Suppr超能文献

复方中药“康复灵”可预防高功率微波所致的心肌损伤。

The compound Chinese medicine "Kang Fu Ling" protects against high power microwave-induced myocardial injury.

作者信息

Zhang Xueyan, Gao Yabing, Dong Ji, Wang Shuiming, Yao Binwei, Zhang Jing, Hu Shaohua, Xu Xinping, Zuo Hongyan, Wang Lifeng, Zhou Hongmei, Zhao Li, Peng Ruiyun

机构信息

Department of Experimental Pathology, Beijing Institute of Radiation Medicine, Beijing, People's Republic of China; Department of Pharmacy, 66400 People's Liberation Army Hospital, Beijing, People's Republic of China.

Department of Experimental Pathology, Beijing Institute of Radiation Medicine, Beijing, People's Republic of China.

出版信息

PLoS One. 2014 Jul 3;9(7):e101532. doi: 10.1371/journal.pone.0101532. eCollection 2014.

Abstract

BACKGROUND

The prevention and treatment of Microwave-caused cardiovascular injury remains elusive. This study investigated the cardiovascular protective effects of compound Chinese medicine "Kang Fu Ling" (KFL) against high power microwave (HPM)-induced myocardial injury and the role of the mitochondrial permeability transition pore (mPTP) opening in KFL protection.

METHODS

Male Wistar rats (100) were divided into 5 equal groups: no treatment, radiation only, or radiation followed by treatment with KFL at 0.75, 1.5, or 3 g/kg/day. Electrocardiography was used to Electrophysiological examination. Histological and ultrastructural changes in heart tissue and isolated mitochondria were observed by light microscope and electron microscopy. mPTP opening and mitochondrial membrane potential were detected by confocal laser scanning microscopy and fluorescence analysis. Connexin-43 (Cx-43) and endothelial nitric oxide synthase (eNOS) were detected by immunohistochemistry. The expression of voltage-dependent anion channel (VDAC) was detected by western blotting.

RESULTS

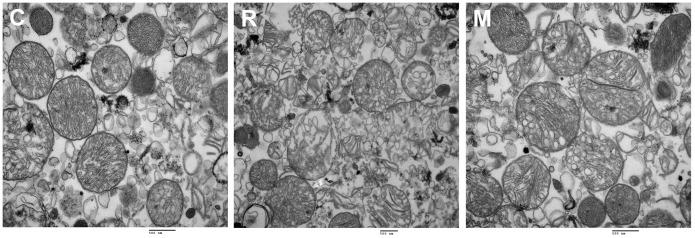
At 7 days after radiation, rats without KFL treatment showed a significantly lower heart rate (P<0.01) than untreated controls and a J point shift. Myocyte swelling and rearrangement were evident. Mitochondria exhibited rupture, and decreased fluorescence intensity, suggesting opening of mPTP and a consequent reduction in mitochondrial membrane potential. After treatment with 1.5 g/kg/day KFL for 7 d, the heart rate increased significantly (P<0.01), and the J point shift was reduced flavorfully (P<0.05) compared to untreated, irradiated rats; myocytes and mitochondria were of normal morphology. The fluorescence intensities of dye-treated mitochondria were also increased, suggesting inhibition of mPTP opening and preservation of the mitochondrial membrane potential. The microwave-induced decrease of Cx-43 and VDAC protein expression was significantly reversed.

CONCLUSION

Microwave radiation can cause electrophysiological, histological and ultrastructural changes in the heart. KFL at 1.5 g/kg/day had the greatest protective effect on these cardiovascular events. mPTP plays an important role in the protective effects of KFL against microwave-radiation-induced myocardial injury.

摘要

背景

微波所致心血管损伤的防治仍不明确。本研究探讨复方中药“康复灵”(KFL)对高功率微波(HPM)所致心肌损伤的心血管保护作用以及线粒体通透性转换孔(mPTP)开放在KFL保护作用中的作用。

方法

将100只雄性Wistar大鼠分为5组,每组20只:未处理组、仅辐射组、辐射后分别给予0.75、1.5或3 g/kg/天KFL处理组。采用心电图进行电生理检查。通过光学显微镜和电子显微镜观察心脏组织和分离线粒体的组织学和超微结构变化。通过共聚焦激光扫描显微镜和荧光分析检测mPTP开放和线粒体膜电位。采用免疫组织化学法检测连接蛋白43(Cx-43)和内皮型一氧化氮合酶(eNOS)。采用蛋白质免疫印迹法检测电压依赖性阴离子通道(VDAC)的表达。

结果

辐射后7天,未用KFL处理的大鼠心率显著低于未处理对照组(P<0.01),出现J点移位。心肌细胞肿胀和排列紊乱明显。线粒体出现破裂,荧光强度降低,提示mPTP开放,继而线粒体膜电位降低。给予1.5 g/kg/天KFL处理7天后,与未处理的辐射大鼠相比,心率显著增加(P<0.01),J点移位明显减轻(P<0.05);心肌细胞和线粒体形态正常。经染料处理的线粒体荧光强度也增加,提示mPTP开放受到抑制,线粒体膜电位得以保留。微波诱导的Cx-43和VDAC蛋白表达降低得到显著逆转。

结论

微波辐射可引起心脏电生理、组织学和超微结构改变。1.5 g/kg/天的KFL对这些心血管事件具有最大的保护作用。mPTP在KFL对微波辐射所致心肌损伤的保护作用中起重要作用。

https://cdn.ncbi.nlm.nih.gov/pmc/blobs/b17e/4081591/a193ab384247/pone.0101532.g001.jpg

文献AI研究员

20分钟写一篇综述,助力文献阅读效率提升50倍。

立即体验

用中文搜PubMed

大模型驱动的PubMed中文搜索引擎

马上搜索

文档翻译

学术文献翻译模型,支持多种主流文档格式。

立即体验