• 文献检索
  • 文档翻译
  • 深度研究
  • 学术资讯
  • Suppr Zotero 插件Zotero 插件
  • 邀请有礼
  • 套餐&价格
  • 历史记录
应用&插件
Suppr Zotero 插件Zotero 插件浏览器插件Mac 客户端Windows 客户端微信小程序
定价
高级版会员购买积分包购买API积分包
服务
文献检索文档翻译深度研究API 文档MCP 服务
关于我们
关于 Suppr公司介绍联系我们用户协议隐私条款
关注我们

Suppr 超能文献

核心技术专利:CN118964589B侵权必究
粤ICP备2023148730 号-1Suppr @ 2026

文献检索

告别复杂PubMed语法,用中文像聊天一样搜索,搜遍4000万医学文献。AI智能推荐,让科研检索更轻松。

立即免费搜索

文件翻译

保留排版,准确专业,支持PDF/Word/PPT等文件格式,支持 12+语言互译。

免费翻译文档

深度研究

AI帮你快速写综述,25分钟生成高质量综述,智能提取关键信息,辅助科研写作。

立即免费体验

防止C57BL/6小鼠中5-羟色胺2C受体RNA编辑和可变剪接会激活下丘脑-垂体-肾上腺轴并改变情绪。

Prevention of 5-hydroxytryptamine2C receptor RNA editing and alternate splicing in C57BL/6 mice activates the hypothalamic-pituitary-adrenal axis and alters mood.

作者信息

Bombail Vincent, Qing Wei, Chapman Karen E, Holmes Megan C

机构信息

University/BHF Centre for Cardiovascular Science, The Queen's Medical Research Institute, University of Edinburgh, Edinburgh, UK.

出版信息

Eur J Neurosci. 2014 Dec;40(11):3663-73. doi: 10.1111/ejn.12727. Epub 2014 Sep 26.

DOI:10.1111/ejn.12727
PMID:25257581
原文链接:https://pmc.ncbi.nlm.nih.gov/articles/PMC4282755/
Abstract

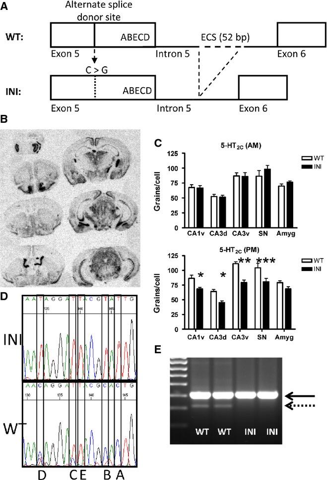
The 5-hydroxytryptamine2C (5-HT)2C receptor is widely implicated in the aetiology of affective and eating disorders as well as regulation of the hypothalamo-pituitary-adrenal axis. Signalling through this receptor is regulated by A-to-I RNA editing, affecting three amino acids in the protein sequence, with unedited transcripts encoding a receptor (INI) that, in vitro, is hyperactive compared with edited isoforms. Targeted alteration (knock-in) of the Htr2c gene to generate 'INI' mice with no alternate splicing, solely expressing the full-length unedited isoform, did not produce an overt metabolic phenotype or altered anxiety behaviour, but did display reduced depressive-like and fear-associated behaviours. INI mice exhibited a hyperactive hypothalamo-pituitary-adrenal axis, with increased nadir plasma corticosterone and corticotrophin-releasing hormone expression in the hypothalamus but responded normally to chronic stress and showed normal circadian activity and activity in a novel environment. The circadian patterns of 5-HT2C receptor mRNA and mbii52, a snoRNA known to regulate RNA editing and RNA splicing of 5-HT2C receptor pre-mRNA, were altered in INI mice compared with wild-type control mice. Moreover, levels of 5-HT1A receptor mRNA were increased in the hippocampus of INI mice. These gene expression changes may underpin the neuroendocrine and behavioural changes observed in INI mice. However, the phenotype of INI mice was not consistent with a globally hyperactive INI receptor encoded by the unedited transcript in the absence of alternate splicing. Hence, the in vivo outcome of RNA editing may be neuronal cell type specific.

