• 文献检索
  • 文档翻译
  • 深度研究
  • 学术资讯
  • Suppr Zotero 插件Zotero 插件
  • 邀请有礼
  • 套餐&价格
  • 历史记录
应用&插件
Suppr Zotero 插件Zotero 插件浏览器插件Mac 客户端Windows 客户端微信小程序
定价
高级版会员购买积分包购买API积分包
服务
文献检索文档翻译深度研究API 文档MCP 服务
关于我们
关于 Suppr公司介绍联系我们用户协议隐私条款
关注我们

Suppr 超能文献

核心技术专利:CN118964589B侵权必究
粤ICP备2023148730 号-1Suppr @ 2026

文献检索

告别复杂PubMed语法,用中文像聊天一样搜索,搜遍4000万医学文献。AI智能推荐,让科研检索更轻松。

立即免费搜索

文件翻译

保留排版,准确专业,支持PDF/Word/PPT等文件格式,支持 12+语言互译。

免费翻译文档

深度研究

AI帮你快速写综述,25分钟生成高质量综述,智能提取关键信息,辅助科研写作。

立即免费体验

长期双膦酸盐治疗期间非典型股骨骨折的预测因素:病例系列及文献综述

Predictors of atypical femoral fractures during long term bisphosphonate therapy: a case series & review of literature.

作者信息

Bhadada Sanjay Kumar, Sridhar Subbiah, Muthukrishnan Jeyaram, Mithal Ambrish, Sharma Dinesh C, Bhansali Anil, Dhiman Vandana

机构信息

Department of Endocrinology, Postgraduate Institute of Medical Education & Research, Chandigarh, India.

出版信息

Indian J Med Res. 2014 Jul;140(1):46-54.

PMID:25222777
原文链接:https://pmc.ncbi.nlm.nih.gov/articles/PMC4181159/
Abstract

BACKGROUND & OBJECTIVES: Bisphosphonates (BPs) are the most widely prescribed medicines for the treatment of osteoporosis because of their efficacy and favourable safety profile. There have been, several reports on an increased incidence of atypical femoral fractures after long term treatment with BPs. The objective of this study was to evaluate the clinical presentation including prodromal symptoms, skeletal radiograph findings, type and duration of BPs received and treatment outcome of patients who developed atypical femoral fractures during bisphosphonate therapy.

METHODS

In this retrospective study, eight patients with atypical femoral fractures were analysed based on clinical features, biochemical and radiological investigations.

RESULTS

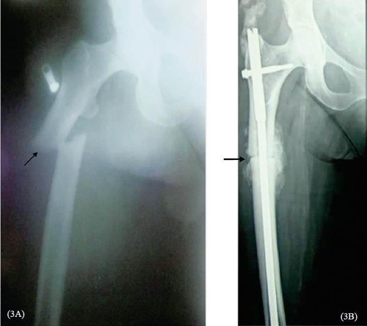
Of the eight patients, who sustained atypical femoral fractures, six were on alendronate and two were on zoledronate therapy before the fractures. In addition to BPs, two patients were on long term corticosteroid therapy for rheumatoid arthritis and Addison's disease. Three patients had bilateral atypical femoral fractures. Except one, all of them had prodromal symptoms prior to fracture. Skeletal radiograph showed cortical thickening, pointed (beaking of) cortical margin and transverse fracture in meta-diaphyseal location. Serum calcium, phosphate, alkaline phosphatase (ALP) and intact parathyroid hormone (iPTH) concentrations were within the reference range in all patients.

INTERPRETATION & CONCLUSIONS: Long term bisphosphonate therapy may increase the risk of atypical femoral fractures. Presence of prodromal pain, thickened cortex with cortical beaking may be an early clue for predicting the atypical fractures. High risk patients need periodical skeletal survey and a close follow up for early detection of cases.

