• 文献检索
  • 文档翻译
  • 深度研究
  • 学术资讯
  • Suppr Zotero 插件Zotero 插件
  • 邀请有礼
  • 套餐&价格
  • 历史记录
应用&插件
Suppr Zotero 插件Zotero 插件浏览器插件Mac 客户端Windows 客户端微信小程序
定价
高级版会员购买积分包购买API积分包
服务
文献检索文档翻译深度研究API 文档MCP 服务
关于我们
关于 Suppr公司介绍联系我们用户协议隐私条款
关注我们

Suppr 超能文献

核心技术专利:CN118964589B侵权必究
粤ICP备2023148730 号-1Suppr @ 2026

文献检索

告别复杂PubMed语法,用中文像聊天一样搜索,搜遍4000万医学文献。AI智能推荐,让科研检索更轻松。

立即免费搜索

文件翻译

保留排版,准确专业,支持PDF/Word/PPT等文件格式,支持 12+语言互译。

免费翻译文档

深度研究

AI帮你快速写综述,25分钟生成高质量综述,智能提取关键信息,辅助科研写作。

立即免费体验

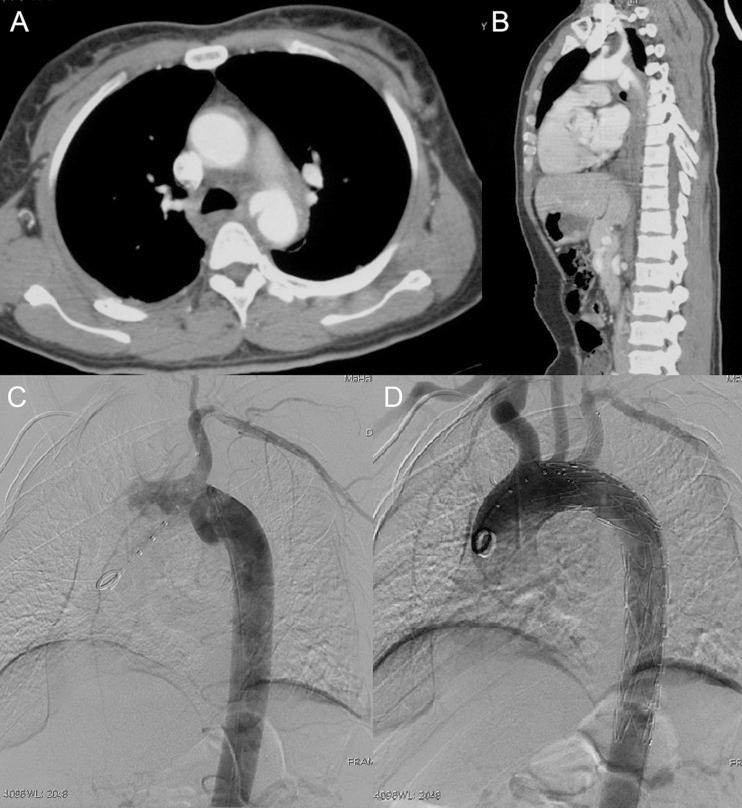
胸主动脉腔内修复术中保留左锁骨下动脉的烟囱技术。

The chimney technique for preserving the left subclavian artery in thoracic endovascular aortic repair.

作者信息

Xue Yuguo, Sun Lizhong, Zheng Jun, Huang Xiaoyong, Guo Xi, Li Tiezheng, Huang Lianjun

机构信息

Interventional Department, Beijing Anzhen Hospital, Capital Medical University, Beijing Institute of Heart, Lung and Blood Vascular Diseases, Beijing, China.

Department of Cardiovascular Surgery, Beijing Anzhen Hospital, Capital Medical University, Beijing Institute of Heart, Lung and Blood Vascular Diseases, Beijing, China.

出版信息

Eur J Cardiothorac Surg. 2015 Apr;47(4):623-9. doi: 10.1093/ejcts/ezu266. Epub 2014 Jul 9.

