• 文献检索
  • 文档翻译
  • 深度研究
  • 学术资讯
  • Suppr Zotero 插件Zotero 插件
  • 邀请有礼
  • 套餐&价格
  • 历史记录
应用&插件
Suppr Zotero 插件Zotero 插件浏览器插件Mac 客户端Windows 客户端微信小程序
定价
高级版会员购买积分包购买API积分包
服务
文献检索文档翻译深度研究API 文档MCP 服务
关于我们
关于 Suppr公司介绍联系我们用户协议隐私条款
关注我们

Suppr 超能文献

核心技术专利:CN118964589B侵权必究
粤ICP备2023148730 号-1Suppr @ 2026

文献检索

告别复杂PubMed语法,用中文像聊天一样搜索,搜遍4000万医学文献。AI智能推荐,让科研检索更轻松。

立即免费搜索

文件翻译

保留排版,准确专业,支持PDF/Word/PPT等文件格式,支持 12+语言互译。

免费翻译文档

深度研究

AI帮你快速写综述,25分钟生成高质量综述,智能提取关键信息,辅助科研写作。

立即免费体验

尿路上皮癌的巢状变异型

Nested variant of urothelial carcinoma.

作者信息

Venyo Anthony Kodzo-Grey

机构信息

Department of Urology, North Manchester General Hospital, Delaunays Road, Crumpsall, Manchester, UK.

出版信息

Adv Urol. 2014;2014:192720. doi: 10.1155/2014/192720. Epub 2014 Jan 22.

DOI:10.1155/2014/192720
PMID:24587796
原文链接:https://pmc.ncbi.nlm.nih.gov/articles/PMC3920611/
Abstract

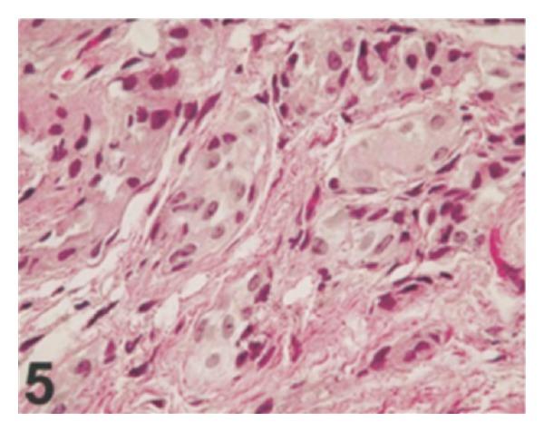
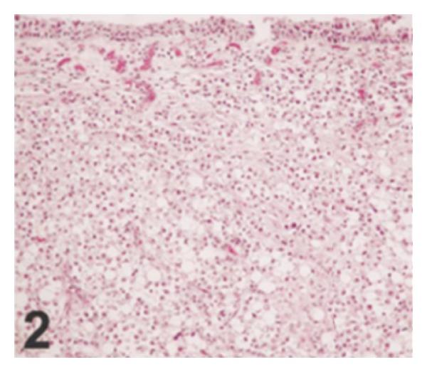
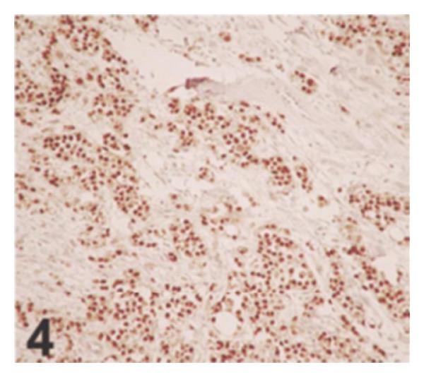
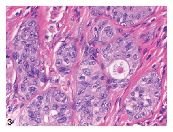
Background. Nested variant of urothelial carcinoma was added to the WHO's classification in 2004. Aims. To review the literature on nested variant of urothelial carcinoma. Results. About 200 cases of the tumour have been reported so far and it has the ensuing morphological features: large numbers of small confluent irregular nests of bland-appearing, closely packed, haphazardly arranged, and poorly defined urothelial cells infiltrating the lamina propria and the muscularis propria. The tumour has a bland histomorphologic appearance, has an aggressive biological behaviour, and has at times been misdiagnosed as a benign lesion which had led to a significant delay in the establishment of the correct diagnosis and contributing to the advanced stage of the disease. Immunohistochemically, the tumour shares some characteristic features with high-risk conventional urothelial carcinomas such as high proliferation index and loss of p27 expression. However, p53, bcl-2, or EGF-r immunoreactivity is not frequently seen. The tumour must be differentiated from a number of proliferative lesions of the urothelium. Conclusions. Correct and early diagnosis of this tumour is essential to provide early curative treatment to avoid diagnosis at an advanced stage. A multicentre trial is required to identify treatment options that would improve the outcome of this tumour.