摘要

背景与目的

双膦酸盐(BPs)因其疗效和良好的安全性,是治疗骨质疏松症最常用的药物。有几份报告指出,长期使用双膦酸盐治疗后非典型股骨骨折的发生率增加。本研究的目的是评估在双膦酸盐治疗期间发生非典型股骨骨折的患者的临床表现,包括前驱症状、骨骼X线检查结果、接受的双膦酸盐类型和持续时间以及治疗结果。

方法

在这项回顾性研究中,根据临床特征、生化和影像学检查对8例非典型股骨骨折患者进行了分析。

结果

在8例发生非典型股骨骨折的患者中,6例在骨折前接受阿仑膦酸盐治疗,2例接受唑来膦酸盐治疗。除双膦酸盐外,2例患者因类风湿性关节炎和艾迪生病接受长期皮质类固醇治疗。3例患者发生双侧非典型股骨骨折。除1例患者外,所有患者在骨折前均有前驱症状。骨骼X线检查显示皮质增厚、皮质边缘尖(喙状)和干骺端横形骨折。所有患者的血清钙、磷、碱性磷酸酶(ALP)和完整甲状旁腺激素(iPTH)浓度均在参考范围内。

解读与结论

长期双膦酸盐治疗可能会增加非典型股骨骨折的风险。前驱疼痛、皮质增厚伴皮质喙状改变可能是预测非典型骨折的早期线索。高危患者需要定期进行骨骼检查并密切随访,以便早期发现病例。

https://cdn.ncbi.nlm.nih.gov/pmc/blobs/fdde/4181159/7721a200f969/IJMR-140-46-g009.jpg
https://cdn.ncbi.nlm.nih.gov/pmc/blobs/fdde/4181159/f057d7e6ae6b/IJMR-140-46-g002.jpg
https://cdn.ncbi.nlm.nih.gov/pmc/blobs/fdde/4181159/d6af66f79ac9/IJMR-140-46-g003.jpg
https://cdn.ncbi.nlm.nih.gov/pmc/blobs/fdde/4181159/954a6bdf067d/IJMR-140-46-g004.jpg
https://cdn.ncbi.nlm.nih.gov/pmc/blobs/fdde/4181159/3953b946d7d7/IJMR-140-46-g005.jpg
https://cdn.ncbi.nlm.nih.gov/pmc/blobs/fdde/4181159/0da8109461ad/IJMR-140-46-g006.jpg
https://cdn.ncbi.nlm.nih.gov/pmc/blobs/fdde/4181159/a477740ea643/IJMR-140-46-g007.jpg
https://cdn.ncbi.nlm.nih.gov/pmc/blobs/fdde/4181159/c17f5a4a2b08/IJMR-140-46-g008.jpg
https://cdn.ncbi.nlm.nih.gov/pmc/blobs/fdde/4181159/7721a200f969/IJMR-140-46-g009.jpg
https://cdn.ncbi.nlm.nih.gov/pmc/blobs/fdde/4181159/f057d7e6ae6b/IJMR-140-46-g002.jpg
https://cdn.ncbi.nlm.nih.gov/pmc/blobs/fdde/4181159/d6af66f79ac9/IJMR-140-46-g003.jpg
https://cdn.ncbi.nlm.nih.gov/pmc/blobs/fdde/4181159/954a6bdf067d/IJMR-140-46-g004.jpg
https://cdn.ncbi.nlm.nih.gov/pmc/blobs/fdde/4181159/3953b946d7d7/IJMR-140-46-g005.jpg
https://cdn.ncbi.nlm.nih.gov/pmc/blobs/fdde/4181159/0da8109461ad/IJMR-140-46-g006.jpg
https://cdn.ncbi.nlm.nih.gov/pmc/blobs/fdde/4181159/a477740ea643/IJMR-140-46-g007.jpg
https://cdn.ncbi.nlm.nih.gov/pmc/blobs/fdde/4181159/c17f5a4a2b08/IJMR-140-46-g008.jpg
https://cdn.ncbi.nlm.nih.gov/pmc/blobs/fdde/4181159/7721a200f969/IJMR-140-46-g009.jpg

