracotomy through the right lateral sixth intercostal space. The fistula was identified, double ligated and divided. Histopathology confirmed the process to originate from the esophagus and to be patent. The dog was re-examined two weeks and ten months after surgery, with no evidence of recurring clinical signs.

CONCLUSIONS

Contrast material swallow study using fluoroscopy was the most reliable diagnostic method. Bronchoscopy may allow the fistula to be visualized, but due to a small fistular opening it can lead to a false negative result. Surgical correction by ligation and dividing of the fistula suggests a good prognosis for early diagnosed and operated TEF.

摘要
https://cdn.ncbi.nlm.nih.gov/pmc/blobs/c780/3895692/adb17d9b5048/1746-6148-10-16-1.jpg

文献AI研究员

20分钟写一篇综述,助力文献阅读效率提升50倍。

立即体验

用中文搜PubMed

大模型驱动的PubMed中文搜索引擎

马上搜索

文档翻译

学术文献翻译模型,支持多种主流文档格式。

立即体验