Suppr超能文献

肺鳞状细胞癌的下颌骨转移

Mandibular metastasis from a pulmonary squamous cell carcinoma.

作者信息

Dhupar Vikas, Akkara Francis, Kamat Rahul D, Shetye Omkar

机构信息

Department of Oral and Maxillofacial Surgery, Goa Dental College and Hospital, Bambolim, Goa, India.

出版信息

Ann Maxillofac Surg. 2014 Jan;4(1):103-6. doi: 10.4103/2231-0746.133086.

Abstract

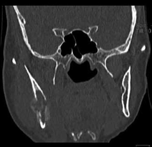
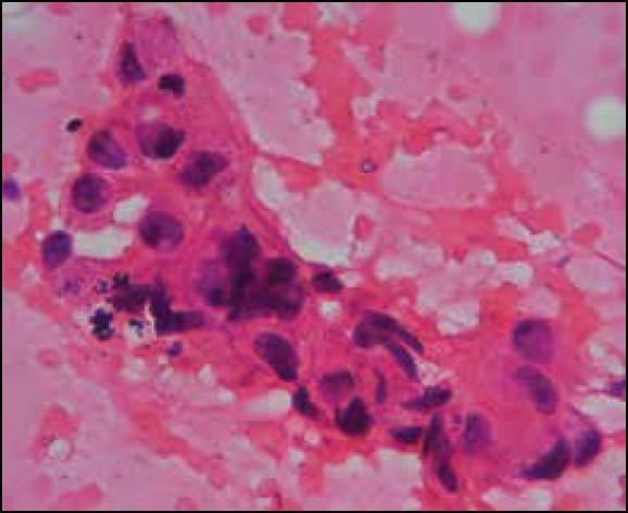
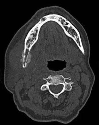
Metastatic tumors to the jaws and oral tissues are rarely encountered, accounting for less than 1% of all malignant tumors affecting the mouth. Although, metastasis to the mandible from a pulmonary carcinoma is extremely rare, when it does occur it mimics more common pathoses such as odontogenic cysts, osteomyelitis, space infections making its diagnosis even more challenging. Metastasis should be taken into account especially in patients with chronic history of smoking and sudden onset of paresthesia. The rarity of such cases has also resulted in there being no definitive consensus on managing them.

摘要

转移至颌骨和口腔组织的肿瘤很少见,占所有口腔恶性肿瘤的比例不到1%。虽然肺癌转移至下颌骨极为罕见,但一旦发生,它会模仿更常见的病症,如牙源性囊肿、骨髓炎、间隙感染,这使得其诊断更具挑战性。特别是对于有长期吸烟史且突然出现感觉异常的患者,应考虑转移的可能性。此类病例的罕见性也导致在治疗方法上没有明确的共识。

https://cdn.ncbi.nlm.nih.gov/pmc/blobs/0306/4073450/dfc13cb0af63/AMS-4-103-g001.jpg

文献AI研究员

20分钟写一篇综述,助力文献阅读效率提升50倍。

立即体验

用中文搜PubMed

大模型驱动的PubMed中文搜索引擎

马上搜索

文档翻译

学术文献翻译模型,支持多种主流文档格式。

立即体验