Suppr超能文献

针对Inv::GFP拯救基因的转基因RNAi小鼠出现多个肾囊肿发育,但无位置异常。

Multiple renal cyst development but not situs abnormalities in transgenic RNAi mice against Inv::GFP rescue gene.

作者信息

Kamijho Yuki, Shiozaki Yayoi, Sakurai Eiki, Hanaoka Kazunori, Watanabe Daisuke

机构信息

Laboratory of Molecular Embryology, Department of Bioscience, Kitasato University School of Science, Sagamihara, Kanagawa, Japan.

出版信息

PLoS One. 2014 Feb 24;9(2):e89652. doi: 10.1371/journal.pone.0089652. eCollection 2014.

Abstract

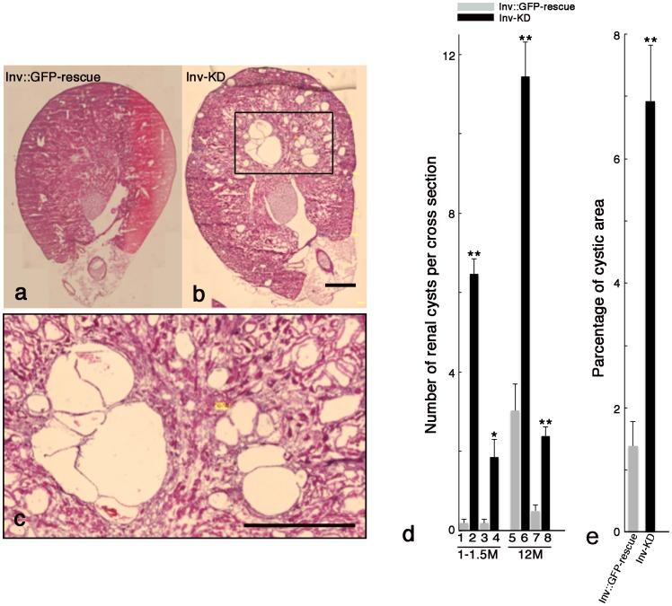
In this study we generated RNA interference (RNAi)-mediated gene knockdown transgenic mice (transgenic RNAi mice) against the functional Inv gene. Inv mutant mice show consistently reversed internal organs (situs inversus), multiple renal cysts and neonatal lethality. The Inv::GFP-rescue mice, which introduced the Inv::GFP fusion gene, can rescue inv mutant mice phenotypes. This indicates that the Inv::GFP gene is functional in vivo. To analyze the physiological functions of the Inv gene, and to demonstrate the availability of transgenic RNAi mice, we introduced a short hairpin RNA expression vector against GFP mRNA into Inv::GFP-rescue mice and analyzed the gene silencing effects and Inv functions by examining phenotypes. Transgenic RNAi mice with the Inv::GFP-rescue gene (Inv-KD mice) down-regulated Inv::GFP fusion protein and showed hypomorphic phenotypes of inv mutant mice, such as renal cyst development, but not situs abnormalities or postnatal lethality. This indicates that shRNAi-mediated gene silencing systems that target the tag sequence of the fusion gene work properly in vivo, and suggests that a relatively high level of Inv protein is required for kidney development in contrast to left/right axis determination. Inv::GFP protein was significantly down-regulated in the germ cells of Inv-KD mice testis compared with somatic cells, suggesting the existence of a testicular germ cell-specific enhanced RNAi system that regulates germ cell development. The Inv-KD mouse is useful for studying Inv gene functions in adult tissue that are unable to be analyzed in inv mutant mice showing postnatal lethality. In addition, the shRNA-based gene silencing system against the tag sequence of the fusion gene can be utilized as a new technique to regulate gene expression in either in vitro or in vivo experiments.

摘要

在本研究中,我们构建了针对功能性Inv基因的RNA干扰(RNAi)介导的基因敲低转基因小鼠(转基因RNAi小鼠)。Inv突变小鼠表现出内脏持续反转(内脏反位)、多个肾囊肿和新生期致死性。导入Inv::GFP融合基因的Inv::GFP拯救小鼠能够挽救inv突变小鼠的表型。这表明Inv::GFP基因在体内具有功能。为了分析Inv基因的生理功能,并证明转基因RNAi小鼠的可用性,我们将针对GFP mRNA的短发夹RNA表达载体导入Inv::GFP拯救小鼠,并通过检查表型来分析基因沉默效果和Inv功能。携带Inv::GFP拯救基因的转基因RNAi小鼠(Inv-KD小鼠)下调了Inv::GFP融合蛋白,并表现出inv突变小鼠的亚效表型,如肾囊肿形成,但没有左右轴异常或出生后致死性。这表明靶向融合基因标签序列的shRNAi介导的基因沉默系统在体内能够正常发挥作用,并且表明与左右轴决定相比,肾脏发育需要相对高水平的Inv蛋白。与体细胞相比,Inv-KD小鼠睾丸生殖细胞中的Inv::GFP蛋白显著下调,这表明存在一种调节生殖细胞发育的睾丸生殖细胞特异性增强RNAi系统。Inv-KD小鼠可用于研究Inv基因在成年组织中的功能,而在表现出出生后致死性的inv突变小鼠中无法对这些功能进行分析。此外,针对融合基因标签序列的基于shRNA的基因沉默系统可作为一种新技术,用于在体外或体内实验中调节基因表达。