DOI:10.1093/ejcts/ezu266
PMID:25009212
原文链接:https://pmc.ncbi.nlm.nih.gov/articles/PMC4358408/
Abstract

OBJECTIVES

The objective of the present study was to evaluate short- and mid-term outcomes of the left subclavian artery (LSA) chimney stent implantation (LSACSI) during thoracic endovascular aortic repair (TEVAR), and to summarize our experience with this technique.

METHODS

From June 2010 to September 2012, 59 patients (49 men; mean age of 57.4 ± 13.3 years, range from 26 to 83 years) who underwent TEVAR and LSACSI were enrolled. Patients suffered from Stanford type B aortic dissection (n = 27), penetrating aortic ulcer (n = 18), aortic arch aneurysm (n = 9), pseudoaneurysm of the aortic arch (n = 4) and proximal type I endoleak after TEVAR of aortic dissection (n = 1). Elective settings were performed in 72% and emergent in 38% of all patients. Follow-up was performed at postoperative 3 months, 6 months and yearly thereafter.

RESULTS

The technical success rate was 98.3% (58/59), and 69 thoracic stent grafts were used. Sixty-two chimney stents, including 55 uncovered and 7 covered stents, were implanted in 59 LSAs. The overall immediate endoleak rate was 15.3% (9/59); type I endoleak was observed in 5 patients and type II in 4 patients. The difference in the immediate endoleak rate related to the anatomy between the outer and the inner curvature was statistically significant (35 vs 4%, P = 0.018). Chimney stent compression was observed in 3 patients and another stent was deployed inside the first one. Perioperative complications included stroke (3.4%, 2/59) and left upper limb ischaemia (1.7%, 1/59). The median follow-up period was 16.5 (range 1-39 months). The mortality rate during follow-up was 5.4% (3/56). Complications during follow-up included endoleak [overall, n = 8 (14.3%, 8/56); type I, n = 5; type II, n = 3], retrograde type A aortic dissection (n = 1), collapse (n = 3, 5.4%) or occlusion (n = 2, 3.6%) of the chimney stent.

CONCLUSIONS

Short- and mid-term results showed that it is feasible to preserve the patency of the LSA in TEVAR with the chimney technique for thoracic aortic pathologies close to the LSA. However, TEVAR combined with LSACSI was not advocated for lesions located at the outer curve of the aortic arch due to a high possibility of endoleak.

摘要

目的

本研究的目的是评估胸主动脉腔内修复术(TEVAR)期间左锁骨下动脉(LSA)烟囱式支架植入术(LSACSI)的短期和中期结果,并总结我们在该技术方面的经验。

方法

2010年6月至2012年9月,纳入59例行TEVAR和LSACSI的患者(49例男性;平均年龄57.4±13.3岁,范围26至83岁)。患者患有斯坦福B型主动脉夹层(n = 27)、穿透性主动脉溃疡(n = 18)、主动脉弓动脉瘤(n = 9)、主动脉弓假性动脉瘤(n = 4)以及主动脉夹层TEVAR术后近端I型内漏(n = 1)。所有患者中72%为择期手术,38%为急诊手术。术后3个月、6个月及此后每年进行随访。

结果

技术成功率为98.3%(58/59),共使用了69个胸主动脉覆膜支架。59条LSA植入了62个烟囱式支架,其中55个为裸支架,7个为覆膜支架。总体即刻内漏率为15.3%(9/59);5例患者观察到I型内漏,4例患者观察到II型内漏。与解剖结构相关的外曲和内曲即刻内漏率差异具有统计学意义(35%对4%,P = 0.018)。3例患者观察到烟囱式支架受压,随后在第一个支架内置入了另一个支架。围手术期并发症包括卒中(3.4%,2/59)和左上肢缺血(1.7%,1/59)。中位随访期为16.5个月(范围1至39个月)。随访期间死亡率为5.4%(3/56)。随访期间的并发症包括内漏[总体,n = 8(14.3%,8/56);I型,n = 5;II型,n = 3]、逆行性A型主动脉夹层(n = 1)、烟囱式支架塌陷(n = 3,5.4%)或闭塞(n = 2,3.6%)。

