Suppr超能文献

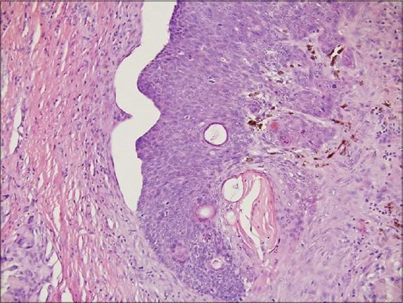
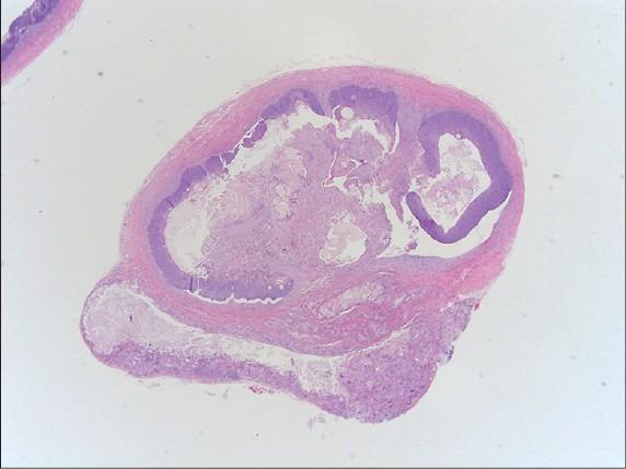
An unusual cystic lesion on the helix.

作者信息

Patel Megha B S, Jacobson-Dunlop Erick, Elston Dirk M

机构信息

The Commonwealth Medical College, Scranton, Pennsylvania, USA.

Ackerman Academy of Dermatopathology, New York, USA.

出版信息

Indian Dermatol Online J. 2014 Jul;5(3):326-7. doi: 10.4103/2229-5178.137792.

Abstract
摘要
https://cdn.ncbi.nlm.nih.gov/pmc/blobs/36fc/4144225/9f42eef5188c/IDOJ-5-326-g001.jpg

文献AI研究员

20分钟写一篇综述,助力文献阅读效率提升50倍。

立即体验

用中文搜PubMed

大模型驱动的PubMed中文搜索引擎

马上搜索

文档翻译

学术文献翻译模型,支持多种主流文档格式。

立即体验