Suppr超能文献

结肠弥漫性大B细胞淋巴瘤伴同步肝转移:1例罕见病例报告,酷似转移性结直肠癌。

Diffuse large B-cell lymphoma of the colon with synchronous liver metastasis: a rare case report mimicking metastatic colorectal adenocarcinoma.

作者信息

Risio Domenico, Percario Rossana, Legnini Margherita, Caldaralo Francesco, Angelucci Domenico, Marinelli Camilla, D'Aulerio Alberto, Cotellese Roberto, Napolitano Luca, Innocenti Paolo

机构信息

Unit of General and Laparoscopic Surgery, "G, d'Annunzio" University, Via dei Vestini 31, 66100 Chieti, Italy.

出版信息

BMC Surg. 2014 Oct 7;14:75. doi: 10.1186/1471-2482-14-75.

Abstract

BACKGROUND

Primary colorectal lymphoma represents a rare minority among the colonic neoplasms. Early diagnosis is often difficult because of unspecific symptoms, with subsequent delays in diagnosis and management. We describe a rare case of colonic lymphoma presenting with synchronous liver metastasis.

CASE PRESENTATION

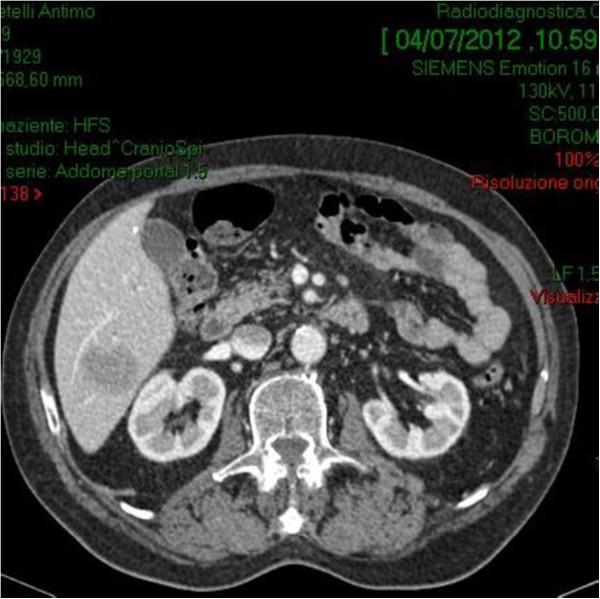
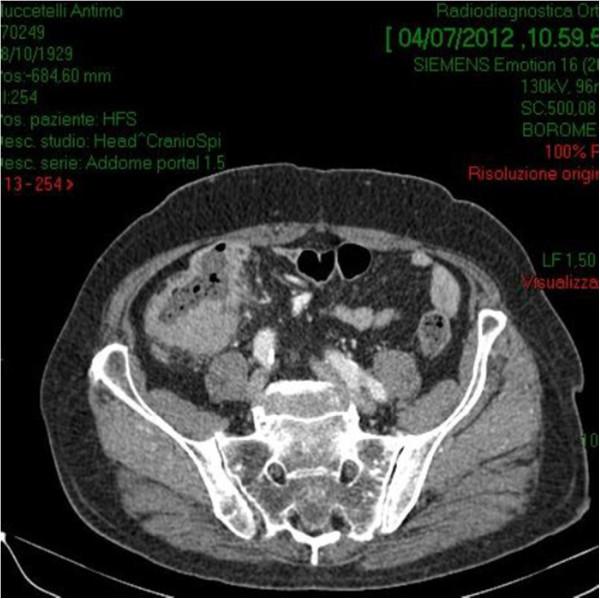
A 70-year-old male with a 6-mo history of vague abdominal pain, constipation and melena was referred to our hospital. Computed tomography scan of abdomen revealed the presence of a mass along the proximal ascending colon. Colonoscopy biopsy showed external compression of the cecum with two ulcerations of mucosa, but it was not consistent for a definitive diagnosis. Because the difficulties in the preoperative pathological diagnosis, the high risk of bowel obstruction and the correlated hemorrhagic risk, the patient underwent a right hemicolectomy associated with locoregional lymphadenectomy and liver resection.The surgically resected right colon and liver tumors were all immunohistochemically diagnosed as diffuse large B-cell lymphomas (DLBCL). The patient refused any other antineoplastic treatment; he is alive and free of disease at 3 years after initial diagnosis.

CONCLUSIONS

Primary colonic lymphomas represent a rare minority among the colonic neoplasms. Their correct pre-operative identification is crucial for the design of treatment. This case highlights the difficulty in diagnosing of primary colonic lymphoma. To our knowledge, this is the first report of a colonic lymphoma presenting with a colonic mass and a synchronous liver metastasis.

摘要

背景

原发性结直肠淋巴瘤在结肠肿瘤中占比极少。由于症状不具特异性,早期诊断往往困难,进而导致诊断和治疗延迟。我们描述了一例罕见的伴有同步肝转移的结肠淋巴瘤病例。

病例介绍

一名70岁男性,有6个月的腹部隐痛、便秘和黑便病史,转诊至我院。腹部计算机断层扫描显示升结肠近端有一肿块。结肠镜活检显示盲肠受外部压迫,黏膜有两处溃疡,但这并不足以确诊。由于术前病理诊断困难、肠梗阻风险高以及相关出血风险,患者接受了右半结肠切除术,同时行局部淋巴结清扫和肝切除术。手术切除的右结肠和肝肿瘤经免疫组织化学诊断均为弥漫性大B细胞淋巴瘤(DLBCL)。患者拒绝任何其他抗肿瘤治疗;初次诊断3年后仍存活且无疾病复发。

结论

原发性结肠淋巴瘤在结肠肿瘤中占比极少。其正确的术前识别对治疗方案的设计至关重要。本病例突出了原发性结肠淋巴瘤诊断的困难。据我们所知,这是首例伴有结肠肿块和同步肝转移的结肠淋巴瘤报告。

https://cdn.ncbi.nlm.nih.gov/pmc/blobs/970f/4194446/096407723675/1471-2482-14-75-1.jpg

文献AI研究员

20分钟写一篇综述,助力文献阅读效率提升50倍。

立即体验

用中文搜PubMed

大模型驱动的PubMed中文搜索引擎

马上搜索

文档翻译

学术文献翻译模型,支持多种主流文档格式。

立即体验