• 文献检索
  • 文档翻译
  • 深度研究
  • 学术资讯
  • Suppr Zotero 插件Zotero 插件
  • 邀请有礼
  • 套餐&价格
  • 历史记录
应用&插件
Suppr Zotero 插件Zotero 插件浏览器插件Mac 客户端Windows 客户端微信小程序
定价
高级版会员购买积分包购买API积分包
服务
文献检索文档翻译深度研究API 文档MCP 服务
关于我们
关于 Suppr公司介绍联系我们用户协议隐私条款
关注我们

Suppr 超能文献

核心技术专利:CN118964589B侵权必究
粤ICP备2023148730 号-1Suppr @ 2026

文献检索

告别复杂PubMed语法,用中文像聊天一样搜索,搜遍4000万医学文献。AI智能推荐,让科研检索更轻松。

立即免费搜索

文件翻译

保留排版,准确专业,支持PDF/Word/PPT等文件格式,支持 12+语言互译。

免费翻译文档

深度研究

AI帮你快速写综述,25分钟生成高质量综述,智能提取关键信息,辅助科研写作。

立即免费体验

放射学上明显的残余内膜撕裂对急性I型主动脉夹层手术后降主动脉扩张的影响。

Influence of radiologically evident residual intimal tear on expansion of descending aorta following surgery for acute type I aortic dissection.

作者信息

Kim Yun Seok, Kim Jeong Heon, Kim Joon Bum, Yang Dong Hyun, Kang Joon-Won, Hwang Su Kyung, Choo Suk Jung, Chung Cheol Hyun

机构信息

Department of Thoracic and Cardiovascular Surgery, Asan Medical Center, University of Ulsan College of Medicine, Korea.

Department of Thoracic and Cardiovascular Surgery, University of Ulsan College of Medicine, Korea.

出版信息

Korean J Thorac Cardiovasc Surg. 2014 Feb;47(1):6-12. doi: 10.5090/kjtcs.2014.47.1.6. Epub 2014 Feb 5.

DOI:10.5090/kjtcs.2014.47.1.6
PMID:24570859
原文链接:https://pmc.ncbi.nlm.nih.gov/articles/PMC3928268/
Abstract

BACKGROUND

Although a residual intimal tear may contribute to the dilatation of the descending aorta following surgical repair of acute type I aortic dissection (AD), its causal relationship has not been elucidated by clinical data due to the limited resolution of imaging modalities.

METHODS

This study enrolled 41 patients (age, 55.2±11.9 years) who were evaluated with dual-source computed tomography (CT) imaging of the whole aorta in the setting of the surgical repair of acute type I AD. Logistic regression models were used to determine the predictors of a composite of the aortic aneurysm formation (diameter >55 mm) and rapid aortic expansion (>5 mm/yr).

RESULTS

On initial CT, a distal re-entry tear was identified in 9 patients. Two patients failed to achieve proximal tear exclusion by the surgery. Serial follow-up CT evaluations (median, 24.6 months; range, 6.0 to 67.2 months) revealed that 14 patients showed rapid expansion of the descending aorta or aortic aneurysm formation. A multivariate analysis revealed that the residual intimal tear (odds ratio [OR], 4.31; 95% confidence interval [CI], 1.02 to 19.31) and the patent false lumen in the early postoperative setting (OR, 4.64; 95% CI, 0.99 to 43.61) were predictive of the composite endpoint.

CONCLUSION

The presence of a residual intimal tear following surgery for acute type I AD adversely influenced the expansion of the descending aorta.

摘要

背景

尽管残余内膜撕裂可能促成急性I型主动脉夹层(AD)手术修复后降主动脉扩张,但其因果关系尚未被临床数据阐明,因为成像方式的分辨率有限。

方法

本研究纳入41例患者(年龄55.2±11.9岁),这些患者在急性I型AD手术修复过程中接受了全主动脉双源计算机断层扫描(CT)成像评估。使用逻辑回归模型确定主动脉瘤形成(直径>55 mm)和主动脉快速扩张(>5 mm/年)这一复合终点的预测因素。

结果

在初次CT检查时,9例患者发现有远端再入撕裂。2例患者手术未能实现近端撕裂封闭。系列随访CT评估(中位时间24.6个月;范围6.0至67.2个月)显示,14例患者出现降主动脉快速扩张或主动脉瘤形成。多因素分析显示,残余内膜撕裂(比值比[OR],4.31;95%置信区间[CI],1.02至19.31)和术后早期假腔通畅(OR,4.64;95% CI,0.99至43.61)是复合终点的预测因素。

