Suppr超能文献

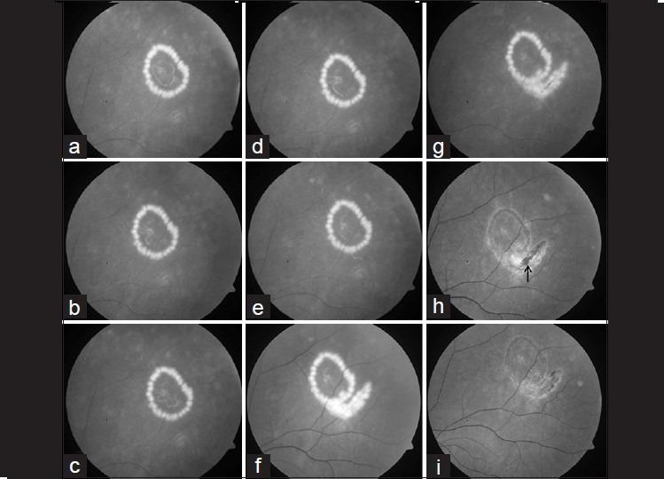
Live subretinal nematode: management by focal argon laser photocoagulation with spectral domain OCT analysis.

作者信息

Sheth Jay, Sharma Ashish, Sundaramoorthy Selva

机构信息

Department of Ophthalmology, Lotus Eye Care Hospital, Coimbatore, Tamil Nadu, India, .

出版信息

Indian J Ophthalmol. 2014 Aug;62(8):899-901. doi: 10.4103/0301-4738.141081.

Abstract
摘要
https://cdn.ncbi.nlm.nih.gov/pmc/blobs/5ba7/4185180/2b4606a42792/IJO-62-899-g001.jpg

相似文献

1
Live subretinal nematode: management by focal argon laser photocoagulation with spectral domain OCT analysis.
Indian J Ophthalmol. 2014 Aug;62(8):899-901. doi: 10.4103/0301-4738.141081.
2
High-definition spectral domain OCT of a subretinal nematode.
Eye (Lond). 2010 Feb;24(2):393-4. doi: 10.1038/eye.2009.110. Epub 2009 May 15.
3
Diffuse Unilateral Subacute Neuroretinitis From Raccoon Exposure Resistant to Laser Photocoagulation.
Ophthalmic Surg Lasers Imaging Retina. 2016 Jul 1;47(7):686-90. doi: 10.3928/23258160-20160707-14.
4
Spectral-domain optical coherence tomography appearance of a retinal nematode.
Ophthalmic Surg Lasers Imaging Retina. 2013 Nov 25;44 Online:E17-9. doi: 10.3928/23258160-20131111-01.
5
Multifocal electroretinography response after laser photocoagulation of a subretinal nematode.
Am J Ophthalmol. 2002 Mar;133(3):417-9. doi: 10.1016/s0002-9394(01)01331-9.
7
Diagnostic and therapeutic challenges. Diffuse unilateral subacute neuroretinitis.
Retina. 2003 Feb;23(1):92-6. doi: 10.1097/00006982-200302000-00015.
9
Diffuse bilateral subacute neuroretinitis: first patient with documented nematodes in both eyes.
Arch Ophthalmol. 1999 Oct;117(10):1349-51. doi: 10.1001/archopht.117.10.1349.

本文引用的文献

1
High-definition spectral domain OCT of a subretinal nematode.
Eye (Lond). 2010 Feb;24(2):393-4. doi: 10.1038/eye.2009.110. Epub 2009 May 15.
2
"Worm in the eye": the rationale for treatment of DUSN in south India.
Br J Ophthalmol. 2006 Sep;90(9):1125-7. doi: 10.1136/bjo.2006.094490. Epub 2006 May 17.
4
Further observations concerning the diffuse unilateral subacute neuroretinitis syndrome.
Arch Ophthalmol. 1983 Nov;101(11):1689-97. doi: 10.1001/archopht.1983.01040020691004.
5
Diffuse unilateral subacute neuroretinitis in South America.
Arch Ophthalmol. 1992 Sep;110(9):1261-3. doi: 10.1001/archopht.1992.01080210079029.

文献AI研究员

20分钟写一篇综述,助力文献阅读效率提升50倍。

立即体验

用中文搜PubMed

大模型驱动的PubMed中文搜索引擎

马上搜索

文档翻译

学术文献翻译模型,支持多种主流文档格式。

立即体验