Suppr超能文献

新型高透明度氧化锆在美学区的应用。

The use of newer high translucency zirconia in aesthetic zone.

作者信息

Dangra Zishan, Gandhewar Mahesh

机构信息

Private Practice, Mumbai 400703, India.

Department of Prosthodontics, ACPM Dental College, Dhule 424001, India.

出版信息

Case Rep Dent. 2014;2014:432714. doi: 10.1155/2014/432714. Epub 2014 Mar 4.

Abstract

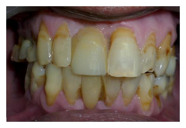
Loss of anterior tooth causes aesthetic and functional disharmony. Although no restorative material can approach the appearance of intact tooth enamel, glass ceramic, at the increased risk of brittle fracture, can mimic original tooth color better than the other restorative options. The newest zirconia material comes with unparalleled individualization in aesthetics and optimal physical properties. One of the basic principles of tooth preparation is conservation of tooth structure. This clinical report describes the replacement of maxillary and mandibular incisor with latest generation zirconia adhesive fixed partial denture. The authors have achieved unmatched aesthetics with newer high translucency zirconia.

摘要

前牙缺失会导致美观和功能不协调。尽管没有任何修复材料能达到完整牙釉质的外观,但玻璃陶瓷虽有脆性骨折风险增加的问题,却比其他修复选择能更好地模仿原始牙齿颜色。最新的氧化锆材料在美学方面具有无与伦比的个性化特点和最佳物理性能。牙体预备的基本原则之一是保留牙体组织。本临床报告描述了用最新一代氧化锆粘结固定局部义齿替换上颌和下颌切牙的情况。作者使用新型高透明度氧化锆实现了无与伦比的美观效果。

https://cdn.ncbi.nlm.nih.gov/pmc/blobs/ffad/3970083/fee11008c8f3/CRID2014-432714.001.jpg

文献AI研究员

20分钟写一篇综述,助力文献阅读效率提升50倍。

立即体验

用中文搜PubMed

大模型驱动的PubMed中文搜索引擎

马上搜索

文档翻译

学术文献翻译模型,支持多种主流文档格式。

立即体验