结论

短期和中期结果表明,对于靠近LSA 的胸主动脉病变,采用烟囱技术在TEVAR中保留LSA通畅是可行的。然而,由于内漏可能性高,不主张将TEVAR与LSACSI联合用于位于主动脉弓外曲的病变。

https://cdn.ncbi.nlm.nih.gov/pmc/blobs/7623/4358408/6b1adcf32000/ezu26602.jpg
https://cdn.ncbi.nlm.nih.gov/pmc/blobs/7623/4358408/c7804544cefa/ezu26601.jpg
https://cdn.ncbi.nlm.nih.gov/pmc/blobs/7623/4358408/6b1adcf32000/ezu26602.jpg
https://cdn.ncbi.nlm.nih.gov/pmc/blobs/7623/4358408/c7804544cefa/ezu26601.jpg
https://cdn.ncbi.nlm.nih.gov/pmc/blobs/7623/4358408/6b1adcf32000/ezu26602.jpg

相似文献

1
The chimney technique for preserving the left subclavian artery in thoracic endovascular aortic repair.胸主动脉腔内修复术中保留左锁骨下动脉的烟囱技术。
Eur J Cardiothorac Surg. 2015 Apr;47(4):623-9. doi: 10.1093/ejcts/ezu266. Epub 2014 Jul 9.
2
Thoracic Endovascular Aortic Repair With Single/Double Chimney Technique for Aortic Arch Pathologies.采用单/双烟囱技术的胸主动脉腔内修复术治疗主动脉弓病变
J Endovasc Ther. 2017 Jun;24(3):383-393. doi: 10.1177/1526602817698702. Epub 2017 Mar 21.
3
Chimney technique for aortic arch pathologies: an 11-year single-center experience.烟囱技术在主动脉弓病变中的应用:11 年单中心经验。
J Endovasc Ther. 2014 Apr;21(2):312-23. doi: 10.1583/13-4526MR.1.
4
In situ laser fenestration during emergent thoracic endovascular aortic repair is an effective method for left subclavian artery revascularization.在急诊性胸主动脉腔内修复术中进行原位激光开窗是一种有效的左锁骨下动脉血运重建方法。
J Vasc Surg. 2013 Nov;58(5):1171-7. doi: 10.1016/j.jvs.2013.04.045. Epub 2013 Jun 5.
5
Use of chimney grafts in aortic arch pathologies involving the supra-aortic branches.烟囱移植物在涉及主动脉弓上分支的主动脉弓病变中的应用。
J Endovasc Ther. 2011 Oct;18(5):650-5. doi: 10.1583/11-3504.1.
6
Fenestrated Thoracic Endovascular Aortic Repair Using Physician Modified Stent Grafts for Acute Type B Aortic Dissection with Unfavourable Landing Zone.开窗型胸主动脉腔内修复术治疗急性 B 型主动脉夹层伴不利锚定区
Eur J Vasc Endovasc Surg. 2018 Feb;55(2):170-176. doi: 10.1016/j.ejvs.2017.11.012. Epub 2017 Dec 12.
7
The single-centre experience of the supra-arch chimney technique in endovascular repair of type B aortic dissections.单一中心腔内修复 B 型主动脉夹层中烟囱技术的经验。
Eur J Vasc Endovasc Surg. 2013 Jun;45(6):633-8. doi: 10.1016/j.ejvs.2013.02.016. Epub 2013 Mar 27.
8
Handmade stent graft fenestration to preserve left subclavian artery in thoracic endovascular aortic repair†.手工支架开窗以保留胸主动脉腔内修复术中的左锁骨下动脉。
Eur J Cardiothorac Surg. 2019 Sep 1;56(3):587-594. doi: 10.1093/ejcts/ezz049.
9
Early and midterm outcomes of in situ fenestration via adjustable puncture needle for Ankura aortic stent graft: A single-center experience.经可调穿刺针原位开窗治疗 Ankura 主动脉覆膜支架的早期和中期结果:单中心经验。
Vascular. 2024 Oct;32(5):964-972. doi: 10.1177/17085381231192376. Epub 2023 Jul 26.
10
Thoracic endovascular aortic repair with the chimney graft technique.胸主动脉腔内修复术联合烟囱技术。
J Vasc Surg. 2013 Aug;58(2):502-11. doi: 10.1016/j.jvs.2013.03.043. Epub 2013 May 19.

