Suppr超能文献

一种激活素A/骨形态发生蛋白2嵌合体AB215,通过诱导乳腺癌细胞中的ID蛋白来阻断雌激素信号传导。

An Activin A/BMP2 chimera, AB215, blocks estrogen signaling via induction of ID proteins in breast cancer cells.

作者信息

Jung Jae Woo, Shim Sun Young, Lee Dong Kun, Kwiatkowski Witek, Choe Senyon

机构信息

Joint Center for Biosciences, Songdo Global University Campus, 187 Songdo-dong, Incheon 406-840, Yeonsu-gu, Korea.

出版信息

BMC Cancer. 2014 Jul 29;14:549. doi: 10.1186/1471-2407-14-549.

Abstract

BACKGROUND

One in eight women will be affected by breast cancer in her lifetime. Approximately 75% of breast cancers express estrogen receptor alpha (ERα) and/or progesterone receptor and these receptors are markers for tumor dependence on estrogen. Anti-estrogenic drugs such as tamoxifen are commonly used to block estrogen-mediated signaling in breast cancer. However, many patients either do not respond to these therapies (de novo resistance) or develop resistance to them following prolonged treatment (acquired resistance). Therefore, it is imperative to continue efforts aimed at developing new efficient and safe methods of targeting ER activity in breast cancer.

METHODS

AB215 is a chimeric ligand assembled from sections of Activin A and BMP2. BMP2's and AB215's inhibition of breast cancer cells growth was investigated. In vitro luciferase and MTT proliferation assays together with western blot, RT_PCR, and mRNA knockdown methods were used to determine the mechanism of inhibition of estrogen positive breast cancer cells growth by BMP2 and AB215. Additionally in vivo xenograft tumor model was used to investigate anticancer properties of AB215.

RESULTS

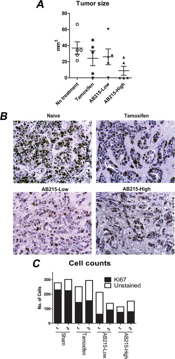
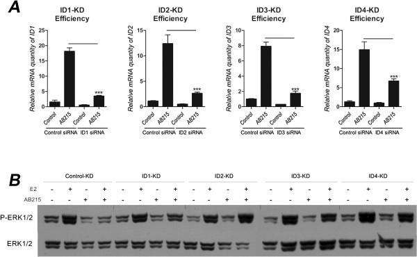
Here we report that AB215, a chimeric ligand assembled from sections of Activin A and BMP2 with BMP2-like signaling, possesses stronger anti-proliferative effects on ERα positive breast cancer cells than BMP2. We further show that AB215 inhibits estrogen signaling by inducing expression of inhibitor of DNA binding proteins (IDs). Specifically, we demonstrate that knockdown of ID proteins attenuates the anti-estrogen effects of AB215. Remarkably, we find that AB215 is more effective than tamoxifen in suppressing tumor growth in a xenograft model.

CONCLUSION

This study shows that IDs have profound role to inhibit estrogen signaling in ERα positive breast cancer cells, and that engineered TGF-beta ligands may have high therapeutic value.

摘要

背景

八分之一的女性在其一生中会受到乳腺癌的影响。大约75%的乳腺癌表达雌激素受体α(ERα)和/或孕激素受体,这些受体是肿瘤对雌激素依赖性的标志物。抗雌激素药物如他莫昔芬常用于阻断乳腺癌中雌激素介导的信号传导。然而,许多患者要么对这些疗法无反应(原发性耐药),要么在长期治疗后对其产生耐药性(获得性耐药)。因此,必须继续努力开发针对乳腺癌中ER活性的新型高效安全方法。

方法

AB215是一种由激活素A和骨形态发生蛋白2(BMP2)片段组装而成的嵌合配体。研究了BMP2和AB215对乳腺癌细胞生长的抑制作用。采用体外荧光素酶和MTT增殖试验以及蛋白质印迹、RT_PCR和mRNA敲低方法来确定BMP2和AB215抑制雌激素阳性乳腺癌细胞生长的机制。此外,使用体内异种移植肿瘤模型研究AB215的抗癌特性。

结果

我们在此报告,AB215是一种由激活素A和BMP2片段组装而成、具有类似BMP2信号传导的嵌合配体,对ERα阳性乳腺癌细胞具有比BMP2更强的抗增殖作用。我们进一步表明,AB215通过诱导DNA结合蛋白抑制剂(IDs)的表达来抑制雌激素信号传导。具体而言,我们证明敲低ID蛋白会减弱AB215的抗雌激素作用。值得注意的是,我们发现在异种移植模型中,AB215在抑制肿瘤生长方面比他莫昔芬更有效。

结论

本研究表明,IDs在抑制ERα阳性乳腺癌细胞中的雌激素信号传导方面具有重要作用,并且工程化的转化生长因子-β配体可能具有很高的治疗价值。

https://cdn.ncbi.nlm.nih.gov/pmc/blobs/1a85/4122783/d593be88e1bb/12885_2014_4723_Fig1_HTML.jpg

文献AI研究员

20分钟写一篇综述,助力文献阅读效率提升50倍。

立即体验

用中文搜PubMed

大模型驱动的PubMed中文搜索引擎

马上搜索

文档翻译

学术文献翻译模型,支持多种主流文档格式。

立即体验