Suppr超能文献

男性乳腺原发性神经内分泌癌:一种经细胞学诊断的罕见实体。

Primary neuroendocrine carcinoma of male breast: A cytologically diagnosed rare entity.

作者信息

Lingappa Hemalatha A, Indushekar Varna, Chamarthy Neelima P, Soni Ankita

机构信息

Department of Pathology, Mysore Medical College and Research Institute, Mysore, Karnataka, India.

出版信息

J Cytol. 2014 Apr;31(2):105-7. doi: 10.4103/0970-9371.138685.

Abstract

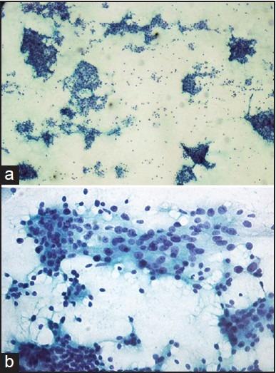
Primary neuroendocrine (NE) carcinoma of the male breast is very rare. NE breast cancers encompass a heterogeneous group of tumors exhibiting morphological features similar to those of NE tumors of the gut and lung. They express one or more NE markers in at least 50% of the tumor cells. They are rare lesions representing about 2-3% of all breast cancers and more frequently affecting elderly patients. The present case report deals with a NE breast carcinoma in an 80-year-old male who presented with a right breast mass and axillary lymphadenopathy. The cytological features were suggestive of NE carcinoma. A thorough clinical evaluation helped confirm the primary nature of the tumor. The histopathology and immunohistochemistry helped confirm the cytological diagnosis. The histogenesis and prognostic implications of this rare breast tumor with predominant NE differentiation, unusually occurring in a male, is discussed here.

摘要

男性原发性神经内分泌(NE)癌非常罕见。NE乳腺癌是一组异质性肿瘤,其形态学特征与肠道和肺部的NE肿瘤相似。它们在至少50%的肿瘤细胞中表达一种或多种NE标志物。它们是罕见的病变,约占所有乳腺癌的2-3%,更常见于老年患者。本病例报告涉及一名80岁男性的NE乳腺癌,该患者表现为右乳肿块和腋窝淋巴结病。细胞学特征提示为NE癌。全面的临床评估有助于确认肿瘤的原发性。组织病理学和免疫组化有助于证实细胞学诊断。本文讨论了这种罕见的、以NE分化为主且异常发生在男性中的乳腺肿瘤的组织发生及预后意义。

https://cdn.ncbi.nlm.nih.gov/pmc/blobs/285f/4159891/c6897c9d1b9e/JCytol-31-105-g001.jpg

文献AI研究员

20分钟写一篇综述,助力文献阅读效率提升50倍。

立即体验

用中文搜PubMed

大模型驱动的PubMed中文搜索引擎

马上搜索

文档翻译

学术文献翻译模型,支持多种主流文档格式。

立即体验