摘要

5-羟色胺2C(5-HT)2C受体广泛涉及情感和饮食失调的病因以及下丘脑-垂体-肾上腺轴的调节。通过该受体的信号传导受A到I RNA编辑的调节,影响蛋白质序列中的三个氨基酸,未编辑的转录本编码一种受体(INI),在体外,与编辑后的异构体相比,该受体具有更高的活性。对Htr2c基因进行靶向改变(敲入)以产生没有可变剪接、仅表达全长未编辑异构体的“INI”小鼠,并未产生明显的代谢表型或改变焦虑行为,但确实表现出抑郁样和恐惧相关行为减少。INI小鼠表现出下丘脑-垂体-肾上腺轴功能亢进,下丘脑最低血浆皮质酮和促肾上腺皮质激素释放激素表达增加,但对慢性应激反应正常,在新环境中表现出正常的昼夜活动和行为。与野生型对照小鼠相比,INI小鼠中5-HT2C受体mRNA和mbii52(一种已知调节5-HT2C受体前体mRNA的RNA编辑和RNA剪接的小核仁RNA)的昼夜模式发生了改变。此外,INI小鼠海马中5-HT1A受体mRNA水平升高。这些基因表达变化可能是INI小鼠中观察到的神经内分泌和行为变化的基础。然而,INI小鼠的表型与在没有可变剪接的情况下由未编辑转录本编码的全局活性过高的INI受体不一致。因此,RNA编辑的体内结果可能具有神经元细胞类型特异性。

https://cdn.ncbi.nlm.nih.gov/pmc/blobs/f6f6/4282755/950040aafa2d/ejn0040-3663-f7.jpg
https://cdn.ncbi.nlm.nih.gov/pmc/blobs/f6f6/4282755/08d3bf9ec65f/ejn0040-3663-f1.jpg
https://cdn.ncbi.nlm.nih.gov/pmc/blobs/f6f6/4282755/41100de126cd/ejn0040-3663-f2.jpg
https://cdn.ncbi.nlm.nih.gov/pmc/blobs/f6f6/4282755/b47bb69973ef/ejn0040-3663-f3.jpg
https://cdn.ncbi.nlm.nih.gov/pmc/blobs/f6f6/4282755/c867ee81f2fa/ejn0040-3663-f4.jpg
https://cdn.ncbi.nlm.nih.gov/pmc/blobs/f6f6/4282755/2b43e09f6214/ejn0040-3663-f5.jpg
https://cdn.ncbi.nlm.nih.gov/pmc/blobs/f6f6/4282755/a66b031d83b6/ejn0040-3663-f6.jpg
https://cdn.ncbi.nlm.nih.gov/pmc/blobs/f6f6/4282755/950040aafa2d/ejn0040-3663-f7.jpg
https://cdn.ncbi.nlm.nih.gov/pmc/blobs/f6f6/4282755/08d3bf9ec65f/ejn0040-3663-f1.jpg
https://cdn.ncbi.nlm.nih.gov/pmc/blobs/f6f6/4282755/41100de126cd/ejn0040-3663-f2.jpg
https://cdn.ncbi.nlm.nih.gov/pmc/blobs/f6f6/4282755/b47bb69973ef/ejn0040-3663-f3.jpg
https://cdn.ncbi.nlm.nih.gov/pmc/blobs/f6f6/4282755/c867ee81f2fa/ejn0040-3663-f4.jpg
https://cdn.ncbi.nlm.nih.gov/pmc/blobs/f6f6/4282755/2b43e09f6214/ejn0040-3663-f5.jpg
https://cdn.ncbi.nlm.nih.gov/pmc/blobs/f6f6/4282755/a66b031d83b6/ejn0040-3663-f6.jpg
https://cdn.ncbi.nlm.nih.gov/pmc/blobs/f6f6/4282755/950040aafa2d/ejn0040-3663-f7.jpg

