Suppr超能文献

一例副肿瘤性视神经病变和外节视网膜炎,自身抗体阳性,针对突触核蛋白反应介质蛋白-5、回收蛋白和α-烯醇化酶。

A case of paraneoplastic optic neuropathy and outer retinitis positive for autoantibodies against collapsin response mediator protein-5, recoverin, and α-enolase.

机构信息

Department of Ophthalmology, Hokkaido University Graduate School of Medicine, Sapporo, Japan.

出版信息

BMC Ophthalmol. 2014 Jan 16;14:5. doi: 10.1186/1471-2415-14-5.

Abstract

BACKGROUND

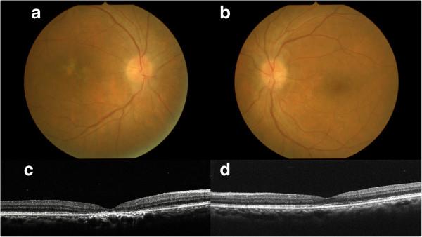
Specific cross-reacting autoimmunity against recoverin or collapsin response mediator protein (CRMP)-5 is known to cause cancer-associated retinopathy or paraneoplastic optic neuropathy, respectively. We report a rare case with small cell lung carcinoma developing bilateral neuroretinitis and unilateral focal outer retinitis positive for these antibodies.

CASE PRESENTATION

A 67-year-old man developed bilateral neuroretinitis and foveal exudation in the right eye. Optical coherence tomography showed a dome-shaped hyperreflective lesion extending from inner nuclear layer to the photoreceptor layer at the fovea in the right eye. Single-flash electroretinography showed normal a-waves in both eyes and slightly reduced b-wave in the left eye. Results of serological screening tests for infection were within normal limits. The patient's optic disc swelling and macular exudation rapidly improved after oral administration of prednisolone. Systemic screening detected lung small cell carcinoma and systemic chemotherapy was initiated. Immunoblot analyses using the patient's serum detected autoantibodies against recoverin, CRMP-5, and α-enolase, but not carbonic anhydrase II. Neuroretinitis once resolved after almost remission of carcinoma on imaging but it recurred following the recurrence of carcinoma.

CONCLUSIONS

The development of neuroretinitis in this cancer patient with anti-retinal and anti-optic nerve antibodies depended largely on the cancer activity, suggesting the possible involvement of paraneoplastic mechanisms. Patients with paraneoplastic optic neuropathy and retinopathy are likely to develop autoimmune responses against several antigens, thus leading to various ophthalmic involvements.

摘要

背景

已知针对 recoverin 或 collapsin 反应介导蛋白 5(CRMP-5)的特异性交叉自身免疫会分别导致癌症相关性视网膜病变或副肿瘤性视神经病变。我们报告了一例罕见病例,患有小细胞肺癌,同时发生双侧神经视网膜炎和单侧局灶性外视网膜炎,这些抗体呈阳性。

病例介绍

一名 67 岁男性出现双侧神经视网膜炎和右眼黄斑区渗出。光学相干断层扫描显示右眼黄斑区呈穹顶状高反射病变,从内核层延伸至光感受器层。单次闪光视网膜电图显示双眼 a 波正常,左眼 b 波略有降低。感染血清学筛查试验结果正常。患者口服泼尼松后,视盘肿胀和黄斑区渗出迅速改善。全身筛查发现肺部小细胞癌,开始进行全身化疗。使用患者血清进行免疫印迹分析检测到针对 recoverin、CRMP-5 和α-烯醇酶的自身抗体,但不针对碳酸酐酶 II。在影像学几乎缓解癌症后,神经视网膜炎得到缓解,但在癌症复发后再次复发。

结论

这位癌症患者出现神经视网膜炎和抗视网膜及视神经抗体,这主要取决于癌症的活动情况,提示可能涉及副肿瘤机制。患有副肿瘤性视神经病变和视网膜病变的患者可能会对多种抗原产生自身免疫反应,从而导致各种眼部受累。

https://cdn.ncbi.nlm.nih.gov/pmc/blobs/4397/3898010/ed5a0049e9b5/1471-2415-14-5-1.jpg

文献AI研究员

20分钟写一篇综述,助力文献阅读效率提升50倍。

立即体验

用中文搜PubMed

大模型驱动的PubMed中文搜索引擎

马上搜索

文档翻译

学术文献翻译模型,支持多种主流文档格式。

立即体验