Suppr超能文献

Entrapped Catheter across the Fossa Ovalis in an Adult with Pulmonary Stenosis - A Case Report of Surgical Relief.

作者信息

Betigeri Vithalkumar Malleshi, Gopinathan Girish, Malik Indira, Sanwal Manoj Kumar, Datt Vishnu, Satsangi Deepak Kumar

机构信息

Department of Cardiovascular and Thoracic Surgery, GB Pant Hospital, New Delhi, India.

Department of Anesthesia, GB Pant Hospital, New Delhi, India.

出版信息

Int Cardiovasc Res J. 2014 Jan;8(1):30-2. Epub 2014 Jan 1.

Abstract

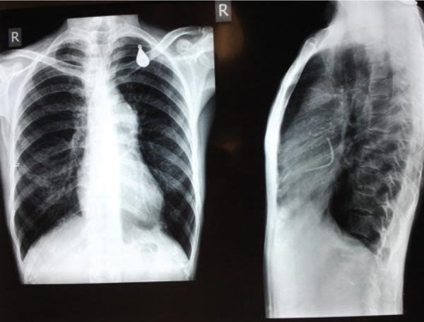
Percutaneous pulmonary balloon valvuloplasty as a procedure of choice in adults has been established since the last three decades. Even though the complications are rare, they are scarcely reported in the literature. We report such a case in an adult female patient of severe pulmonary valular stenosis in whom, entrapped catheter across the fossa ovalis was noted in chest x-ray and echocardiogram following unsuccessful percutaneous pulmonary balloon valvuloplasty. Our case emphasizes this rare complication and its successful surgical outcome.

摘要
https://cdn.ncbi.nlm.nih.gov/pmc/blobs/0a4a/3987453/017be5b0e4ae/icrj-08-30-g001.jpg

文献AI研究员

20分钟写一篇综述,助力文献阅读效率提升50倍。

立即体验

用中文搜PubMed

大模型驱动的PubMed中文搜索引擎

马上搜索

文档翻译

学术文献翻译模型,支持多种主流文档格式。

立即体验