Wan Kai Rui, King Nicolas K K, Low Sharon Y Y, Sitoh Yih-Yian, Lee Hwei Yee, Wong Chin Fong, Ng Wai Hoe
Department of Neurosurgery, National Neuroscience Institute, Singapore.
Department of Neuroradiology, National Neuroscience Institute, Singapore.
Surg Neurol Int. 2014 Mar 4;5:31. doi: 10.4103/2152-7806.128182. eCollection 2014.
Glioblastomas (GBM) are highly infiltrative, cellular and mitotically active tumors with large histologic variations within and between tumours. Several subtypes have been described including the GBM with oligodendroglial differentiation (GBM-O) and primitive neuroectodermal tumour components (GBM-PNET). We report the first described case of a patient with synchronous multi-centric GBM-O and GBM-PNET components.
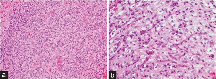
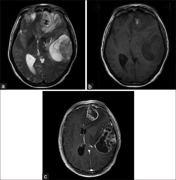
A patient, who presented with a short history of progressive headache and difficulty with memory recall, was found on MRI imaging to have two intracranial lesions. These showed heterogeneous enhancement and were found in the left frontal and left temporal regions. The patient underwent gross total resection of these two lesions which were found to show GBM-O and GBM-PNET differentiations.
Although tumour cell migration in the context of GBM is a well-recognized phenomenon, the traditional hypothesis is not able to satisfactorily explain this case of multicentric GBM whereby the two lesions demonstrate different cell origins. More current understanding of the migratory pathways from the subventricular zone provide an alternate and plausible pathway that fits our patient's unusual diagnosis.
胶质母细胞瘤(GBM)是具有高度浸润性、细胞性且有丝分裂活跃的肿瘤,肿瘤内部及肿瘤之间存在较大的组织学差异。已描述了几种亚型,包括具有少突胶质细胞分化的GBM(GBM-O)和原始神经外胚层肿瘤成分(GBM-PNET)。我们报告了首例同步多中心GBM-O和GBM-PNET成分的患者病例。
一名患者,有进行性头痛和记忆回忆困难的短病史,MRI成像发现有两个颅内病变。这些病变表现为不均匀强化,位于左侧额叶和左侧颞叶区域。患者接受了这两个病变的全切除,发现病变显示GBM-O和GBM-PNET分化。
尽管在GBM背景下肿瘤细胞迁移是一个公认的现象,但传统假设无法令人满意地解释这个多中心GBM病例,即两个病变显示出不同的细胞起源。目前对来自脑室下区迁移途径的更多理解提供了一条符合我们患者不寻常诊断的替代且合理的途径。