结论

急性I型AD手术后存在残余内膜撕裂对降主动脉扩张产生不利影响。

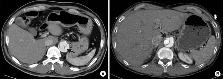
https://cdn.ncbi.nlm.nih.gov/pmc/blobs/08bf/3928268/61a33138854e/kjtcs-47-6-g001.jpg
https://cdn.ncbi.nlm.nih.gov/pmc/blobs/08bf/3928268/61a33138854e/kjtcs-47-6-g001.jpg
https://cdn.ncbi.nlm.nih.gov/pmc/blobs/08bf/3928268/61a33138854e/kjtcs-47-6-g001.jpg

相似文献

1
Influence of radiologically evident residual intimal tear on expansion of descending aorta following surgery for acute type I aortic dissection.放射学上明显的残余内膜撕裂对急性I型主动脉夹层手术后降主动脉扩张的影响。
Korean J Thorac Cardiovasc Surg. 2014 Feb;47(1):6-12. doi: 10.5090/kjtcs.2014.47.1.6. Epub 2014 Feb 5.
2
Endovascular repair of residual intimal tear or distal new entry after frozen elephant trunk for type A aortic dissection.A型主动脉夹层冷冻象鼻术后残余内膜撕裂或远端新破口的血管腔内修复术
J Thorac Dis. 2017 Mar;9(3):529-536. doi: 10.21037/jtd.2017.03.04.
3
Change of Proximal Descending Aortic False Lumen after Conventional Repair of Acute Type I Dissection: Is It Always Unfavorable?急性I型主动脉夹层传统修复术后近端降主动脉假腔的变化:是否总是不利?
Korean J Thorac Cardiovasc Surg. 2015 Aug;48(4):238-45. doi: 10.5090/kjtcs.2015.48.4.238. Epub 2015 Aug 5.
4
Note the descending aorta: predictors of postoperative major adverse aortic event in pure acute type A intramural hematoma.注意降主动脉:单纯急性A型主动脉壁内血肿术后主要不良主动脉事件的预测因素。
J Thorac Dis. 2021 Aug;13(8):4935-4946. doi: 10.21037/jtd-21-674.
5
Spontaneous retrograde dissection of ascending aorta from descending thoracic aorta--a case review.升主动脉自胸降主动脉的自发性逆行夹层分离——病例回顾
Perfusion. 2011 May;26(3):215-22. doi: 10.1177/0267659110395804. Epub 2011 Jan 19.
6
Fate of descending aorta after acute type A aortic dissection repair.急性A型主动脉夹层修复术后降主动脉的转归
J Thorac Dis. 2023 Nov 30;15(11):5942-5951. doi: 10.21037/jtd-23-920. Epub 2023 Nov 22.
7
Acute type A aortic intramural hematoma and type A aortic dissection: correlation between the intimal tear features and pathogenesis.急性A型主动脉壁内血肿与A型主动脉夹层:内膜撕裂特征与发病机制之间的相关性
Quant Imaging Med Surg. 2020 Jul;10(7):1504-1514. doi: 10.21037/qims-20-191.
8
Primary repair of re-entry intimal tear in a patient with limited extension of acute type A aortic dissection.
J Surg Case Rep. 2018 Dec 12;2018(12):rjy331. doi: 10.1093/jscr/rjy331. eCollection 2018 Dec.
9
Prediction of Intimal Tear Site by Computed Tomography in Acute Aortic Dissection Type A.计算机断层扫描对急性A型主动脉夹层内膜撕裂部位的预测
Korean Circ J. 2016 Jan;46(1):48-55. doi: 10.4070/kcj.2016.46.1.48. Epub 2016 Jan 14.
10
Acute type A dissection without intimal tear in arch: proximal or extensive repair?升主动脉无内膜撕裂的急性 A 型夹层:近端或广泛修复?
J Thorac Cardiovasc Surg. 2014 Apr;147(4):1251-5. doi: 10.1016/j.jtcvs.2013.04.029. Epub 2013 Jun 15.

