Suppr超能文献

Laparoscopic resection of symptomatic gastric diverticula.

作者信息

Zelisko Andrea, Rodriguez John, El-Hayek Kevin, Kroh Matthew

机构信息

Department of Surgery, Cleveland Clinic, Cleveland, OH, USA.

Department of Surgery, Cleveland Clinic, 9500 Euclid Avenue, A100, Cleveland, OH 44195, USA.

出版信息

JSLS. 2014 Jan-Mar;18(1):120-4. doi: 10.4293/108680813X13693422520648.

Abstract

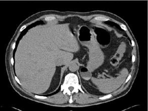
Gastric diverticula are rare and usually asymptomatic. This report, however, describes two examples of symptomatic gastric diverticula successfully treated by laparoscopic resection. Both patients were male and in their sixth decade of life. One patient was relatively healthy with no past medical history, whereas the other patient had chronic pain issues and at presentation was also undergoing evaluation for hyperaldosteronism. The patients presented with gastrointestinal symptoms, including nausea, emesis, abdominal pain, and change in bowel function. In both cases, a gastric diverticulum was identified by CT scan, and precise anatomic position was determined by upper endoscopy. After discussion with the treating teams, including a gastroenterologist and surgeon, surgical treatment and resection was elected. Successful laparoscopic removal was accomplished in both patients, and they were discharged home after tolerating liquid diets. Both patients reported resolution of their abdominal symptoms at follow-up.

摘要
https://cdn.ncbi.nlm.nih.gov/pmc/blobs/661c/3939326/9641358d5991/jls0031331140001.jpg

相似文献

1
Laparoscopic resection of symptomatic gastric diverticula.
JSLS. 2014 Jan-Mar;18(1):120-4. doi: 10.4293/108680813X13693422520648.
2
Large symptomatic gastric diverticula: two case reports and a brief review of literature.
World J Gastroenterol. 2013 Sep 28;19(36):6114-7. doi: 10.3748/wjg.v19.i36.6114.
3
Laparoscopic gastric diverticulectomy in a 13-year-old girl.
Surg Laparosc Endosc Percutan Tech. 2006 Feb;16(1):29-31. doi: 10.1097/01.sle.0000202193.44075.35.
4
Laparoscopic resection of gastric diverticulum presenting after Roux-en-Y gastric bypass.
Surg Obes Relat Dis. 2006 Sep-Oct;2(5):528-30. doi: 10.1016/j.soard.2006.06.001.
5
Laparoscopic management of gastric diverticula.
J Laparoendosc Adv Surg Tech A. 1999 Oct;9(5):405-10. doi: 10.1089/lap.1999.9.405.
6
Gastric diverticulum: "a wayside house of ill fame" with a laparoscopic solution.
JSLS. 2012 Jul-Sep;16(3):473-7. doi: 10.4293/108680812X13462882736330.
7
[Diagnosis and surgical treatment of symptomic stomach diverticulum].
Khirurgiia (Mosk). 2020(4):70-73. doi: 10.17116/hirurgia202004170.
9
Laparoscopic resection of gastric diverticulum.
J Laparoendosc Adv Surg Tech A. 1999 Feb;9(1):87-91. doi: 10.1089/lap.1999.9.87.
10
[Laparoscopic resection of gastric diverticula: two case reports].
Zentralbl Chir. 2007 Jun;132(3):251-5. doi: 10.1055/s-2007-960753.

引用本文的文献

1
Gastric diverticula as a diagnostic and therapeutic challenge: Case report and review of literature.
Int J Surg Case Rep. 2020;70:93-95. doi: 10.1016/j.ijscr.2020.04.053. Epub 2020 May 11.
2

本文引用的文献

1
Gastric diverticulum: "a wayside house of ill fame" with a laparoscopic solution.
JSLS. 2012 Jul-Sep;16(3):473-7. doi: 10.4293/108680812X13462882736330.
2
Diverticula of the stomach.
Arch Surg (1920). 1946 Jan;52:59-65. doi: 10.1001/archsurg.1946.01230050061005.
3
Gastric diverticulum simulating left adrenal incidentaloma in a hypertensive patient.
Endocr J. 2007 Dec;54(6):969-74. doi: 10.1507/endocrj.k07e-025. Epub 2007 Nov 2.
5
Gastric diverticulum preoperatively diagnosed as one of two left adrenal adenomas.
Int J Urol. 2006 Jan;13(1):64-6. doi: 10.1111/j.1442-2042.2006.01236.x.
7
Gastric diverticula.
Int Abstr Surg. 1951 May;92(5):417-28.
8
Gastric diverticulum: a series of four pediatric patients.
J Pediatr Gastroenterol Nutr. 2002 May;34(5):564-7. doi: 10.1097/00005176-200205000-00019.
9
Laparoscopic management of a gastric diverticulum.
Surg Endosc. 2001 Oct;15(10):1227-8. doi: 10.1007/s004640041019.
10
Laparoscopic resection of gastric diverticulum.
J Laparoendosc Adv Surg Tech A. 1999 Feb;9(1):87-91. doi: 10.1089/lap.1999.9.87.

文献AI研究员

20分钟写一篇综述,助力文献阅读效率提升50倍。

立即体验

用中文搜PubMed

大模型驱动的PubMed中文搜索引擎

马上搜索

文档翻译

学术文献翻译模型,支持多种主流文档格式。

立即体验