引用本文的文献

1
Computational Fluid Dynamics-Driven Comparison of Endovascular Treatment Strategies for Penetrating Aortic Ulcer.基于计算流体动力学的穿透性主动脉溃疡血管内治疗策略比较
J Clin Med. 2025 Feb 15;14(4):1290. doi: 10.3390/jcm14041290.
2
Efficacy and safety of single-branched stent graft in the treatment of type B aortic dissection: a meta-analysis of cohort studies.单分支支架型人工血管治疗B型主动脉夹层的疗效与安全性:队列研究的Meta分析
J Cardiothorac Surg. 2025 Jan 11;20(1):60. doi: 10.1186/s13019-024-03339-w.
3
Clinical outcomes and aortic remodeling after Castor single-branched stent-graft implantation for type B aortic dissections involving left subclavian artery.

本文引用的文献

1
The chimney-graft technique for preserving supra-aortic branches: a review.烟囱式血管桥技术在保护主动脉分支中的应用:综述
Ann Cardiothorac Surg. 2013 May;2(3):339-46. doi: 10.3978/j.issn.2225-319X.2013.05.14.
2
Spinal cord ischemia after thoracic stent-grafting: causes apart from intercostal artery coverage.胸主动脉支架置入术后脊髓缺血:除肋间动脉覆盖外的其他原因。
Ann Thorac Surg. 2013 Jul;96(1):31-8. doi: 10.1016/j.athoracsur.2013.03.010. Epub 2013 May 11.
3
The single-centre experience of the supra-arch chimney technique in endovascular repair of type B aortic dissections.
Castor单分支支架型人工血管植入治疗累及左锁骨下动脉的B型主动脉夹层后的临床疗效及主动脉重塑
Front Cardiovasc Med. 2024 May 30;11:1370908. doi: 10.3389/fcvm.2024.1370908. eCollection 2024.
4
Treatment for Stanford type B aortic dissection with insufficient anchoring region using castor integrated branched aortic stent graft.使用蓖麻集成分支型主动脉覆膜支架治疗锚定区不足的Stanford B型主动脉夹层。
Front Cardiovasc Med. 2024 Mar 25;11:1351342. doi: 10.3389/fcvm.2024.1351342. eCollection 2024.
5
Preliminary Outcomes of Zone 2 Thoracic Endovascular Aortic Repair Using Castor Single-Branched Stent Grafts: A Single-Center Experience.使用Castor单分支支架型人工血管行胸主动脉腔内修复术治疗2区病变的初步结果:单中心经验
J Clin Med. 2023 Dec 9;12(24):7593. doi: 10.3390/jcm12247593.
6
Comparison of Chimney and Fenestrated Techniques for Supra-Aortic Branch Revascularization During Thoracic Endovascular Aortic Repair: A Systematic Review and Meta-Analysis.胸主动脉腔内修复术中烟囱和开窗技术在主动脉弓分支血运重建中的比较:系统评价和荟萃分析。
Cardiovasc Intervent Radiol. 2023 Oct;46(10):1315-1328. doi: 10.1007/s00270-023-03537-4. Epub 2023 Sep 8.
7
Homemade fenestration and chimney techniques for the left subclavian artery revascularization during zone 2 thoracic endovascular aortic repair.在2区胸段血管腔内主动脉修复术中,用于左锁骨下动脉血运重建的自制开窗和烟囱技术。
Front Cardiovasc Med. 2023 May 31;10:1144751. doi: 10.3389/fcvm.2023.1144751. eCollection 2023.