相似文献

1
Predictors of atypical femoral fractures during long term bisphosphonate therapy: a case series & review of literature.长期双膦酸盐治疗期间非典型股骨骨折的预测因素:病例系列及文献综述
Indian J Med Res. 2014 Jul;140(1):46-54.
2
High and pointed type of femoral localized reaction frequently extends to complete and incomplete atypical femoral fracture in patients with autoimmune diseases on long-term glucocorticoids and bisphosphonates.高尖型股骨局部反应在长期接受糖皮质激素和双膦酸盐治疗的自身免疫性疾病患者中常发展为完全和不完全非典型股骨骨折。
Osteoporos Int. 2017 Aug;28(8):2367-2376. doi: 10.1007/s00198-017-4038-8. Epub 2017 Apr 13.
3
The cumulative incidence of and risk factors for latent beaking in patients with autoimmune diseases taking long-term glucocorticoids and bisphosphonates.长期服用糖皮质激素和双膦酸盐的自身免疫性疾病患者潜在喙突形成的累积发病率及危险因素。
Osteoporos Int. 2016 Mar;27(3):1217-1225. doi: 10.1007/s00198-015-3382-9. Epub 2015 Oct 30.
4
Atypical subtrochanteric femoral fractures in patients with skeletal malignant involvement treated with intravenous bisphosphonates.静脉注射双膦酸盐治疗伴骨骼恶性肿瘤的患者的非典型股骨转子下骨折。
J Bone Joint Surg Am. 2011 Jul 6;93(13):1235-42. doi: 10.2106/JBJS.J.01199.
5
Atypical femoral fractures after anti-osteoporotic medication: a Korean multicenter study.抗骨质疏松药物治疗后发生的非典型股骨骨折:一项韩国多中心研究。
Int Orthop. 2014 Jun;38(6):1247-53. doi: 10.1007/s00264-013-2259-9. Epub 2014 Jan 25.
6
Association of atypical femoral fractures with bisphosphonate use by patients with varus hip geometry.髋内翻患者使用双膦酸盐与非典型股骨骨折的关联。
J Bone Joint Surg Am. 2014 Nov 19;96(22):1905-9. doi: 10.2106/JBJS.N.00075.
7
Retrospective review of patients with atypical bisphosphonate related proximal femoral fractures.非典型双膦酸盐相关股骨近端骨折患者的回顾性研究。
Injury. 2017 Jun;48(6):1159-1164. doi: 10.1016/j.injury.2017.03.025. Epub 2017 Apr 4.
8
Atypical femoral fractures related to bisphosphonate use: A comprehensive review of 19 patients.与双膦酸盐使用相关的非典型股骨骨折:19例患者的综合回顾
Ulus Travma Acil Cerrahi Derg. 2019 Nov;25(6):603-610. doi: 10.14744/tjtes.2019.46595.
9
Femoral stress fractures associated with long-term bisphosphonate treatment.与长期使用双磷酸盐治疗相关的股骨应力性骨折。
Clin Orthop Relat Res. 2012 Mar;470(3):759-65. doi: 10.1007/s11999-011-2194-2.
10
Atypical subtrochanteric and diaphyseal femoral fractures: report of a task force of the American Society for Bone and Mineral Research.非典型转子下和骨干股骨骨折:美国骨矿研究学会工作组报告。
J Bone Miner Res. 2010 Nov;25(11):2267-94. doi: 10.1002/jbmr.253.

引用本文的文献

1
Etiological, clinical characteristics, and treatment of atypical femur fracture: A retrospective study.非典型股骨骨折的病因、临床特征及治疗:一项回顾性研究。
Medicine (Baltimore). 2025 Feb 21;104(8):e41513. doi: 10.1097/MD.0000000000041513.
2
Non-biological Antiresorptive: Bisphosphonates.非生物抗吸收剂:双膦酸盐类。
Indian J Orthop. 2023 Dec 8;57(Suppl 1):120-126. doi: 10.1007/s43465-023-01054-7. eCollection 2023 Dec.
3
Prevalence of Low Serum Alkaline Phosphatase and Hypophosphatasia in Adult Patients with Atypical Femur Fractures.

