Suppr超能文献

Fistula after pyloroplasty - A novel approach to the management of a leak following oesophagectomy.

作者信息

Richardson J, Richardson M, Nijjar R

机构信息

Birmingham Heartlands Hospital, Birmingham, UK.

出版信息

J Surg Case Rep. 2012 Feb 1;2012(2):9. doi: 10.1093/jscr/2012.2.9.

Abstract

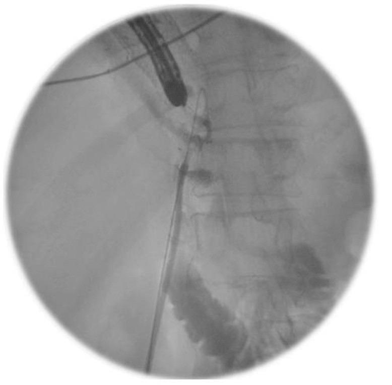
Management of upper gastrointestinal anastomotic leaks is an inter-disciplinary challenge. We present a case of late pyloroplasty leak following 3-stage oesophagectomy. We describe a novel, combined endoscopic and fluroscopic procedure to introduce a T-tube into the anastomotic leak proving an ideal plug at the site of leak which enabled the patient to consume a normal diet and return home safely.

摘要
https://cdn.ncbi.nlm.nih.gov/pmc/blobs/eb8c/3649494/89688432b657/jscr-2012-2-9fig1.jpg

相似文献

1
Fistula after pyloroplasty - A novel approach to the management of a leak following oesophagectomy.
J Surg Case Rep. 2012 Feb 1;2012(2):9. doi: 10.1093/jscr/2012.2.9.
2
Management of anastomotic leakage-induced tracheobronchial fistula following oesophagectomy: the role of endoscopic stent insertion.
Eur J Cardiothorac Surg. 2012 May;41(5):e74-80. doi: 10.1093/ejcts/ezr328. Epub 2012 Feb 26.
3
A novel management of post-oesophagectomy gastro-pleural fistula.
J Gastrointest Oncol. 2016 Dec;7(6):E93-E97. doi: 10.21037/jgo.2016.09.12.
4
The Role of Endoscopic Stent in Management of Postesophagectomy Leaks.
Am Surg. 2020 Oct;86(10):1411-1417. doi: 10.1177/0003134820964495. Epub 2020 Oct 19.
6
Efficacy of endoscopic management of leak after foregut surgery with endoscopic covered self-expanding metal stents (SEMS).
Surg Endosc. 2017 Feb;31(2):612-617. doi: 10.1007/s00464-016-5005-8. Epub 2016 Jun 17.
7
Gastro-Colic Fistula After Sleeve Gastrectomy Leak: Our Experience with this Rare Complication.
Obes Surg. 2019 Nov;29(11):3771-3772. doi: 10.1007/s11695-019-04086-x.
8
Diagnosis and management of a mediastinal leak following radical oesophagectomy.
Br J Surg. 2001 Oct;88(10):1346-51. doi: 10.1046/j.0007-1323.2001.01918.x.
9
Successful closure of gastrocutaneous fistulas using the Surgisis(®) anal fistula plug.
Ann R Coll Surg Engl. 2014 May;96(4):271-4. doi: 10.1308/003588414X13814021677755.
10
Endoscopic Management of Esophageal Anastomotic Leaks After Surgery for Malignant Disease.
Ann Thorac Surg. 2016 Jan;101(1):301-4. doi: 10.1016/j.athoracsur.2015.06.072. Epub 2015 Sep 28.

引用本文的文献

本文引用的文献

1
Treatment of upper gastrointestinal leaks with a removable, covered, self-expanding metallic stent.
Surg Laparosc Endosc Percutan Tech. 2009 Feb;19(1):e1-4. doi: 10.1097/SLE.0b013e318196c706.
2
Endoscopic vacuum-assisted closure of upper intestinal anastomotic leaks.
Gastrointest Endosc. 2008 Apr;67(4):708-11. doi: 10.1016/j.gie.2007.10.064.
4
Gastric substitution for resectable carcinoma of the esophagus: an analysis of 368 cases.
Ann Thorac Surg. 1992 Feb;53(2):289-94. doi: 10.1016/0003-4975(92)91335-7.

文献AI研究员

20分钟写一篇综述,助力文献阅读效率提升50倍。

立即体验

用中文搜PubMed

大模型驱动的PubMed中文搜索引擎

马上搜索

文档翻译

学术文献翻译模型,支持多种主流文档格式。

立即体验