• 文献检索
  • 文档翻译
  • 深度研究
  • 学术资讯
  • Suppr Zotero 插件Zotero 插件
  • 邀请有礼
  • 套餐&价格
  • 历史记录
应用&插件
Suppr Zotero 插件Zotero 插件浏览器插件Mac 客户端Windows 客户端微信小程序
定价
高级版会员购买积分包购买API积分包
服务
文献检索文档翻译深度研究API 文档MCP 服务
关于我们
关于 Suppr公司介绍联系我们用户协议隐私条款
关注我们

Suppr 超能文献

核心技术专利:CN118964589B侵权必究
粤ICP备2023148730 号-1Suppr @ 2026

文献检索

告别复杂PubMed语法,用中文像聊天一样搜索,搜遍4000万医学文献。AI智能推荐,让科研检索更轻松。

立即免费搜索

文件翻译

保留排版,准确专业,支持PDF/Word/PPT等文件格式,支持 12+语言互译。

免费翻译文档

深度研究

AI帮你快速写综述,25分钟生成高质量综述,智能提取关键信息,辅助科研写作。

立即免费体验

嗜热四膜虫肌动蛋白的纯化揭示了一些不同寻常的特性。

Purification of Tetrahymena actin reveals some unusual properties.

作者信息

Hirono M, Kumagai Y, Numata O, Watanabe Y

机构信息

Institute of Biological Sciences, University of Tsukuba, Ibaraki, Japan.

出版信息

Proc Natl Acad Sci U S A. 1989 Jan;86(1):75-9. doi: 10.1073/pnas.86.1.75.

DOI:10.1073/pnas.86.1.75
PMID:2521389
原文链接:https://pmc.ncbi.nlm.nih.gov/articles/PMC286406/
Abstract

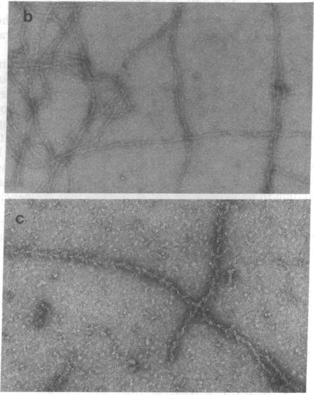
Actin from Tetrahymena pyriformis has been purified by monitoring the presence of the actin gene product with an antiserum against a synthetic N-terminal peptide deduced from the nucleotide sequence of the Tetrahymena actin gene that we cloned previously. This highly purified Tetrahymena actin shares many essential properties with ubiquitous actin, including ion-dependent polymerization to microfilaments, binding with muscle heavy meromyosin to form arrowheads, and activation of the Mg2+-ATPase of muscle myosin subfragment 1. On the other hand, some properties of this purified Tetrahymena actin clearly differ from those of muscle actin: (i) Tetrahymena actin has 8 times less ability to activate the Mg2+-ATPase of muscle myosin subfragment 1 than muscle actin; (ii) Tetrahymena actin did not bind to phalloidin at all; (iii) Tetrahymena actin did not inhibit DNase I activity at all. In general, Tetrahymena actin has very unusual properties when compared to other actins described so far. This actin is expected to provide important clues for elucidating problems concerning the relationships between the structural and functional domains in an actin molecule.

摘要

通过使用针对我们先前克隆的梨形四膜虫肌动蛋白基因核苷酸序列推导的合成N端肽的抗血清监测肌动蛋白基因产物的存在,已纯化了梨形四膜虫的肌动蛋白。这种高度纯化的梨形四膜虫肌动蛋白与普遍存在的肌动蛋白具有许多基本特性,包括离子依赖性聚合成微丝、与肌肉重酶解肌球蛋白结合形成箭头状以及激活肌肉肌球蛋白亚片段1的Mg2 + -ATP酶。另一方面,这种纯化的梨形四膜虫肌动蛋白的一些特性明显不同于肌肉肌动蛋白:(i)梨形四膜虫肌动蛋白激活肌肉肌球蛋白亚片段1的Mg2 + -ATP酶的能力比肌肉肌动蛋白低8倍;(ii)梨形四膜虫肌动蛋白根本不与鬼笔环肽结合;(iii)梨形四膜虫肌动蛋白根本不抑制DNase I活性。一般而言,与迄今为止描述的其他肌动蛋白相比,梨形四膜虫肌动蛋白具有非常不寻常的特性。这种肌动蛋白有望为阐明肌动蛋白分子中结构域与功能域之间关系的问题提供重要线索。

https://cdn.ncbi.nlm.nih.gov/pmc/blobs/3b4b/286406/c6997a2123b5/pnas00241-0093-a.jpg
https://cdn.ncbi.nlm.nih.gov/pmc/blobs/3b4b/286406/185f5aa9f415/pnas00241-0092-a.jpg
https://cdn.ncbi.nlm.nih.gov/pmc/blobs/3b4b/286406/c6997a2123b5/pnas00241-0093-a.jpg
https://cdn.ncbi.nlm.nih.gov/pmc/blobs/3b4b/286406/185f5aa9f415/pnas00241-0092-a.jpg
https://cdn.ncbi.nlm.nih.gov/pmc/blobs/3b4b/286406/c6997a2123b5/pnas00241-0093-a.jpg

