Suppr超能文献

小儿急性白血病中的后部可逆性脑病综合征:病例系列及文献综述

Posterior reversible encephalopathy syndrome in pediatric acute leukemia: Case series and literature review.

作者信息

Appachu M Sandhya, Purohit Samit, Lakshmaiah K C, Kumari B S Aruna, Appaji L

机构信息

Department of Medical Oncology, Kidwai Memorial Institute of Oncology, Bangalore, India.

Department of Pediatric Oncology, Kidwai Memorial Institute of Oncology, Bangalore, India.

出版信息

Indian J Med Paediatr Oncol. 2014 Jan;35(1):79-82. doi: 10.4103/0971-5851.133727.

Abstract

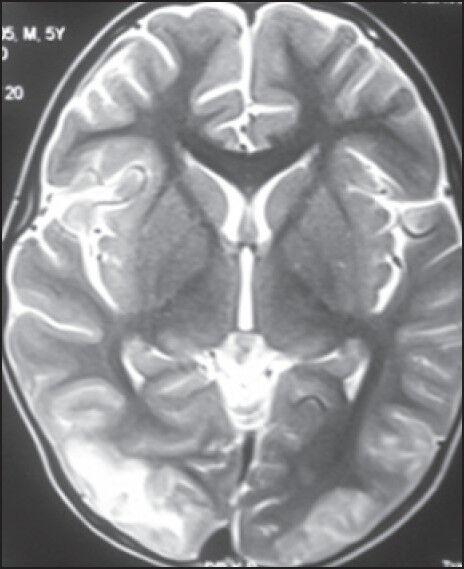
Posterior reversible encephalopathy syndrome (PRES) is a neurotoxic state coupled with a unique radio imaging appearance. We describe this rare, mostly reversible condition in five cases undergoing similar treatment under preset protocol (MCP-841) for acute lymphoblastic leukemia (ALL) at our centre. Hypertension is a well-known adverse effect of high-dose corticosteroid therapy primarily mediated by its effects on the mineralocorticoid receptor especially in pediatric population and we hypothesize that this may be the etiology of PRES in two of these patients.

摘要

后部可逆性脑病综合征(PRES)是一种伴有独特影像学表现的神经毒性状态。我们描述了在我们中心接受针对急性淋巴细胞白血病(ALL)的预设方案(MCP - 841)进行类似治疗的5例患者中出现的这种罕见且大多可逆的病症。高血压是高剂量糖皮质激素治疗的一种众所周知的不良反应,主要通过其对盐皮质激素受体的作用介导,尤其是在儿科人群中,我们推测这可能是其中2例患者发生PRES的病因。

https://cdn.ncbi.nlm.nih.gov/pmc/blobs/1280/4080669/58f3f19f30aa/IJMPO-35-79-g002.jpg

文献检索

告别复杂PubMed语法,用中文像聊天一样搜索,搜遍4000万医学文献。AI智能推荐,让科研检索更轻松。

立即免费搜索

文件翻译

保留排版,准确专业,支持PDF/Word/PPT等文件格式,支持 12+语言互译。

免费翻译文档

深度研究

AI帮你快速写综述,25分钟生成高质量综述,智能提取关键信息,辅助科研写作。

立即免费体验