Suppr超能文献

下颌下腺发育不全:两例报告并文献复习

Agenesis of submandibular glands: a report of two cases with review of literature.

作者信息

Kara Medine, Güçlü Oğuz, Dereköy Fevzi Sefa, Resorlu Mustafa, Adam Gürhan

机构信息

Department of Otolaryngology, Canakkale Onsekiz Mart University Medical Hospital, Canakkale, Turkey.

Department of Radiology, Canakkale Onsekiz Mart University Medical Hospital, Canakkale, Turkey.

出版信息

Case Rep Otolaryngol. 2014;2014:569026. doi: 10.1155/2014/569026. Epub 2014 Sep 1.

Abstract

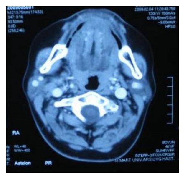
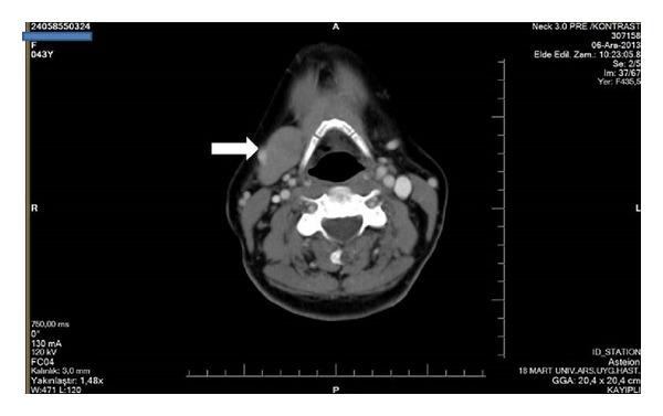
Background. Congenital absence of the submandibular gland (SMG) is a rare condition. Although complaints such as dry mouth, dental problems, or difficulty in swallowing may be seen, the subjects may also be asymptomatic. The absence of the SMG may be associated with hypertrophy of the contralateral SMG. Case Report. We report the case of a 44-year-old woman with incidentally detected left SMG aplasia, with contralateral SMG hypertrophy mimicking a mass, and the case of a 46-year-old woman with incidentally detected bilateral SMG aplasia, demonstrated by computerized tomography (CT) and magnetic resonance imaging (MRI). Conclusion. It is important for the clinician to know that this very rare abnormality may exist. When such a case is encountered, symptoms and findings should be reevaluated and, if necessary, conservative therapy should be initiated. The possibility of observing additional deformities should be kept in mind and an evaluation should be done for other cases in the family.

摘要

背景。先天性下颌下腺缺如(SMG)是一种罕见的病症。尽管可能会出现口干、牙齿问题或吞咽困难等症状,但患者也可能没有症状。SMG缺如可能与对侧SMG肥大有关。病例报告。我们报告了一例44岁女性,偶然发现左侧SMG发育不全,对侧SMG肥大类似肿块;以及一例46岁女性,偶然发现双侧SMG发育不全,通过计算机断层扫描(CT)和磁共振成像(MRI)得以证实。结论。临床医生了解这种非常罕见的异常情况可能存在很重要。遇到此类病例时,应重新评估症状和检查结果,必要时应开始保守治疗。应牢记观察到其他畸形的可能性,并对家族中的其他病例进行评估。

https://cdn.ncbi.nlm.nih.gov/pmc/blobs/3afa/4165628/e61c043982ee/CRIOT2014-569026.001.jpg

文献检索

告别复杂PubMed语法,用中文像聊天一样搜索,搜遍4000万医学文献。AI智能推荐,让科研检索更轻松。

立即免费搜索

文件翻译

保留排版,准确专业,支持PDF/Word/PPT等文件格式,支持 12+语言互译。

免费翻译文档

深度研究

AI帮你快速写综述,25分钟生成高质量综述,智能提取关键信息,辅助科研写作。

立即免费体验