相似文献

1
Purification of Tetrahymena actin reveals some unusual properties.嗜热四膜虫肌动蛋白的纯化揭示了一些不同寻常的特性。
Proc Natl Acad Sci U S A. 1989 Jan;86(1):75-9. doi: 10.1073/pnas.86.1.75.
2
Purification and characterization of subtilisin cleaved actin lacking the segment of residues 43-47 in the DNase I binding loop.枯草杆菌蛋白酶切割的肌动蛋白的纯化及特性分析,该肌动蛋白在脱氧核糖核酸酶I结合环中缺少43 - 47位残基片段。
Biochemistry. 1995 Nov 14;34(45):14834-42. doi: 10.1021/bi00045a026.
3
Peptide competition of actin activation of myosin-subfragment 1 ATPase by an amino terminal actin fragment.氨基末端肌动蛋白片段对肌球蛋白亚片段1 ATP酶的肌动蛋白激活的肽竞争作用
FEBS Lett. 1991 Dec 2;294(1-2):31-4. doi: 10.1016/0014-5793(91)81336-7.
4
Subtilisin-cleaved actin: polymerization and interaction with myosin subfragment 1.枯草杆菌蛋白酶切割的肌动蛋白:聚合作用及与肌球蛋白亚片段1的相互作用
Biochemistry. 1989 Jul 11;28(14):5889-95. doi: 10.1021/bi00440a027.
5
Biochemical evidence for the presence of an actin protein in Tetrahymena pyriformis.梨形四膜虫中存在肌动蛋白的生化证据。
J Cell Sci. 1985 Feb;73:279-97. doi: 10.1242/jcs.73.1.279.
6
Tetrahymena actin: copolymerization with skeletal muscle actin and interactions with muscle actin-binding proteins.嗜热四膜虫肌动蛋白:与骨骼肌肌动蛋白的共聚作用及与肌肉肌动蛋白结合蛋白的相互作用
J Biochem. 1990 Jan;107(1):32-6. doi: 10.1093/oxfordjournals.jbchem.a123007.
7
Polymerization of G-actin by myosin subfragment 1.肌球蛋白亚片段1介导的G-肌动蛋白聚合反应
J Biol Chem. 1988 Feb 5;263(4):1996-2002.
8
Changes in contractile proteins during differentiation of myeloid leukemia cells. II. Purification and characterization of actin.髓系白血病细胞分化过程中收缩蛋白的变化。II. 肌动蛋白的纯化与特性分析。
J Cell Biol. 1982 May;93(2):470-8. doi: 10.1083/jcb.93.2.470.
9
Cross-link between cys 374 and cys 10 of actin abolishes polymerizability and allows study of the properties of the "F-actin monomer".肌动蛋白的半胱氨酸374与半胱氨酸10之间的交联作用消除了其聚合能力,并使得对“F-肌动蛋白单体”的特性研究成为可能。
Biochemistry. 1996 Jan 9;35(1):258-65. doi: 10.1021/bi950765x.
10
Comparison of ATPase activities and heavy chains of rabbit atrial and thyrotoxic ventricular myosin subfragment-1.兔心房和甲状腺毒症性心室肌球蛋白亚片段-1的ATP酶活性及重链比较
Mol Cell Biochem. 1988 Sep;83(1):55-63. doi: 10.1007/BF00223198.

引用本文的文献

1
Effect of vasoactive peptides in Tetrahymena: chemotactic activities of adrenomedullin, proadrenomedullin N-terminal 20 peptide (PAMP) and calcitonin gene-related peptide (CGRP).血管活性肽在四膜虫中的作用:肾上腺髓质素、肾上腺髓质素原N端20肽(PAMP)和降钙素基因相关肽(CGRP)的趋化活性
Mol Cell Biochem. 2016 Jan;411(1-2):271-80. doi: 10.1007/s11010-015-2589-6. Epub 2015 Oct 19.
2
Tetrahymena thermophila: a divergent perspective on membrane traffic.嗜热四膜虫:膜运输的不同视角
J Exp Zool B Mol Dev Evol. 2014 Nov;322(7):500-16. doi: 10.1002/jez.b.22564. Epub 2014 Mar 14.
3
ADF/cofilin is not essential but is critically important for actin activities during phagocytosis in Tetrahymena thermophila.