相似文献

1
Prevention of 5-hydroxytryptamine2C receptor RNA editing and alternate splicing in C57BL/6 mice activates the hypothalamic-pituitary-adrenal axis and alters mood.防止C57BL/6小鼠中5-羟色胺2C受体RNA编辑和可变剪接会激活下丘脑-垂体-肾上腺轴并改变情绪。
Eur J Neurosci. 2014 Dec;40(11):3663-73. doi: 10.1111/ejn.12727. Epub 2014 Sep 26.
2
Serotonin activates the hypothalamic-pituitary-adrenal axis via serotonin 2C receptor stimulation.血清素通过刺激血清素2C受体激活下丘脑-垂体-肾上腺轴。
J Neurosci. 2007 Jun 27;27(26):6956-64. doi: 10.1523/JNEUROSCI.2584-06.2007.
3
Postnatal light alters hypothalamic-pituitary-adrenal axis function and induces a depressive-like phenotype in adult mice.产后光照会改变成年小鼠的下丘脑-垂体-肾上腺轴功能,并诱发类似抑郁的表型。
Eur J Neurosci. 2016 Nov;44(10):2807-2817. doi: 10.1111/ejn.13388. Epub 2016 Sep 18.
4
Involvement of serotonin 2C receptor RNA editing in accumbal neuropeptide Y expression and behavioural despair.5-羟色胺2C受体RNA编辑参与伏隔核神经肽Y表达及行为绝望。
Eur J Neurosci. 2016 May;43(9):1219-28. doi: 10.1111/ejn.13233. Epub 2016 Apr 5.
5
Functional relevance of serotonin 2C receptor mRNA editing in antidepressant- and anxiety-like behaviors.5-羟色胺 2C 受体 mRNA 编辑在抗抑郁和焦虑样行为中的功能相关性。
Neuropharmacology. 2010 Nov;59(6):468-73. doi: 10.1016/j.neuropharm.2010.06.009. Epub 2010 Jul 17.
6
Ontogeny of hypothalamic glucocorticoid receptor-mediated inhibition of the hypothalamic-pituitary-adrenal axis in mice.小鼠下丘脑糖皮质激素受体介导的下丘脑-垂体-肾上腺轴抑制的个体发生。
Stress. 2015;18(4):400-7. doi: 10.3109/10253890.2015.1046832. Epub 2015 Jun 11.
7
RNA editing of the serotonin 2C receptor and expression of Galpha(q) protein: genetic mouse models do not support a role for regulation or compensation.血清素2C受体的RNA编辑与Gα(q)蛋白的表达:基因小鼠模型不支持其在调节或补偿中的作用。
J Neurochem. 2009 Mar;108(5):1136-42. doi: 10.1111/j.1471-4159.2008.05852.x. Epub 2009 Jan 20.
8
Decreased daytime illumination leads to anxiety-like behaviors and HPA axis dysregulation in the diurnal grass rat (Arvicanthis niloticus).白天光照减少会导致昼行性草鼠(非洲沼鼠)出现焦虑样行为和下丘脑-垂体-肾上腺(HPA)轴功能失调。
Behav Brain Res. 2016 Mar 1;300:77-84. doi: 10.1016/j.bbr.2015.12.004. Epub 2015 Dec 9.
9
Chronic activation of corticotropin-releasing factor type 2 receptors reveals a key role for 5-HT1A receptor responsiveness in mediating behavioral and serotonergic responses to stressful challenge.慢性激活促肾上腺皮质释放因子 2 型受体揭示了 5-HT1A 受体反应性在介导应激挑战的行为和血清素反应中的关键作用。
Biol Psychiatry. 2012 Sep 15;72(6):437-47. doi: 10.1016/j.biopsych.2012.05.005. Epub 2012 Jun 15.
10
5-HT(2C) receptor RNA editing in the amygdala of C57BL/6J, DBA/2J, and BALB/cJ mice.C57BL/6J、DBA/2J和BALB/cJ小鼠杏仁核中5-羟色胺(2C)受体RNA编辑
Neurosci Res. 2006 May;55(1):96-104. doi: 10.1016/j.neures.2006.02.005. Epub 2006 Apr 3.

引用本文的文献

1
In Silico Discovery of Potential Inhibitors Targeting the RNA Binding Loop of ADAR2 and 5-HT2CR from Traditional Chinese Natural Compounds.基于传统中药天然产物库,利用计算机技术筛选靶向 ADAR2 和 5-HT2CR 的 RNA 结合环的潜在抑制剂。
Int J Mol Sci. 2023 Aug 9;24(16):12612. doi: 10.3390/ijms241612612.
2
Molecular Docking and Dynamics Simulation Studies Predict Potential Anti-ADAR2 Inhibitors: Implications for the Treatment of Cancer, Neurological, Immunological and Infectious Diseases.分子对接和动力学模拟研究预测潜在的 ADAR2 抑制剂:对癌症、神经、免疫和传染病治疗的意义。
Int J Mol Sci. 2023 Apr 5;24(7):6795. doi: 10.3390/ijms24076795.
3

