Moon Jong-Hyun, Jung Hae-Won, Lee Hee-Chun, Jeon Joon-Hyeok, Kim Na-Hyun, Sur Jung-Hyang, Ha Jeongim, Jung Dong-In
Institute of Animal Medicine, College of Veterinary Medicine, Gyeongsang National University, Jinju 660-701, Korea.
J Vet Sci. 2015;16(2):203-11. doi: 10.4142/jvs.2015.16.2.203. Epub 2014 Sep 30.
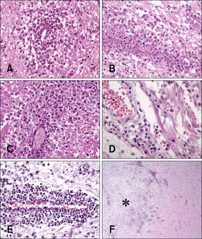
In the present study, the use of dogs with experimental autoimmune encephalomyelitis (EAE) as a disease model for necrotizing encephalitis (NE) was assessed. Twelve healthy dogs were included in this study. Canine forebrain tissues (8 g), including white and grey matter, were homogenized with 4 mL of phosphate-buffered saline for 5 min in an ice bath. The suspension was emulsified with the same volume of Freund's complete adjuvant containing 1 mg/mL of killed Mycobacterium tuberculosis H37Ra. Under sedation, each dog was injected subcutaneously with canine brain homogenate at four sites: two in the inguinal and two in the axillary regions. A second injection (booster) was administered to all the dogs using the same procedure 7 days after the first injection. Clinical assessment, magnetic resonance imaging, cerebrospinal fluid analyses, necropsies, and histopathological and immunohistochemical examinations were performed for the dogs with EAE. Out of the 12 animals, seven (58%) developed clinically manifest EAE at various times after immunization. Characteristics of canine EAE models were very similar to canine NE, suggesting that canine EAE can be a disease model for NE in dogs.
在本研究中,评估了将实验性自身免疫性脑脊髓炎(EAE)犬作为坏死性脑炎(NE)疾病模型的用途。本研究纳入了12只健康犬。将包括白质和灰质的犬前脑组织(8克)与4毫升磷酸盐缓冲盐水在冰浴中匀浆5分钟。将该悬浮液与等体积的含有1毫克/毫升灭活结核分枝杆菌H37Ra的弗氏完全佐剂乳化。在镇静状态下,每只犬在四个部位皮下注射犬脑匀浆:两个在腹股沟区,两个在腋窝区。首次注射7天后,对所有犬采用相同程序进行第二次注射(加强注射)。对患有EAE的犬进行了临床评估、磁共振成像、脑脊液分析、尸检以及组织病理学和免疫组织化学检查。在这12只动物中,7只(58%)在免疫后的不同时间出现了临床明显的EAE。犬EAE模型的特征与犬NE非常相似,表明犬EAE可以作为犬NE的疾病模型。