Suppr超能文献

Nodal vascularity as an indicator of cervicofacial metastasis in oral cancer: A Doppler sonographic study.

作者信息

Aggarwal Ankur, Daniel M Jonathan, Singh Shyam, Patil Prashant, Hindustanwala Farah, Kaushik Shubhra Vikas

机构信息

Department of Oral Medicine and Radiology, Institute of Dental Studies and Technologies, Modinagar, Uttar Pradesh, India.

Mahatma Gandhi Postgraduate Institute of Dental Sciences, Puducherry, India.

出版信息

Niger Med J. 2014 Jul;55(4):299-305. doi: 10.4103/0300-1652.137189.

Abstract

BACKGROUND

The objective of this study was to assess nodal vascularity by Doppler sonography and to find out the correlation between clinical and various Doppler sonographic features for the detection of the metastatic nodes in oral cancer patients.

PATIENTS AND METHODS

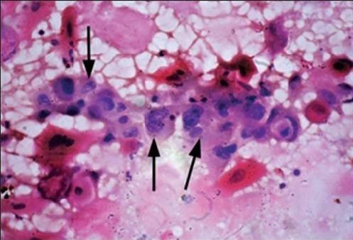
A total number of 55 patients of histopathologically proven oral cancer presenting with enlarged superficial cervicofacial lymph nodes were included in the study. Patients were subjected to clinical examination according to a specially designed proforma and the TNM staging was done. If more than one enlarged nodes were present, then the node with the largest diameter was chosen for further Doppler ultrasonographic examination followed by fine needle aspiration cytology test of the same node.

RESULTS

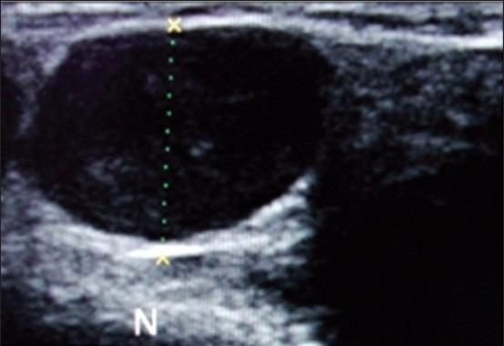
Correlations of patterns of color Doppler flow signals with cytological diagnosis showed that central type of vascular pattern was statistically significant parameter for benign lymph nodes and peripheral type of vascularity was highly significant parameter for malignant lymphadenopathy. It was found that the cut-off value of resistive index 0.6 was statistically significant in the assessment of metastatic node (P < 0.01) with a sensitivity of 45.5% and specificity of 93.9%. On comparison of the clinical features (TNM staging) with Doppler sonographic features, it was found that the characteristic features suggestive of malignant lymph nodes on Doppler sonography such as peripheral blood flow and high resistive index were more consistently and frequently associated with the higher sub-stages of T3 and T4 and N2b and N2c of TNM staging system.

CONCLUSION

Nodal vascularity may be used to differentiate benign from malignant lymphadenopathy. Proper judicious use of non-invasive color Doppler ultrasonographic examination provides an opportunity to eliminate the need for biopsy in reactive nodes and provide treatment in a more precise manner.

摘要
https://cdn.ncbi.nlm.nih.gov/pmc/blobs/176d/4124542/68d3f8d885aa/NMJ-55-299-g001.jpg

相似文献

3
Evaluation of the efficacy of colour Doppler ultrasound in diagnosis of cervical lymphadenopathy.
Dentomaxillofac Radiol. 2008 May;37(4):205-12. doi: 10.1259/dmfr/57023901.
4
Differential diagnosis of cervical lymphadenopathy: usefulness of color Doppler sonography.
AJR Am J Roentgenol. 1997 May;168(5):1311-6. doi: 10.2214/ajr.168.5.9129432.
5
Efficacy of colour Doppler ultrasound in diagnosis of cervical lymphadenopathy.
J Maxillofac Oral Surg. 2013 Jun;12(2):123-9. doi: 10.1007/s12663-012-0395-1. Epub 2012 Aug 24.
9
Diagnostic efficacy of color Doppler ultrasound in evaluation of cervical lymphadenopathy.
Dent Res J (Isfahan). 2016 May-Jun;13(3):217-24. doi: 10.4103/1735-3327.182180.
10
Enlarged lymph nodes in head and neck cancer: Analysis with triplex ultrasonography.
Ann Maxillofac Surg. 2013 Jan;3(1):35-9. doi: 10.4103/2231-0746.110077.

本文引用的文献

1
Non-invasive imaging of angiogenesis in head and neck squamous cell carcinoma.
Angiogenesis. 2010 Jun;13(2):149-60. doi: 10.1007/s10456-010-9167-z. Epub 2010 Apr 11.
2
Evaluation of the efficacy of colour Doppler ultrasound in diagnosis of cervical lymphadenopathy.
Dentomaxillofac Radiol. 2008 May;37(4):205-12. doi: 10.1259/dmfr/57023901.
4
High-sensitivity power Doppler imaging of normal superficial lymph nodes.
J Clin Ultrasound. 2004 Jul-Aug;32(6):273-6. doi: 10.1002/jcu.20036.
5
Distribution of intranodal vessels in differentiating benign from metastatic neck nodes.
Clin Radiol. 2001 Mar;56(3):197-201. doi: 10.1053/crad.2000.0574.
6
Differential diagnosis of lymph node lesions: a semiquantitative approach with colour Doppler ultrasound.
Br J Radiol. 1998 Aug;71(848):828-33. doi: 10.1259/bjr.71.848.9828794.
7
Differential diagnosis of cervical lymphadenopathy with intranodal color Doppler flow signals in patients with oral squamous cell carcinoma.
Oral Surg Oral Med Oral Pathol Oral Radiol Endod. 1998 Oct;86(4):482-8. doi: 10.1016/s1079-2104(98)90379-1.
8
Differential diagnosis of cervical lymphadenopathy: usefulness of color Doppler sonography.
AJR Am J Roentgenol. 1997 May;168(5):1311-6. doi: 10.2214/ajr.168.5.9129432.
9
Differentiation of benign and malignant cervical lymph nodes with color Doppler sonography.
AJR Am J Roentgenol. 1994 Apr;162(4):965-8. doi: 10.2214/ajr.162.4.8141027.
10
Power Doppler US: a potentially useful alternative to mean frequency-based color Doppler US.
Radiology. 1994 Mar;190(3):853-6. doi: 10.1148/radiology.190.3.8115639.

文献AI研究员

20分钟写一篇综述,助力文献阅读效率提升50倍。

立即体验

用中文搜PubMed

大模型驱动的PubMed中文搜索引擎

马上搜索

文档翻译

学术文献翻译模型,支持多种主流文档格式。

立即体验