8
Efficacy of left subclavian artery revascularization strategies during thoracic endovascular aortic repair in patients with type B dissection: A single-center experience of 105 patients.B型主动脉夹层患者胸主动脉腔内修复术中左锁骨下动脉血运重建策略的疗效:105例患者的单中心经验
Front Cardiovasc Med. 2023 Apr 3;10:1084851. doi: 10.3389/fcvm.2023.1084851. eCollection 2023.
9
Endovascular aortic arch repair with chimney technique for pseudoaneurysm.血管内主动脉弓修复术联合烟囱技术治疗假性动脉瘤。
BMC Cardiovasc Disord. 2023 Feb 12;23(1):86. doi: 10.1186/s12872-023-03091-4.
10
Early and Mid-Term Outcomes of Open versus Endovascular Left Subclavian Artery Debranching for Thoracic Aortic Diseases.胸主动脉疾病开放与腔内左锁骨下动脉去分支术的早期和中期结果。
Ann Thorac Cardiovasc Surg. 2022 Jun 20;28(3):193-203. doi: 10.5761/atcs.oa.21-00206. Epub 2021 Dec 22.
单一中心腔内修复 B 型主动脉夹层中烟囱技术的经验。
Eur J Vasc Endovasc Surg. 2013 Jun;45(6):633-8. doi: 10.1016/j.ejvs.2013.02.016. Epub 2013 Mar 27.
4
Chimney grafts preserve visceral flow and allow safe stenting of juxtarenal aortic occlusion.烟囱移植术保留内脏血流,可安全地对肾动脉以上主动脉闭塞进行支架置入。
J Vasc Surg. 2013 Feb;57(2):399-405. doi: 10.1016/j.jvs.2012.08.108. Epub 2012 Dec 7.
5
Triple-barrel graft as a novel strategy to preserve supra-aortic branches in arch-TEVAR procedures: clinical study and systematic review.三腔人工血管在主动脉弓部腔内修复术中保留弓上分支的新策略:临床研究和系统评价。
Eur J Vasc Endovasc Surg. 2013 Jan;45(1):28-35. doi: 10.1016/j.ejvs.2012.09.023. Epub 2012 Nov 2.
6
Endovascular chimney technique of aortic arch pathologies: a systematic review.主动脉弓病变的血管腔内烟囱技术:一项系统评价
Ann Vasc Surg. 2012 Oct;26(7):1014-21. doi: 10.1016/j.avsg.2012.05.014.
7
Use of chimney grafts in aortic arch pathologies involving the supra-aortic branches.烟囱移植物在涉及主动脉弓上分支的主动脉弓病变中的应用。
J Endovasc Ther. 2011 Oct;18(5):650-5. doi: 10.1583/11-3504.1.
8
Early results of left carotid chimney technique in endovascular repair of acute non-a-non-B aortic dissections.急性非 A 型非 B 型主动脉夹层血管内修复中左颈动脉烟囱技术的早期结果。
J Endovasc Ther. 2011 Aug;18(4):477-84. doi: 10.1583/11-3401.1.
9
Endovascular aortic arch reconstruction using in situ stent-graft fenestration in the brachiocephalic artery.经肱动脉原位开窗支架置入术重建主动脉弓。
J Vasc Interv Radiol. 2011 Aug;22(8):1144-8. doi: 10.1016/j.jvir.2011.04.002.
10
Left subclavian artery coverage during thoracic endovascular aortic repair and risk of perioperative stroke or death.胸主动脉腔内修复术中左锁骨下动脉覆盖与围手术期卒中或死亡风险。
J Vasc Surg. 2011 Oct;54(4):979-84. doi: 10.1016/j.jvs.2011.03.270. Epub 2011 Jun 12.