Suppr超能文献

面部小汗腺汗孔瘤:一种非典型表现。

Eccrine poroma on the face: an atypical presentation.

作者信息

Mahajan Rashmi S, Parikh Anugrah A, Chhajlani Nikhil P, Bilimoria Freny E

机构信息

Department of Dermatology, S.B.K.S Medical Institute and Research Centre, Piparia, Waghodia, Vadodara, Gujarat, India.

出版信息

Indian J Dermatol. 2014 Jan;59(1):88-90. doi: 10.4103/0019-5154.123515.

Abstract

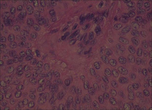
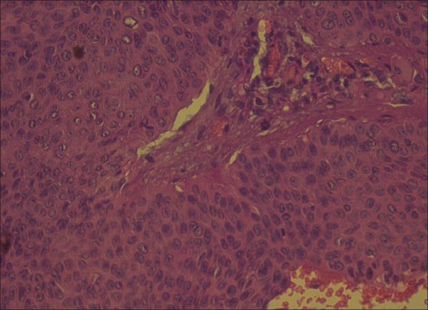
An eccrine poroma is a solitary tumor arising from the eccrine duct epithelium in the epidermis. The lesions commonly occur on the sole of the foot, the hands, and occasionally on the nose, eyelids, neck, and chest. We report a patient who presented with a slow-growing nodular lesion over her left cheek, prompting a diagnosis of basal cell carcinoma or keratoacanthoma. Biopsy from the nodule revealed a well-defined epidermal tumor with uniform small cuboidal cells with rounded deeply basophilic nuclei, few narrow ductal lumina, and occasional cystic spaces confirming the diagnosis of an eccrine poroma.

摘要

小汗腺汗孔瘤是一种起源于表皮内小汗腺导管上皮的孤立性肿瘤。病变通常发生在足底、手部,偶尔也出现在鼻子、眼睑、颈部和胸部。我们报告了一名患者,其左脸颊出现一个生长缓慢的结节性病变,最初诊断为基底细胞癌或角化棘皮瘤。对该结节进行活检,发现一个边界清晰的表皮肿瘤,由均匀的小立方形细胞组成,细胞核圆形、深嗜碱性,有少量狭窄的导管腔,偶尔可见囊性间隙,确诊为小汗腺汗孔瘤。

https://cdn.ncbi.nlm.nih.gov/pmc/blobs/fdc9/3884938/f209b9c69952/IJD-59-88-g001.jpg

文献AI研究员

20分钟写一篇综述,助力文献阅读效率提升50倍。

立即体验

用中文搜PubMed

大模型驱动的PubMed中文搜索引擎

马上搜索

文档翻译

学术文献翻译模型,支持多种主流文档格式。

立即体验