引用本文的文献

1
Endovascular repair of residual intimal tear or distal new entry after frozen elephant trunk for type A aortic dissection.A型主动脉夹层冷冻象鼻术后残余内膜撕裂或远端新破口的血管腔内修复术
J Thorac Dis. 2017 Mar;9(3):529-536. doi: 10.21037/jtd.2017.03.04.

本文引用的文献

1
The IRAD classification system for characterizing survival after aortic dissection.IRAD 分类系统用于描述主动脉夹层后的生存特征。
Am J Med. 2013 Aug;126(8):730.e19-24. doi: 10.1016/j.amjmed.2013.01.020.
2
Prognosis of patients undergoing emergency surgery for type A acute aortic dissection without exclusion of the intimal tear.未排除内膜撕裂的急性 A 型主动脉夹层行急诊手术患者的预后。
J Thorac Cardiovasc Surg. 2013 Jul;146(1):67-71. doi: 10.1016/j.jtcvs.2012.05.067. Epub 2012 Jun 20.
3
Descending aortic aneurysmal changes following surgery for acute DeBakey type I aortic dissection.
急性 DeBakey Ⅰ型主动脉夹层手术后降主动脉瘤样改变。
Eur J Cardiothorac Surg. 2012 Nov;42(5):851-6; discussion 856-7. doi: 10.1093/ejcts/ezs157. Epub 2012 May 4.
4
Intimal tears in thoracic aortic dissection: appearance on MDCT with virtual angioscopy.胸主动脉夹层中的内膜撕裂:MDCT 血管内镜成像的表现。
AJR Am J Roentgenol. 2012 Apr;198(4):955-61. doi: 10.2214/AJR.11.7327.
5
Total arch repair versus hemiarch repair in the management of acute DeBakey type I aortic dissection.全主动脉弓置换与孙氏手术治疗急性Ⅰ型主动脉夹层的对比。
Eur J Cardiothorac Surg. 2011 Oct;40(4):881-7. doi: 10.1016/j.ejcts.2010.12.035. Epub 2011 Feb 18.
6
2010 ACCF/AHA/AATS/ACR/ASA/SCA/SCAI/SIR/STS/SVM guidelines for the diagnosis and management of patients with Thoracic Aortic Disease: a report of the American College of Cardiology Foundation/American Heart Association Task Force on Practice Guidelines, American Association for Thoracic Surgery, American College of Radiology, American Stroke Association, Society of Cardiovascular Anesthesiologists, Society for Cardiovascular Angiography and Interventions, Society of Interventional Radiology, Society of Thoracic Surgeons, and Society for Vascular Medicine.2010年美国心脏病学会基金会/美国心脏协会实践指南工作组、美国胸外科协会、美国放射学会、美国中风协会、心血管麻醉医师协会、心血管造影和介入学会、介入放射学会、胸外科医师学会以及血管医学学会关于胸主动脉疾病患者诊断和管理的指南:一份报告
Circulation. 2010 Apr 6;121(13):e266-369. doi: 10.1161/CIR.0b013e3181d4739e. Epub 2010 Mar 16.
7
Long-term results after repair of type a acute aortic dissection according to false lumen patency.根据假腔通畅情况对A型急性主动脉夹层修复后的长期结果
Ann Thorac Surg. 2009 Oct;88(4):1244-50. doi: 10.1016/j.athoracsur.2009.06.055.
8
Antegrade thoracic stent grafting during repair of acute DeBakey I dissection prevents development of thoracoabdominal aortic aneurysms.急性DeBakey I型主动脉夹层修复术中的顺行性胸主动脉支架植入术可预防胸腹主动脉瘤的发生。
Ann Thorac Surg. 2009 Aug;88(2):482-9; discussion 489-90. doi: 10.1016/j.athoracsur.2009.04.046.
9
Midterm change of descending aortic false lumen after repair of acute type I dissection.急性I型主动脉夹层修复术后降主动脉假腔的中期变化
Ann Thorac Surg. 2009 Jan;87(1):103-8. doi: 10.1016/j.athoracsur.2008.09.032.
10
Influence of patent false lumen on long-term outcome after surgery for acute type A aortic dissection.急性A型主动脉夹层手术后有功能的假腔对长期预后的影响。
J Thorac Cardiovasc Surg. 2008 Nov;136(5):1160-6, 1166.e1-3. doi: 10.1016/j.jtcvs.2008.05.052. Epub 2008 Aug 29.