Suppr超能文献

通过心电图门控多层计算机断层扫描诊断出的心脏内脂肪灶:频率与形态

Fatty foci within the heart diagnosed with ECG-gated multi-slice computed tomography: frequency and morphology.

作者信息

Tomaszewska Monika, Czekajska-Chehab Elzbieta, Olchowik Grażyna, Tomaszewski Marek, Drop Andrzej

机构信息

1st Department of Radiology, Medical University of Lublin, Lublin, Poland.

Department of Biophysics, Medical University of Lublin, Lublin, Poland.

出版信息

Med Sci Monit. 2014 May 21;20:833-42. doi: 10.12659/MSM.890271.

Abstract

BACKGROUND

The purpose of our study was to analyze the frequency of focal fatty replacement (FR) of the heart, as well as the distribution and detailed morphology of FR in a large group of patients referred to multi-slice computed tomography with ECG-gating examinations (ECG-MSCT) for various clinical reasons.

MATERIAL AND METHODS

The ECG-MSCT examinations of 1830 consecutive patients were analyzed. The examinations were performed using 8-row (1015 patients) and 64-row (815 patients) MSCT, in pre- and post-contrast scanning. We analyzed the morphology of FR, the dimensions and densities of changes, as well as the morphology and localization of FR with regard to clinical diagnosis.

RESULTS

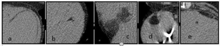
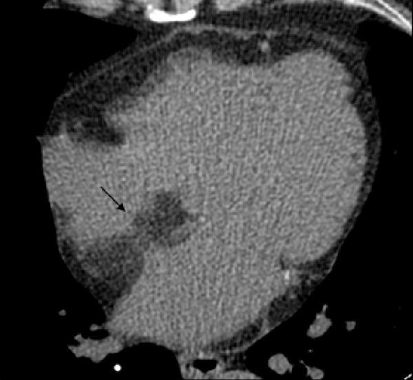
204 subjects (11.1%) had FR within the heart (113 men; 91 women; mean age 57.8 years); 66% of fatty foci were seen only in the native scanning. The distribution of the fat was: right ventricle (RV) 31.9%, left ventricle (LV) 21.5%, biventricular 39.7%, interventricular or atrial septum 5.9%, and atria 1%. In the RV, fat was localized mainly in the papillary muscles, while in the LV fat was mainly subendocardial (p<0.001). The morphology of the fat was: linear 61.6%, oval 14.8%, punctuate 10.6%, irregular 10.2%, and bilobular 2.8%. Fat was primarily located subendocardially in the LV in patients after myocardial infarction. In patients with suspected coronary artery disease, it was mainly observed subpericardially in the RV and in papillary muscles (p<0.001).

CONCLUSIONS

The incidental frequency of FR within the heart in patients diagnosed with the ECG-MSCT examinations is about 11%. Pre-contrast scanning is the most valuable for FR assessment.

摘要

背景

我们研究的目的是分析心脏局灶性脂肪替代(FR)的发生率,以及在因各种临床原因接受心电图门控多层螺旋CT检查(ECG-MSCT)的一大组患者中,FR的分布和详细形态。

材料与方法

分析了1830例连续患者的ECG-MSCT检查结果。检查使用8排(1015例患者)和64排(815例患者)MSCT进行,包括造影前和造影后扫描。我们分析了FR的形态、病变的大小和密度,以及与临床诊断相关的FR的形态和定位。

结果

204例受试者(11.1%)心脏内存在FR(男性113例;女性91例;平均年龄57.8岁);66%的脂肪灶仅在平扫时可见。脂肪分布情况为:右心室(RV)31.9%,左心室(LV)21.5%,双心室39.7%,室间隔或房间隔5.9%,心房1%。在右心室,脂肪主要位于乳头肌,而在左心室,脂肪主要位于心内膜下(p<0.001)。脂肪形态为:线状61.6%,椭圆形14.8%,点状10.6%,不规则形10.2%,双叶形2.8%。心肌梗死后患者的脂肪主要位于左心室心内膜下。在疑似冠心病患者中,主要在右心室的心包下和乳头肌中观察到脂肪(p<0.001)。

结论

经ECG-MSCT检查诊断的患者中,心脏内FR的偶然发生率约为11%。平扫对FR评估最有价值。

https://cdn.ncbi.nlm.nih.gov/pmc/blobs/ec23/4043540/7d51a34bee97/medscimonit-20-833-g001.jpg

相似文献

4
The applications of non-ECG-gated MSCT angiography in children with congenital heart disease.
Int J Cardiol. 2012 May 3;156(3):309-14. doi: 10.1016/j.ijcard.2010.11.009. Epub 2010 Dec 15.
6
Right ventricular fat infiltration in asymptomatic subjects: observations from ECG-gated 16-slice multidetector CT.
J Comput Assist Tomogr. 2007 Jan-Feb;31(1):22-8. doi: 10.1097/01.rct.0000236416.05267.6c.
8
Preablation assessment for the left atrium: comparison of ECG-gated cardiac CT with echocardiography.
Acad Radiol. 2008 Jul;15(7):835-43. doi: 10.1016/j.acra.2008.01.019.

引用本文的文献

1
Society for Cardiovascular Magnetic Resonance 2020 Case of the Week series.
J Cardiovasc Magn Reson. 2021 Oct 11;23(1):108. doi: 10.1186/s12968-021-00799-0.

本文引用的文献

3
Fatty foci in the myocardium in patients with tuberous sclerosis complex: common finding at CT.
Radiology. 2009 Nov;253(2):359-63. doi: 10.1148/radiol.2533082118. Epub 2009 Aug 25.
5
Multidetector computed tomography shows intramyocardial fat deposition.
J Cardiovasc Comput Tomogr. 2008 May-Jun;2(3):152-63. doi: 10.1016/j.jcct.2008.01.004. Epub 2008 Jan 31.
6
Evolving role of multidetector computed tomography in evaluation of arrhythmogenic right ventricular dysplasia/cardiomyopathy.
Am J Cardiol. 2007 Jul 1;100(1):99-105. doi: 10.1016/j.amjcard.2007.02.064. Epub 2007 May 21.
7
Ventricular myocardial fat: CT findings and clinical correlates.
J Thorac Imaging. 2007 May;22(2):130-5. doi: 10.1097/01.rti.0000213576.39774.68.
8
Right ventricular fat infiltration in asymptomatic subjects: observations from ECG-gated 16-slice multidetector CT.
J Comput Assist Tomogr. 2007 Jan-Feb;31(1):22-8. doi: 10.1097/01.rct.0000236416.05267.6c.
10
Fatty lesions of the atria and interatrial septum.
Hum Pathol. 2006 Oct;37(10):1245-51. doi: 10.1016/j.humpath.2006.04.028. Epub 2006 Jul 26.

文献AI研究员

20分钟写一篇综述,助力文献阅读效率提升50倍。

立即体验

用中文搜PubMed

大模型驱动的PubMed中文搜索引擎

马上搜索

文档翻译

学术文献翻译模型,支持多种主流文档格式。

立即体验