Suppr超能文献

体外鉴定 6S RNA 释放缺陷突变体揭示了大肠杆菌中 pRNA 依赖性 RNA 聚合酶释放的特征。

In vitro characterization of 6S RNA release-defective mutants uncovers features of pRNA-dependent release from RNA polymerase in E. coli.

出版信息

RNA. 2014 May;20(5):670-80. doi: 10.1261/rna.036343.112. Epub 2014 Mar 28.

Abstract

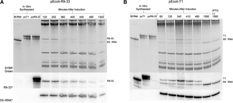
6S RNA is a noncoding RNA that inhibits bacterial transcription by sequestering RNA polymerase holoenzyme (Eσ(70)) in low-nutrient conditions. This transcriptional block can be relieved by the synthesis of a short product RNA (pRNA) using the 6S RNA as a template. Here, we selected a range of 6S RNA release-defective mutants from a high diversity in vitro pool. Studying the release-defective variant R9-33 uncovered complex interactions between three regions of the 6S RNA. As expected, mutating the transcriptional start site (TSS) slowed and partially inhibited release. Surprisingly, additional mutations near the TSS were found that rescued this effect. Likewise, three mutations in the top strand of the large open bubble (LOB) could considerably slow release but were rescued by the addition of upstream mutations found between a highly conserved "-35" motif and the LOB. Combining the three top strand LOB mutations with mutations near the TSS, however, was particularly effective at preventing release, and this effect could be further enhanced by inclusion of the upstream mutations. Overexpressing R9-33 and a series of milder release-defective mutants in Escherichia coli resulted in a delayed entry into exponential phase together with a decrease in cell survival that correlated well with the severity of the in vitro phenotypes. The complex crosstalk observed between distinct regions of the 6S RNA supports a scrunching type model of 6S RNA release, where at least three regions of the 6S RNA must interact with Eσ(70) in a cooperative manner so as to ensure effective pRNA-dependent release.

摘要

6S RNA 是一种非编码 RNA,它在低营养条件下通过将 RNA 聚合酶全酶(Eσ(70))隔离来抑制细菌转录。在这种转录阻断的情况下,可以通过使用 6S RNA 作为模板合成短产物 RNA (pRNA) 来缓解。在这里,我们从高多样性的体外池中选择了一系列 6S RNA 释放缺陷突变体。研究释放缺陷变体 R9-33 揭示了 6S RNA 三个区域之间的复杂相互作用。正如预期的那样,突变转录起始位点 (TSS) 会减缓并部分抑制释放。令人惊讶的是,在 TSS 附近发现了额外的突变,这些突变挽救了这种效应。同样,在大开放泡 (LOB) 的顶部链上的三个突变可以大大减缓释放,但通过添加在高度保守的“-35”基序和 LOB 之间发现的上游突变来挽救。然而,将三个顶部链 LOB 突变与 TSS 附近的突变结合使用,可以特别有效地阻止释放,并且通过包含上游突变可以进一步增强这种效果。在大肠杆菌中过度表达 R9-33 和一系列较温和的释放缺陷突变体,会导致进入指数期的时间延迟,同时细胞存活率下降,这与体外表型的严重程度密切相关。在 6S RNA 的不同区域之间观察到的复杂串扰支持 6S RNA 释放的卷曲模型,其中 6S RNA 的至少三个区域必须以协同方式与 Eσ(70) 相互作用,以确保有效的 pRNA 依赖性释放。

https://cdn.ncbi.nlm.nih.gov/pmc/blobs/c12d/3988568/9c08b94f88f3/670f01.jpg

文献AI研究员

20分钟写一篇综述,助力文献阅读效率提升50倍。

立即体验

用中文搜PubMed

大模型驱动的PubMed中文搜索引擎

马上搜索

文档翻译

学术文献翻译模型,支持多种主流文档格式。

立即体验