摘要

背景。尿路上皮癌巢状变异型于2004年被纳入世界卫生组织分类。目的。回顾关于尿路上皮癌巢状变异型的文献。结果。迄今为止已报道了约200例该肿瘤病例,其具有以下形态学特征:大量小的融合性不规则巢状结构,由外观温和、紧密排列、杂乱无章且边界不清的尿路上皮细胞组成,浸润固有层和肌层。该肿瘤具有温和的组织形态学外观,具有侵袭性生物学行为,有时被误诊为良性病变,这导致正确诊断的建立出现显著延迟,并促使疾病进展至晚期。免疫组织化学方面,该肿瘤与高危传统尿路上皮癌具有一些共同特征,如高增殖指数和p27表达缺失。然而,p53、bcl-2或表皮生长因子受体免疫反应性并不常见。该肿瘤必须与多种尿路上皮增生性病变相鉴别。结论。对该肿瘤进行正确和早期诊断对于提供早期治愈性治疗以避免晚期诊断至关重要。需要进行多中心试验以确定可改善该肿瘤治疗结果的治疗方案。

https://cdn.ncbi.nlm.nih.gov/pmc/blobs/b1a0/3920611/7bf317e94358/AU2014-192720.010.jpg
https://cdn.ncbi.nlm.nih.gov/pmc/blobs/b1a0/3920611/9a74309cfad6/AU2014-192720.001.jpg
https://cdn.ncbi.nlm.nih.gov/pmc/blobs/b1a0/3920611/eb15a7f4c04f/AU2014-192720.002.jpg
https://cdn.ncbi.nlm.nih.gov/pmc/blobs/b1a0/3920611/74d4a47b45ee/AU2014-192720.003.jpg
https://cdn.ncbi.nlm.nih.gov/pmc/blobs/b1a0/3920611/673eea39f7ea/AU2014-192720.004.jpg
https://cdn.ncbi.nlm.nih.gov/pmc/blobs/b1a0/3920611/2536bcc25337/AU2014-192720.005.jpg
https://cdn.ncbi.nlm.nih.gov/pmc/blobs/b1a0/3920611/81a493c4a5e2/AU2014-192720.006.jpg
https://cdn.ncbi.nlm.nih.gov/pmc/blobs/b1a0/3920611/bf206208e014/AU2014-192720.007.jpg
https://cdn.ncbi.nlm.nih.gov/pmc/blobs/b1a0/3920611/2ddaa9154af2/AU2014-192720.008.jpg
https://cdn.ncbi.nlm.nih.gov/pmc/blobs/b1a0/3920611/eedb6f8059bd/AU2014-192720.009.jpg
https://cdn.ncbi.nlm.nih.gov/pmc/blobs/b1a0/3920611/7bf317e94358/AU2014-192720.010.jpg
https://cdn.ncbi.nlm.nih.gov/pmc/blobs/b1a0/3920611/9a74309cfad6/AU2014-192720.001.jpg
https://cdn.ncbi.nlm.nih.gov/pmc/blobs/b1a0/3920611/eb15a7f4c04f/AU2014-192720.002.jpg
https://cdn.ncbi.nlm.nih.gov/pmc/blobs/b1a0/3920611/74d4a47b45ee/AU2014-192720.003.jpg
https://cdn.ncbi.nlm.nih.gov/pmc/blobs/b1a0/3920611/673eea39f7ea/AU2014-192720.004.jpg
https://cdn.ncbi.nlm.nih.gov/pmc/blobs/b1a0/3920611/2536bcc25337/AU2014-192720.005.jpg
https://cdn.ncbi.nlm.nih.gov/pmc/blobs/b1a0/3920611/81a493c4a5e2/AU2014-192720.006.jpg
https://cdn.ncbi.nlm.nih.gov/pmc/blobs/b1a0/3920611/bf206208e014/AU2014-192720.007.jpg
https://cdn.ncbi.nlm.nih.gov/pmc/blobs/b1a0/3920611/2ddaa9154af2/AU2014-192720.008.jpg
https://cdn.ncbi.nlm.nih.gov/pmc/blobs/b1a0/3920611/eedb6f8059bd/AU2014-192720.009.jpg
https://cdn.ncbi.nlm.nih.gov/pmc/blobs/b1a0/3920611/7bf317e94358/AU2014-192720.010.jpg

