Suppr超能文献

宽颈肾动脉动脉瘤:新型装置的保留实质脏器的血管内治疗。

Wide-neck renal artery aneurysm: parenchymal sparing endovascular treatment with a new device.

机构信息

Department of Radiology Interventional Radiology Unit, Ospedale Sant'Andrea, University "La Sapienza", Via di Grottarossa 1035/1039 00189, Rome, Italy.

出版信息

BMC Urol. 2014 May 28;14:42. doi: 10.1186/1471-2490-14-42.

Abstract

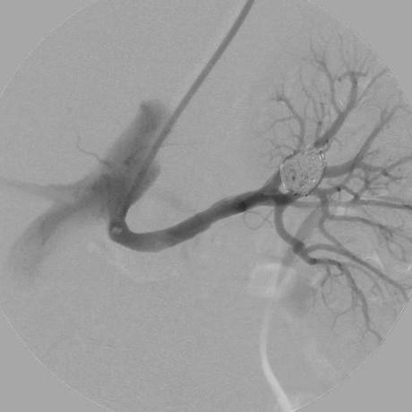
BACKGROUND

Renal artery aneurysm is a rare disorder with a high mortality rate in the event of rupture, the most frequent complication, which can also occur in lesions smaller than those indicated for treatment by current criteria. Surgery is still the first-line treatment, although a growing trend toward endovascular management of visceral artery aneurysms has emerged because of the high efficacy and low invasiveness that has been demonstrated by several authors. Treatment of wide-necked aneurysms and, depending on location, those at renal artery bifurcations or distal branches is more complex and may require invasive surgical techniques, such as bench surgery.

CASE PRESENTATION

We describe the successful use of a new neurointerventional coil to treat an enlarging wide-necked segmental-branch renal aneurysm in an elderly woman who was not a candidate for surgery because of several comorbidities.

CONCLUSIONS

The technique described allowed safe, successful treatment of a wide-necked aneurysm in an unfavorable vascular territory, reducing the risk of downstream artery embolization and consequent parenchymal damage and decreased renal function. In similar cases, other endovascular devices have often proven to be ineffective at nephron sparing. To validate the safety and efficacy of this system, more cases treated in this manner should be studied.

摘要

背景

肾动脉动脉瘤是一种罕见的疾病,破裂时死亡率很高,这是最常见的并发症,即使在目前的治疗标准下认为小于病变的情况下也可能发生。手术仍然是一线治疗方法,尽管由于几位作者证明的高疗效和低侵袭性,内脏动脉动脉瘤的血管内治疗呈增长趋势。宽颈动脉瘤的治疗,以及根据位置的不同,在肾动脉分叉处或远端分支处的治疗更加复杂,可能需要侵入性手术技术,如手术台手术。

病例介绍

我们描述了一种新的神经介入线圈在一位因多种合并症而不适合手术的老年女性中成功治疗不断增大的宽颈节段分支肾动脉瘤的应用。

结论

所描述的技术允许在不利的血管区域安全、成功地治疗宽颈动脉瘤,降低下游动脉栓塞和随后的实质损伤以及肾功能下降的风险。在类似的情况下,其他血管内装置往往被证明对保留肾单位无效。为了验证该系统的安全性和有效性,应该研究更多以这种方式治疗的病例。

https://cdn.ncbi.nlm.nih.gov/pmc/blobs/3999/4070645/0ecc3240ff4d/1471-2490-14-42-1.jpg

文献AI研究员

20分钟写一篇综述,助力文献阅读效率提升50倍。

立即体验

用中文搜PubMed

大模型驱动的PubMed中文搜索引擎

马上搜索

文档翻译

学术文献翻译模型,支持多种主流文档格式。

立即体验