Suppr超能文献

A Case of Gingival Metastasis from Rectal Cancer in Which Immunohistochemistry and PET-CT Were Useful for the Diagnostic Procedure.

作者信息

Yamauchi Masami, Shinozaki Katsunori, Doi Mihoko, Nitta Tomoko, Nishisaka Takashi

机构信息

Division of Clinical Oncology, Hiroshima Prefectural Hospital, Hiroshima, Japan.

Division of Pathology, Hiroshima Prefectural Hospital, Hiroshima, Japan.

出版信息

Case Rep Oncol. 2014 Mar 29;7(1):246-51. doi: 10.1159/000362185. eCollection 2014 Jan.

Abstract

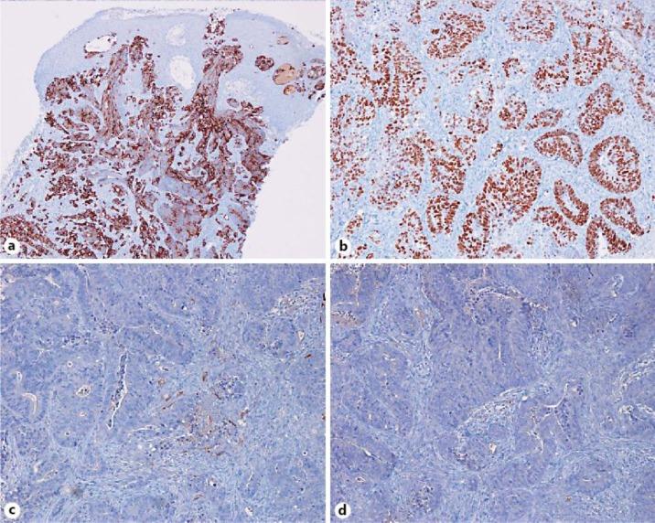
A 50-year-old man was referred to our hospital because of a 2-month history of painful gingival swelling. Histopathological examination of the biopsy specimen showed a metastatic adenocarcinoma, and a chest-abdominopelvic CT showed multiple metastases in the lung, liver, and spleen, but failed to demonstrate the primary tumor. He had never complained of abdominal symptoms, and physical examination did not show any abnormality in the abdomen. However, immunohistochemical staining including caudal-related homeobox transcription factor (CDX-2) of the gingival tumor and PET-CT findings strongly suggested colorectal cancer as the origin. Colonoscopy then revealed a tumor in the rectum, and systemic chemotherapy was started immediately.

摘要
https://cdn.ncbi.nlm.nih.gov/pmc/blobs/f10b/3999573/8b38f01d24ba/cro-0007-0246-g01.jpg

文献AI研究员

20分钟写一篇综述,助力文献阅读效率提升50倍。

立即体验

用中文搜PubMed

大模型驱动的PubMed中文搜索引擎

马上搜索

文档翻译

学术文献翻译模型,支持多种主流文档格式。

立即体验