相似文献

1
Nested variant of urothelial carcinoma.尿路上皮癌的巢状变异型
Adv Urol. 2014;2014:192720. doi: 10.1155/2014/192720. Epub 2014 Jan 22.
2
Nested variant of urothelial carcinoma.尿路上皮癌的嵌套变体
Arch Pathol Lab Med. 2007 Nov;131(11):1725-7. doi: 10.5858/2007-131-1725-NVOUC.
3
Nested variant of urothelial carcinoma: a clinicopathologic and immunohistochemical study of 12 cases.尿路上皮癌的巢状变体:12例临床病理及免疫组化研究
Mod Pathol. 2003 Dec;16(12):1289-98. doi: 10.1097/01.MP.0000094091.04541.FC.
4
Large nested variant of urothelial carcinoma: 23 cases mimicking von Brunn nests and inverted growth pattern of noninvasive papillary urothelial carcinoma.大巢状变异型尿路上皮癌:23 例酷似 von Brunn 巢和非浸润性乳头状尿路上皮癌倒置生长方式。
Am J Surg Pathol. 2011 Sep;35(9):1337-42. doi: 10.1097/PAS.0b013e318222a653.
5
Distinguishing nested variants of urothelial carcinoma from benign mimickers by TERT promoter mutation.通过 TERT 启动子突变鉴别尿路上皮癌的巢式变异型与良性类似物。
Am J Surg Pathol. 2015 Jan;39(1):127-31. doi: 10.1097/PAS.0000000000000305.
6
Florid von Brunn nests mimicking urothelial carcinoma: a morphologic and immunohistochemical comparison to the nested variant of urothelial carcinoma.模仿尿路上皮癌的Florid von Brunn巢:与尿路上皮癌巢状变体的形态学和免疫组化比较
Am J Surg Pathol. 2003 Sep;27(9):1243-52. doi: 10.1097/00000478-200309000-00008.
7
PAX8 positivity in nested variant of urothelial carcinoma: a potential diagnostic pitfall.巢式尿路上皮癌中 PAX8 的阳性表达:一个潜在的诊断陷阱。
Hum Pathol. 2019 Dec;94:11-15. doi: 10.1016/j.humpath.2019.09.012. Epub 2019 Oct 25.
8
[Urothelial hyperplastic lesion with endophytic growth pattern: a clinicopathologic study].[具有内生性生长模式的尿路上皮增生性病变:一项临床病理研究]
Zhonghua Bing Li Xue Za Zhi. 2011 May;40(5):319-23.
9
Nested variant of urothelial carcinoma: a clinicopathologic and immunohistochemical study of 30 pure and mixed cases.尿路上皮癌的巢状变异型:30 例纯型和混合型病例的临床病理和免疫组织化学研究。
Hum Pathol. 2010 Feb;41(2):163-71. doi: 10.1016/j.humpath.2009.07.015. Epub 2009 Oct 1.
10
Microcystic variant of urothelial carcinoma.尿路上皮癌微囊性变体
Adv Urol. 2013;2013:654751. doi: 10.1155/2013/654751. Epub 2013 Dec 2.

引用本文的文献

1
Histological and immunohistochemical approaches to molecular subtyping in muscle-invasive bladder cancer.肌肉浸润性膀胱癌分子亚型的组织学和免疫组化方法
Front Oncol. 2025 Jul 15;15:1546160. doi: 10.3389/fonc.2025.1546160. eCollection 2025.
2
A case of bladder urothelial carcinoma nested variant with invasion to the rectum treated with surgery and intraoperative radiotherapy.1例膀胱尿路上皮癌巢状变异型侵及直肠患者接受手术及术中放疗治疗。
Quant Imaging Med Surg. 2023 Aug 1;13(8):5409-5416. doi: 10.21037/qims-23-67. Epub 2023 Jun 29.
3
A nested variant of urothelial carcinoma of the urethra and urinary bladder: A case report and review of literature.

