Suppr超能文献

经骶骨切除术联合术前甲磺酸伊马替尼治疗及直肠胃肠道间质瘤的手术入路:两例报告

Transsacral excision with pre-operative imatinib mesylate treatment and approach for gastrointestinal stromal tumors in the rectum: A report of two cases.

作者信息

Sun Li-Feng, He Jin-Jie, Yu Shao-Jun, Xu Jing-Hong, Wang Jian-Wei, Li Jun, Song Yong-Mao, Ding Ke-Feng, Zheng Shu

机构信息

Department of Surgical Oncology, The Second Affiliated Hospital, Zhejiang University School of Medicine, Hangzhou, Zhejiang 310009, P.R. China.

Department of Pathology, The Second Affiliated Hospital, Zhejiang University School of Medicine, Hangzhou, Zhejiang 310009, P.R. China.

出版信息

Oncol Lett. 2014 Oct;8(4):1455-1460. doi: 10.3892/ol.2014.2406. Epub 2014 Aug 1.

Abstract

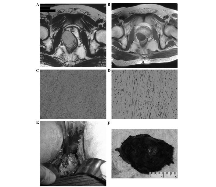
Gastrointestinal stromal tumors (GISTs) are rare in the rectum. Radical surgery, such as an abdominoperineal resection, is necessary for large rectal GISTs, which can result in the loss of function of involved organs. Imatinib mesylate can be used as perioperative therapy and may reduce tumor size, and it is now approved for use in the adjuvant therapy of locally resected anorectal GISTs. The present study describes two cases of large rectal GISTs, for which abdominoperineal resections were initially planned. The two patients received pre-operative imatinib mesylate treatment, and the therapeutic response was assessed by magnetic resonance imaging. Finally, transsacral local resection was successfully performed for these two GISTs. A macroscopically complete resection was achieved, and microscopically, the resection margin was negative. One patient experienced the complication of rectal leakage, which was successfully managed by drainage. No recurrence occurred in the two patients after more than two years. Pre-operative imatinib mesylate therapy with subsequent transsacral local resection for selected rectal GISTs is a feasible treatment modality and can prevent extended surgery.

摘要

胃肠道间质瘤(GISTs)在直肠中较为罕见。对于较大的直肠GISTs,根治性手术如腹会阴联合切除术是必要的,但这可能导致受累器官功能丧失。甲磺酸伊马替尼可作为围手术期治疗用药,可能会缩小肿瘤大小,目前已被批准用于局部切除的肛管直肠GISTs的辅助治疗。本研究描述了两例较大的直肠GISTs病例,最初计划行腹会阴联合切除术。这两名患者接受了术前甲磺酸伊马替尼治疗,并通过磁共振成像评估治疗反应。最后,成功地对这两个GISTs进行了经骶骨局部切除术。实现了宏观上的完整切除,显微镜下切除边缘为阴性。一名患者出现直肠渗漏并发症,通过引流成功处理。两名患者两年多来均未复发。术前甲磺酸伊马替尼治疗随后对选定的直肠GISTs进行经骶骨局部切除术是一种可行的治疗方式,可避免扩大手术。

https://cdn.ncbi.nlm.nih.gov/pmc/blobs/143b/4156190/c33569ed0871/OL-08-04-1455-g00.jpg

文献AI研究员

20分钟写一篇综述,助力文献阅读效率提升50倍。

立即体验

用中文搜PubMed

大模型驱动的PubMed中文搜索引擎

马上搜索

文档翻译

学术文献翻译模型,支持多种主流文档格式。

立即体验