Department of Physiology, Zhuhai Campus of Zunyi Medical College, Zhuhai 519041, Guangdong Province, China ; First Hospital of Putian City, Putian 351100, Fujian Province, China.
Department of Pediatrics, Zhuhai Campus of Zunyi Medical College, Zhuhai 519041, Guangdong Province, China.
Neural Regen Res. 2013 Nov 15;8(32):3047-54. doi: 10.3969/j.issn.1673-5374.2013.32.008.
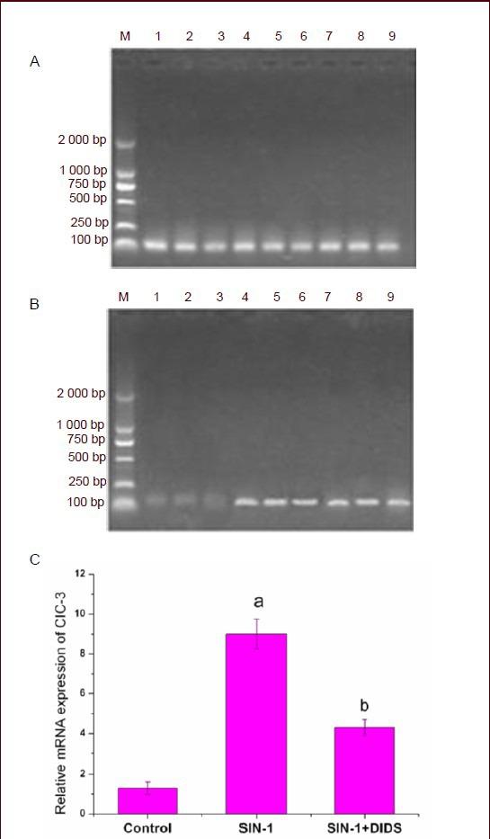
Over-production of nitric oxide is pathogenic for neuronal apoptosis around the ischemic area fol-lowing ischemic brain injury. In this study, an apoptotic model in rat hippocampal neurons was tablished by 0.5 mmol/L 3-morpholinosyndnomine (SIN-1), a nitric oxide donor. The models were then cultured with 0.1 mmol/L of 4,4'-diisothiocyanostilbene-2,2'-disulfonic acid (DIDS; the chloride channel blocker) for 18 hours. Neuronal survival was detected using the 3-(4,5-dimethylthiazol-2-yl)-2,5-diphenyltetrazolium bromide (MTT) assay, and apoptosis was assayed by Hoechst 33342-labeled neuronal DNA fluorescence staining. Western blot analysis and immunoche-nescence staining were applied to determine the changes of activated caspase-3 and CIC-3 channel proteins. Real-time PCR was used to detect the mRNA expression of CIC-3. The results showed that SIN-1 reduced the neuronal survival rate, induced neuronal apoptosis, and promoted ClC-3 chloride channel protein and mRNA expression in the apoptotic neurons. DIDS reversed the effect of SIN-1. Our findings indicate that the increased activities of the ClC-3 chloride channel may be involved in hippocampal neuronal apoptosis induced by nitric oxide.
一氧化氮的过度产生对缺血性脑损伤后缺血区域周围的神经元凋亡是致病的。在这项研究中,通过使用一氧化氮供体 0.5mmol/L 3-吗啉代-syn-1(SIN-1)建立了大鼠海马神经元凋亡模型。然后,将模型在 0.1mmol/L 的 4,4'-二异硫氰基-2,2'-二磺酸钠(DIDS;氯离子通道阻断剂)中培养 18 小时。使用 3-(4,5-二甲基噻唑-2-基)-2,5-二苯基四氮唑溴盐(MTT)测定神经元存活率,并通过 Hoechst 33342 标记的神经元 DNA 荧光染色测定凋亡。应用 Western blot 分析和免疫细胞化学染色来确定激活的 caspase-3 和 CIC-3 通道蛋白的变化。实时 PCR 用于检测 CIC-3 的 mRNA 表达。结果表明,SIN-1 降低了神经元存活率,诱导了神经元凋亡,并促进了凋亡神经元中 ClC-3 氯离子通道蛋白和 mRNA 的表达。DIDS 逆转了 SIN-1 的作用。我们的研究结果表明,ClC-3 氯离子通道的活性增加可能参与了由一氧化氮诱导的海马神经元凋亡。