本文引用的文献

1
Outcomes following radical cystectomy for nested variant of urothelial carcinoma: a matched cohort analysis.巢式尿路上皮癌行根治性膀胱切除术的结局:匹配队列分析。
J Urol. 2013 May;189(5):1670-5. doi: 10.1016/j.juro.2012.11.006. Epub 2012 Nov 6.
2
Pelvic urothelial carcinoma with nested pattern of growth and an uncommon clinical presentation: a case report.具有巢状生长模式及罕见临床表现的盆腔尿路上皮癌:一例报告
Anal Quant Cytol Histol. 2011 Dec;33(6):340-4.
3
Recurrent transitional cell carcinoma of the bladder: A mixed nested variant case report and literature review.
尿道和膀胱尿路上皮癌的一种嵌套变异型:一例病例报告及文献复习
Clin Case Rep. 2023 May 25;11(6):e7360. doi: 10.1002/ccr3.7360. eCollection 2023 Jun.
4
Complete response to pembrolizumab in recurrent nested variant of urothelial carcinoma.派姆单抗治疗复发性巢状变异型尿路上皮癌的完全缓解
IJU Case Rep. 2021 Jun 24;4(5):310-313. doi: 10.1002/iju5.12334. eCollection 2021 Sep.
5
Histologically confirmed distant metastatic urothelial carcinoma from the urinary bladder: a retrospective review of one institution's 20-year experience.经组织学证实的膀胱远处转移性尿路上皮癌:对一家机构20年经验的回顾性研究
J Pathol Transl Med. 2021 Mar;55(2):94-101. doi: 10.4132/jptm.2020.10.19. Epub 2020 Dec 3.
6
Efficacy and Safety of Chemotherapy Regimens in Advanced or Metastatic Bladder and Urothelial Carcinomas: An Updated Network Meta-Analysis.晚期或转移性膀胱癌和尿路上皮癌化疗方案的疗效与安全性:一项更新的网状Meta分析
Front Pharmacol. 2020 Jan 15;10:1507. doi: 10.3389/fphar.2019.01507. eCollection 2019.
7
Superficially invasive cervical squamous cell carcinoma metastatic to ovarian endometriotic cyst wall, a case report and brief review of the literature.浅表浸润性宫颈鳞癌转移至卵巢子宫内膜异位囊肿壁 1 例报告及文献复习
J Ovarian Res. 2018 May 30;11(1):44. doi: 10.1186/s13048-018-0417-9.
8
von Brünn Nests Hyperplasia as a Cause of Ureteral Stenosis After Kidney Transplantation.肾移植后输尿管狭窄的原因:腺管巢增生
Kidney Int Rep. 2016 Nov 30;2(3):498-501. doi: 10.1016/j.ekir.2016.11.008. eCollection 2017 May.
9
Clinical Outcomes of Patients With T1 Nested Variant of Urothelial Carcinoma Compared to Pure Urothelial Carcinoma of the Bladder.与膀胱纯尿路上皮癌相比,T1期尿路上皮癌巢状变体患者的临床结局
Clin Genitourin Cancer. 2017 Jul 14. doi: 10.1016/j.clgc.2017.07.002.
10
The pathology of urinary bladder lesions with an inverted growth pattern.具有内翻生长模式的膀胱病变的病理学
Chin J Cancer Res. 2016 Feb;28(1):107-21. doi: 10.3978/j.issn.1000-9604.2016.02.01.
复发性膀胱移行细胞癌:一例混合型巢状变异型病例报告及文献综述。
Can Urol Assoc J. 2012 Apr;6(2):E57-60. doi: 10.5489/cuaj.11094.
4
Metastases from nested variant urothelial carcinoma of the urinary bladder in pancreatic allograft mimicking graft rejection.胰腺移植中膀胱巢状变异型尿路上皮癌转移酷似移植排斥反应。
J Clin Med Res. 2012 Apr;4(2):145-8. doi: 10.4021/jocmr798w. Epub 2012 Mar 23.
5
Nested variant of urothelial carcinoma of the urinary bladder.膀胱尿路上皮癌的嵌套式变体。
Rare Tumors. 2011 Oct 21;3(4):e42. doi: 10.4081/rt.2011.e42. Epub 2011 Dec 27.
6
Large nested variant of urothelial carcinoma: 23 cases mimicking von Brunn nests and inverted growth pattern of noninvasive papillary urothelial carcinoma.大巢状变异型尿路上皮癌:23 例酷似 von Brunn 巢和非浸润性乳头状尿路上皮癌倒置生长方式。
Am J Surg Pathol. 2011 Sep;35(9):1337-42. doi: 10.1097/PAS.0b013e318222a653.
7
Nested variant of urothelial carcinoma: a clinicopathologic and immunohistochemical study of 30 pure and mixed cases.尿路上皮癌的巢状变异型:30 例纯型和混合型病例的临床病理和免疫组织化学研究。
Hum Pathol. 2010 Feb;41(2):163-71. doi: 10.1016/j.humpath.2009.07.015. Epub 2009 Oct 1.
8
Nested variant of urothelial carcinoma of the renal pelvis.肾盂尿路上皮癌的嵌套变异型
Pathol Res Pract. 2009;205(7):508-12. doi: 10.1016/j.prp.2008.12.006. Epub 2009 Jan 25.
9
Cancer in kidney transplantation.
Urol Int. 2008;80(3):329-31. doi: 10.1159/000127352. Epub 2008 May 14.
10
Nested variant of urothelial carcinoma.尿路上皮癌的嵌套变体
Arch Pathol Lab Med. 2007 Nov;131(11):1725-7. doi: 10.5858/2007-131-1725-NVOUC.