Suppr超能文献

胃淋巴瘤的氟脱氧葡萄糖正电子发射断层扫描/计算机断层扫描结果:与胃癌的比较

F-fluorodeoxyglucose positron emission tomography/computed tomography findings of gastric lymphoma: Comparisons with gastric cancer.

作者信息

Wu Jiang, Zhu Hong, Li Kai, Wang Xin-Gang, Gui Yi, Lu Guang-Ming

机构信息

Department of Nuclear Medicine, Jinling Hospital, School of Medicine, Nanjing University, Nanjing, Jiangsu 210002, P.R. China.

Department of Pharmacology, Soochow University, Suzhou, Jiangsu 215123, P.R. China.

出版信息

Oncol Lett. 2014 Oct;8(4):1757-1764. doi: 10.3892/ol.2014.2412. Epub 2014 Aug 4.

Abstract

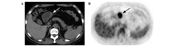
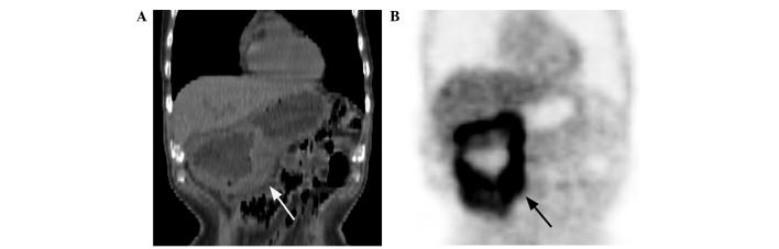
The role of F-fluorodeoxyglucose positron emission tomography/computed tomography (F-FDG PET/CT) in numerous malignant tumors, including gastric lymphoma, is well-established. However, there have been few studies with regard to the F-FDG PET/CT features of gastric lymphoma. The aim of the present study was to characterize the F-FDG PET/CT features of gastric lymphoma, which were compared with those of gastric cancer. Prior to treatment, F-FDG PET/CT was performed on 24 patients with gastric lymphoma and 43 patients with gastric cancer. The F-FDG PET/CT pattern of gastric wall lesions was classified as one of three types: Type I, diffuse thickening of the gastric wall with increased FDG uptake infiltrating more than one-third of the total stomach; type II, segmental thickening of the gastric wall with elevated FDG uptake involving less than one-third of the total stomach; and type III, local thickening of the gastric wall with focal FDG uptake. The incidence of the involvement of more than one region of the stomach was higher in the patients with gastric lymphoma than in those with gastric cancer. Gastric FDG uptake was demonstrated in 23 of the 24 patients (95.8%) with gastric lymphoma and in 40 of the 43 patients (93.0%) with gastric cancer. Gastric lymphoma predominantly presented with type I and II lesions, whereas gastric cancer mainly presented with type II and III lesions. The maximal thickness was larger and the maximal standard uptake value (SUV) was higher in the patients with gastric lymphoma compared with those with gastric cancer. A positive correlation between the maximal thickness and SUV was confirmed for the gastric cancer lesions, but not for the gastric lymphoma lesions. There was no difference in the maximal thickness and SUV of the gastric wall lesions between the patients without and with extragastric involvement, for gastric lymphoma and gastric cancer. Overall, certain differences exist in the findings between gastric lymphoma and gastric cancer patients on F-FDG PET/CT images, which may contribute to the identification of gastric lymphoma.

摘要

氟脱氧葡萄糖正电子发射断层扫描/计算机断层扫描(F-FDG PET/CT)在包括胃淋巴瘤在内的众多恶性肿瘤中的作用已得到充分证实。然而,关于胃淋巴瘤的F-FDG PET/CT特征的研究却很少。本研究的目的是描述胃淋巴瘤的F-FDG PET/CT特征,并与胃癌的特征进行比较。治疗前,对24例胃淋巴瘤患者和43例胃癌患者进行了F-FDG PET/CT检查。胃壁病变的F-FDG PET/CT模式分为三种类型之一:I型,胃壁弥漫性增厚,FDG摄取增加,浸润超过全胃的三分之一;II型,胃壁节段性增厚,FDG摄取增加,累及全胃不到三分之一;III型,胃壁局部增厚,有局灶性FDG摄取。胃淋巴瘤患者胃多区域受累的发生率高于胃癌患者。24例胃淋巴瘤患者中有23例(95.8%)出现胃FDG摄取,43例胃癌患者中有40例(93.0%)出现胃FDG摄取。胃淋巴瘤主要表现为I型和II型病变,而胃癌主要表现为II型和III型病变。与胃癌患者相比,胃淋巴瘤患者的最大厚度更大,最大标准摄取值(SUV)更高。在胃癌病变中证实最大厚度与SUV之间存在正相关,但在胃淋巴瘤病变中未证实。对于胃淋巴瘤和胃癌,有无胃外受累患者的胃壁病变最大厚度和SUV无差异。总体而言,胃淋巴瘤和胃癌患者在F-FDG PET/CT图像上的表现存在一定差异,这可能有助于胃淋巴瘤的识别。

https://cdn.ncbi.nlm.nih.gov/pmc/blobs/1229/4156241/fd0ca67499f5/OL-08-04-1757-g00.jpg

文献AI研究员

20分钟写一篇综述,助力文献阅读效率提升50倍。

立即体验

用中文搜PubMed

大模型驱动的PubMed中文搜索引擎

马上搜索

文档翻译

学术文献翻译模型,支持多种主流文档格式。

立即体验