本文引用的文献

1
Isolation and characterization of the actin gene from Tetrahymena thermophila.从嗜热四膜虫中分离和鉴定肌动蛋白基因。
Proc Natl Acad Sci U S A. 1986 Jul;83(14):5160-4. doi: 10.1073/pnas.83.14.5160.
2
Protein measurement with the Folin phenol reagent.使用福林酚试剂进行蛋白质测定。
J Biol Chem. 1951 Nov;193(1):265-75.
3
Studies on the structure of myosin.肌球蛋白结构研究。
肌动蛋白解聚因子/丝切蛋白对于嗜热四膜虫吞噬作用期间的肌动蛋白活性并非必不可少,但至关重要。
Eukaryot Cell. 2013 Aug;12(8):1080-6. doi: 10.1128/EC.00074-13. Epub 2013 May 31.
4
Evolutionarily divergent, unstable filamentous actin is essential for gliding motility in apicomplexan parasites.进化上不同,不稳定的丝状肌动蛋白对于顶复门寄生虫的滑行运动是必不可少的。
PLoS Pathog. 2011 Oct;7(10):e1002280. doi: 10.1371/journal.ppat.1002280. Epub 2011 Oct 6.
5
The Isolation of Actin from Pea Roots by DNase I Affinity Chromatography.通过脱氧核糖核酸酶I亲和层析从豌豆根中分离肌动蛋白
Plant Physiol. 1992 Dec;100(4):1716-23. doi: 10.1104/pp.100.4.1716.
6
The actin gene ACT1 is required for phagocytosis, motility, and cell separation of Tetrahymena thermophila.肌动蛋白基因ACT1是嗜热四膜虫吞噬作用、运动性和细胞分离所必需的。
Eukaryot Cell. 2006 Mar;5(3):555-67. doi: 10.1128/EC.5.3.555-567.2006.
7
Unusual kinetic and structural properties control rapid assembly and turnover of actin in the parasite Toxoplasma gondii.异常的动力学和结构特性控制着寄生虫弓形虫中肌动蛋白的快速组装和周转。
Mol Biol Cell. 2006 Feb;17(2):895-906. doi: 10.1091/mbc.e05-06-0512. Epub 2005 Nov 30.
8
Chlamydomonas inner-arm dynein mutant, ida5, has a mutation in an actin-encoding gene.衣藻内臂动力蛋白突变体ida5在一个肌动蛋白编码基因中发生了突变。
J Cell Biol. 1997 May 5;137(3):649-56. doi: 10.1083/jcb.137.3.649.
9
Molecular genetics of actin function.肌动蛋白功能的分子遗传学
Biochem J. 1993 May 1;291 ( Pt 3)(Pt 3):657-71. doi: 10.1042/bj2910657.
10
DNase I interaction on muscle Z-line.脱氧核糖核酸酶I与肌肉Z线的相互作用。
J Muscle Res Cell Motil. 1995 Apr;16(2):123-9. doi: 10.1007/BF00122530.
J Mol Biol. 1962 Apr;4:293-308. doi: 10.1016/s0022-2836(62)80007-2.
4
Identification of myosin-binding sites on the actin sequence.肌动蛋白序列上肌球蛋白结合位点的鉴定。
Biochemistry. 1982 Jul 20;21(15):3654-61. doi: 10.1021/bi00258a020.
5
Purification and properties of soluble actin from sea urchin eggs.海胆卵可溶性肌动蛋白的纯化及特性
J Biochem. 1980 Mar;87(3):785-802. doi: 10.1093/oxfordjournals.jbchem.a132808.
6
Vegetative Dictyostelium cells containing 17 actin genes express a single major actin.含有17个肌动蛋白基因的盘基网柄菌营养细胞表达一种主要的肌动蛋白。
Nature. 1980 Apr 3;284(5755):475-7. doi: 10.1038/284475a0.
7
Isolation and some properties of a new fiber-forming protein from Tetrahymena pyriformis.嗜热四膜虫一种新的成纤维蛋白的分离及其某些特性
J Biochem. 1980 Nov;88(5):1487-98. doi: 10.1093/oxfordjournals.jbchem.a133119.
8
Isolation and characterization of actin from Entamoeba histolytica.溶组织内阿米巴肌动蛋白的分离与鉴定。
J Biol Chem. 1983 Mar 25;258(6):3936-41.
9
Actin genes and actin messenger RNA in Acanthamoeba castellanii. Nucleotide sequence of the split actin gene I.卡氏棘阿米巴中肌动蛋白基因和肌动蛋白信使核糖核酸。分裂肌动蛋白基因I的核苷酸序列。
J Mol Biol. 1982 Jul 25;159(1):1-18. doi: 10.1016/0022-2836(82)90028-6.
10
Actin of Naegleria gruberi. Absence of N tau-methylhistidine.格氏耐格里阿米巴的肌动蛋白。不存在N-τ-甲基组氨酸。
J Biol Chem. 1984 Jun 10;259(11):7349-54.