Deshmukh Sanjay D, Khandeparkar Siddhi G Sinai, Gulati Harveen K, Naik Chetana S
Department of Pathology, Smt, Kashibai Navale Medical College & General Hospital, Narhe, Pune, Maharashtra, India.
J Med Case Rep. 2014 Aug 7;8:270. doi: 10.1186/1752-1947-8-270.
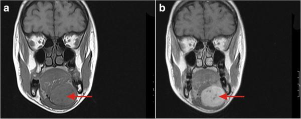
Ectopic thyroid tissue may appear in any location along the trajectory of the thyroglossal duct from the foramen cecum to the mediastinum. Rarely, there is incomplete descent of the gland where the final resting point may be high resulting in sublingual ectopic thyroid tissue. Ectopic thyroid tissue carries a low risk of malignancy. Most recently reported neoplasms in ectopic thyroid tissue have been papillary carcinoma of thyroid. Individual case reports of clear cell type of follicular adenoma within the ectopic thyroid tissue have been described in the literature.
We present a rare case of microfollicular follicular adenoma in an ectopic sublingual thyroid tissue presenting as submental swelling in a euthyroid 24-year-old Dravidian woman.
Findings in this case emphasize that when confronted with a submental/sublingual mass lesion, the evaluation of thyroid function tests and ultrasonography of the neck should be included in a pre-operative workup.
异位甲状腺组织可出现在从盲孔至纵隔的甲状舌管走行的任何位置。极少情况下,甲状腺腺体下降不完全,最终静止点位置较高,导致舌下异位甲状腺组织。异位甲状腺组织发生恶性肿瘤的风险较低。最近报道的异位甲状腺组织中的肿瘤多为甲状腺乳头状癌。文献中已有关于异位甲状腺组织内透明细胞型滤泡性腺瘤的个别病例报告。
我们报告了一例罕见的异位舌下甲状腺组织中的微滤泡性滤泡性腺瘤病例,该病例表现为一名甲状腺功能正常的24岁达罗毗荼族女性颏下肿胀。
该病例的发现强调,当面对颏下/舌下肿块病变时,术前检查应包括甲状腺功能检查和颈部超声检查。