Suppr超能文献

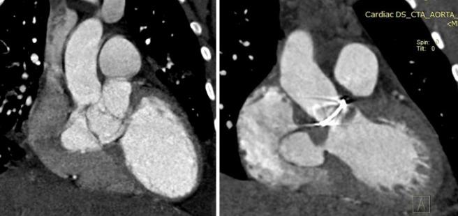
Aneurysm of the right sinus of Valsalva and the membranous septum: Haemodynamic and clinical characterization.

作者信息

Afifi Ahmed, AbdelSalam Sherine, ElGuindy Ahmed, Donya Mohamed

机构信息

Aswan Heart Centre, Aswan, Egypt.

出版信息

Glob Cardiol Sci Pract. 2014 Jan 29;2014(1):90-3. doi: 10.5339/gcsp.2014.14. eCollection 2014.

Abstract
摘要
https://cdn.ncbi.nlm.nih.gov/pmc/blobs/bc8f/4104383/1617318f1f99/gcsp-2014-090-g001.jpg

文献AI研究员

20分钟写一篇综述,助力文献阅读效率提升50倍。

立即体验

用中文搜PubMed

大模型驱动的PubMed中文搜索引擎

马上搜索

文档翻译

学术文献翻译模型,支持多种主流文档格式。

立即体验