https://cdn.ncbi.nlm.nih.gov/pmc/blobs/837c/3933642/82164af1bd72/pone.0089652.g001.jpg

相似文献

1
Multiple renal cyst development but not situs abnormalities in transgenic RNAi mice against Inv::GFP rescue gene.
PLoS One. 2014 Feb 24;9(2):e89652. doi: 10.1371/journal.pone.0089652. eCollection 2014.
3
Molecular cloning of a gene for inversion of embryo turning (inv) with cystic kidney.
Nephrol Dial Transplant. 2002;17 Suppl 9:68-70. doi: 10.1093/ndt/17.suppl_9.68.
4
Cardiopulmonary malformations in the inv/inv mouse.
Anat Rec. 2001 May 1;263(1):62-71. doi: 10.1002/ar.1077.
5
Roles of the Foxj1 and Inv genes in the left-right determination of internal organs in mice.
Biochem Biophys Res Commun. 2006 Jan 20;339(3):932-8. doi: 10.1016/j.bbrc.2005.11.097. Epub 2005 Nov 28.
6
Sustained cell proliferation of renal epithelial cells in mice with inv mutation.
Genes Cells. 2006 Oct;11(10):1213-24. doi: 10.1111/j.1365-2443.2006.01011.x.
7
Cloning of inv, a gene that controls left/right asymmetry and kidney development.
Nature. 1998 Sep 10;395(6698):177-81. doi: 10.1038/26006.
8
Renal cysts of inv/inv mice resemble early infantile nephronophthisis.
J Am Soc Nephrol. 2004 Jul;15(7):1744-55. doi: 10.1097/01.asn.0000131520.07008.b3.
9
The Inv compartment of renal cilia is an intraciliary signal-activating center to phosphorylate ANKS6.
Kidney Int. 2018 May;93(5):1108-1117. doi: 10.1016/j.kint.2017.11.016. Epub 2018 Feb 1.

本文引用的文献

1
A pipeline for the generation of shRNA transgenic mice.
Nat Protoc. 2012 Feb 2;7(2):374-93. doi: 10.1038/nprot.2011.446.
2
Miwi catalysis is required for piRNA amplification-independent LINE1 transposon silencing.
Nature. 2011 Nov 27;480(7376):264-7. doi: 10.1038/nature10672.
3
Male germ cells express abundant endogenous siRNAs.
Proc Natl Acad Sci U S A. 2011 Aug 9;108(32):13159-64. doi: 10.1073/pnas.1108567108. Epub 2011 Jul 25.
6
MVH in piRNA processing and gene silencing of retrotransposons.
Genes Dev. 2010 May;24(9):887-92. doi: 10.1101/gad.1902110.
7
Inv acts as a molecular anchor for Nphp3 and Nek8 in the proximal segment of primary cilia.
Cytoskeleton (Hoboken). 2010 Feb;67(2):112-9. doi: 10.1002/cm.20428.
8
Knock-down of PQBP1 impairs anxiety-related cognition in mouse.
Hum Mol Genet. 2009 Nov 15;18(22):4239-54. doi: 10.1093/hmg/ddp378. Epub 2009 Aug 6.
9
Localization of Inv in a distinctive intraciliary compartment requires the C-terminal ninein-homolog-containing region.
J Cell Sci. 2009 Jan 1;122(Pt 1):44-54. doi: 10.1242/jcs.037408. Epub 2008 Dec 2.
10
Cystic kidney gene seahorse regulates cilia-mediated processes and Wnt pathways.
Dev Cell. 2008 Jun;14(6):954-61. doi: 10.1016/j.devcel.2008.03.010.

文献AI研究员

20分钟写一篇综述,助力文献阅读效率提升50倍。

立即体验

用中文搜PubMed

大模型驱动的PubMed中文搜索引擎

马上搜索

文档翻译

学术文献翻译模型,支持多种主流文档格式。

立即体验