本文引用的文献

1
Neural control of chronic stress adaptation.慢性应激适应的神经控制
Front Behav Neurosci. 2013 Aug 8;7:61. doi: 10.3389/fnbeh.2013.00061. eCollection 2013.
2
RNA splicing and editing modulation of 5-HT(2C) receptor function: relevance to anxiety and aggression in VGV mice.RNA 剪接和编辑对 5-HT(2C) 受体功能的调节:与 VGV 小鼠的焦虑和攻击行为的相关性。
Mol Psychiatry. 2013 Jun;18(6):656-65. doi: 10.1038/mp.2012.171. Epub 2012 Dec 18.
3
Quantitative analysis of focused a-to-I RNA editing sites by ultra-high-throughput sequencing in psychiatric disorders.
Deciphering the Biological Significance of ADAR1-Z-RNA Interactions.
解析 ADAR1-Z-RNA 相互作用的生物学意义。
Int J Mol Sci. 2021 Oct 23;22(21):11435. doi: 10.3390/ijms222111435.
4
RNA Editing and Modifications in Mood Disorders.心境障碍中的 RNA 编辑与修饰。
Genes (Basel). 2020 Jul 31;11(8):872. doi: 10.3390/genes11080872.
5
RNA Editing of Serotonin 2C Receptor and Alcohol Intake.血清素2C受体的RNA编辑与酒精摄入
Front Neurosci. 2020 Jan 14;13:1390. doi: 10.3389/fnins.2019.01390. eCollection 2019.
6
Adenosine-to-Inosine RNA Editing Within Corticolimbic Brain Regions Is Regulated in Response to Chronic Social Defeat Stress in Mice.小鼠皮质边缘脑区的腺苷到肌苷RNA编辑受慢性社会挫败应激调节。
Front Psychiatry. 2019 Apr 26;10:277. doi: 10.3389/fpsyt.2019.00277. eCollection 2019.
7
Using mouse models to unlock the secrets of non-synonymous RNA editing.利用小鼠模型揭示非 synonymous RNA 编辑的奥秘。
Methods. 2019 Mar 1;156:40-45. doi: 10.1016/j.ymeth.2018.10.016. Epub 2018 Oct 26.
8
Pre-reproductive stress and fluoxetine treatment in rats affect offspring A-to-I RNA editing, gene expression and social behavior.大鼠的生殖前应激和氟西汀治疗会影响后代的A到I RNA编辑、基因表达和社会行为。
Environ Epigenet. 2018 Aug 8;4(2):dvy021. doi: 10.1093/eep/dvy021. eCollection 2018 Apr.
9
A short history of the 5-HT receptor: from the choroid plexus to depression, obesity and addiction treatment.5-羟色胺受体简史:从脉络丛到抑郁症、肥胖症及成瘾治疗
Psychopharmacology (Berl). 2017 May;234(9-10):1395-1418. doi: 10.1007/s00213-017-4545-5. Epub 2017 Mar 7.
10
Ketamine up-regulates a cluster of intronic miRNAs within the serotonin receptor 2C gene by inhibiting glycogen synthase kinase-3.氯胺酮通过抑制糖原合酶激酶-3上调血清素受体2C基因内的一组内含子miRNA。
World J Biol Psychiatry. 2017 Sep;18(6):445-456. doi: 10.1080/15622975.2016.1224927. Epub 2016 Oct 10.
超高通量测序在精神疾病中靶向 a-to-I RNA 编辑位点的定量分析。
PLoS One. 2012;7(8):e43227. doi: 10.1371/journal.pone.0043227. Epub 2012 Aug 17.
4
Effects of environmental manipulations in genetically targeted animal models of affective disorders.情感障碍的基因靶向动物模型中的环境操作的影响。
Neurobiol Dis. 2013 Sep;57:12-27. doi: 10.1016/j.nbd.2012.04.003. Epub 2012 Apr 16.
5
Dynamic 5-HT2C receptor editing in a mouse model of obesity.肥胖症小鼠模型中的动态 5-HT2C 受体编辑。
PLoS One. 2012;7(3):e32266. doi: 10.1371/journal.pone.0032266. Epub 2012 Mar 20.
6
The molecular physiology of CRH neurons.促肾上腺皮质激素释放激素神经元的分子生理学。
Front Neuroendocrinol. 2012 Jan;33(1):67-84. doi: 10.1016/j.yfrne.2011.08.002. Epub 2011 Aug 18.
7
The melatonergic agonist and clinically active antidepressant, agomelatine, is a neutral antagonist at 5-HT(2C) receptors.褪黑素激动剂和临床有效的抗抑郁药阿戈美拉汀是 5-HT(2C)受体的中性拮抗剂。
Int J Neuropsychopharmacol. 2011 Jul;14(6):768-83. doi: 10.1017/S1461145710001045. Epub 2010 Oct 15.
8
Functional relevance of serotonin 2C receptor mRNA editing in antidepressant- and anxiety-like behaviors.5-羟色胺 2C 受体 mRNA 编辑在抗抑郁和焦虑样行为中的功能相关性。
Neuropharmacology. 2010 Nov;59(6):468-73. doi: 10.1016/j.neuropharm.2010.06.009. Epub 2010 Jul 17.
9
Impact of RNA editing on functions of the serotonin 2C receptor in vivo.体内 RNA 编辑对 5-羟色胺 2C 受体功能的影响。
Front Neurosci. 2010 Mar 16;4:26. doi: 10.3389/neuro.23.001.2010. eCollection 2010.
10
Mice with altered serotonin 2C receptor RNA editing display characteristics of Prader-Willi syndrome.改变 5-羟色胺 2C 受体 RNA 编辑的小鼠表现出普拉德-威利综合征的特征。
Neurobiol Dis. 2010 Aug;39(2):169-80. doi: 10.1016/j.nbd.2010.04.004. Epub 2010 Apr 13.