本文引用的文献

1
The effect of proton pump inhibitors on fracture risk: report from the Canadian Multicenter Osteoporosis Study.质子泵抑制剂对骨折风险的影响:来自加拿大多中心骨质疏松症研究的报告。
Osteoporos Int. 2013 Apr;24(4):1161-8. doi: 10.1007/s00198-012-2112-9. Epub 2012 Aug 14.
2
Incidence of atypical nontraumatic diaphyseal fractures of the femur.股骨非典型非外伤性骨干骨折的发生率。
J Bone Miner Res. 2012 Dec;27(12):2544-50. doi: 10.1002/jbmr.1719.
3
Osteonecrosis of jaw associated with bisphosphonate use.与双膦酸盐使用相关的颌骨骨坏死
非典型股骨骨折成年患者低血清碱性磷酸酶及低磷酸酯酶症的患病率
Calcif Tissue Int. 2022 Jun;110(6):703-711. doi: 10.1007/s00223-022-00949-1. Epub 2022 Feb 28.
4
Efficacy of autologous bone marrow derived Mesenchymal stem cells (MSCs), osteoblasts and osteoblasts derived exosome in the reversal of ovariectomy (OVX) induced osteoporosis in rabbit model.自体骨髓间充质干细胞(MSCs)、成骨细胞和成骨细胞衍生外泌体对兔去卵巢(OVX)诱导骨质疏松症的逆转作用
Am J Transl Res. 2021 Jun 15;13(6):6175-6181. eCollection 2021.
5
The Indian Society for Bone and Mineral Research (ISBMR) position statement for the diagnosis and treatment of osteoporosis in adults.印度骨矿研究学会(ISBMR)关于成年人骨质疏松症的诊断和治疗立场声明。
Arch Osteoporos. 2021 Jun 26;16(1):102. doi: 10.1007/s11657-021-00954-1.
6
Stem-cell therapy for ovariectomy-induced osteoporosis in rats: a comparison of three treatment modalities.大鼠卵巢切除术后骨质疏松的干细胞治疗:三种治疗方式的比较
Stem Cells Cloning. 2019 Jun 14;12:17-25. doi: 10.2147/SCCAA.S204099. eCollection 2019.
7
Bone Marrow-derived Osteoblasts in the Management of Ovariectomy induced Osteoporosis in Rats.骨髓来源的成骨细胞在大鼠去卵巢诱导骨质疏松症治疗中的应用
J Stem Cells Regen Med. 2018 Dec 30;14(2):63-68. doi: 10.46582/jsrm.1402010. eCollection 2018.
8
High and pointed type of femoral localized reaction frequently extends to complete and incomplete atypical femoral fracture in patients with autoimmune diseases on long-term glucocorticoids and bisphosphonates.高尖型股骨局部反应在长期接受糖皮质激素和双膦酸盐治疗的自身免疫性疾病患者中常发展为完全和不完全非典型股骨骨折。
Osteoporos Int. 2017 Aug;28(8):2367-2376. doi: 10.1007/s00198-017-4038-8. Epub 2017 Apr 13.
9
Osteoporosis: a discussion on the past 5 years.骨质疏松症:关于过去5年的讨论
Curr Rev Musculoskelet Med. 2017 Jun;10(2):265-274. doi: 10.1007/s12178-017-9410-y.
10
Caveats of bisphosphonate abuse.双膦酸盐滥用的注意事项。
Indian J Orthop. 2016 Jul-Aug;50(4):434-9. doi: 10.4103/0019-5413.185612.
Indian J Endocrinol Metab. 2012 May;16(3):450-2. doi: 10.4103/2230-8210.95711.
4
Atypical femoral fractures and bisphosphonate treatment: experience in two large United Kingdom teaching hospitals.非典型股骨骨折与双膦酸盐治疗:英国两家大型教学医院的经验
J Bone Joint Surg Br. 2012 Mar;94(3):385-90. doi: 10.1302/0301-620X.94B3.27999.
5
Use of proton pump inhibitors and risk of hip fracture in relation to dietary and lifestyle factors: a prospective cohort study.质子泵抑制剂的使用与髋部骨折风险与饮食和生活方式因素的关系:一项前瞻性队列研究。
BMJ. 2012 Jan 30;344:e372. doi: 10.1136/bmj.e372.
6
Bisphosphonate use and atypical fractures of the femoral shaft.双膦酸盐类药物的应用与股骨干非典型骨折。
N Engl J Med. 2011 May 5;364(18):1728-37. doi: 10.1056/NEJMoa1010650.
7
Bisphosphonates for osteoporosis.用于治疗骨质疏松症的双膦酸盐类药物。
N Engl J Med. 2010 Nov 18;363(21):2027-35. doi: 10.1056/NEJMct1004903.
8
Atypical subtrochanteric and diaphyseal femoral fractures: report of a task force of the American Society for Bone and Mineral Research.非典型转子下和骨干股骨骨折:美国骨矿研究学会工作组报告。
J Bone Miner Res. 2010 Nov;25(11):2267-94. doi: 10.1002/jbmr.253.
9
Atypical femoral fractures and bisphosphonate use.非典型股骨骨折与双膦酸盐类药物的使用
N Engl J Med. 2010 May 13;362(19):1848-9. doi: 10.1056/NEJMc0910389.
10
Bilateral low-energy simultaneous or sequential femoral fractures in patients on long-term alendronate therapy.长期接受阿仑膦酸盐治疗的患者发生双侧低能量同时性或序贯性股骨骨折。
J Bone Joint Surg Am. 2009 Nov;91(11):2556-61. doi: 10.2106/JBJS.H.01774.