• 文献检索
  • 文档翻译
  • 深度研究
  • 学术资讯
  • Suppr Zotero 插件Zotero 插件
  • 邀请有礼
  • 套餐&价格
  • 历史记录
应用&插件
Suppr Zotero 插件Zotero 插件浏览器插件Mac 客户端Windows 客户端微信小程序
定价
高级版会员购买积分包购买API积分包
服务
文献检索文档翻译深度研究API 文档MCP 服务
关于我们
关于 Suppr公司介绍联系我们用户协议隐私条款
关注我们

Suppr 超能文献

核心技术专利:CN118964589B侵权必究
粤ICP备2023148730 号-1Suppr @ 2026

文献检索

告别复杂PubMed语法,用中文像聊天一样搜索,搜遍4000万医学文献。AI智能推荐,让科研检索更轻松。

立即免费搜索

文件翻译

保留排版,准确专业,支持PDF/Word/PPT等文件格式,支持 12+语言互译。

免费翻译文档

深度研究

AI帮你快速写综述,25分钟生成高质量综述,智能提取关键信息,辅助科研写作。

立即免费体验

大鼠严重钝性肌肉创伤:损伤区域仅有轻微缺氧。

Severe blunt muscle trauma in rats: only marginal hypoxia in the injured area.

作者信息

Funk Kristina, Scheerer Nina, Verhaegh Rabea, Pütter Carolin, Fandrey Joachim, de Groot Herbert

机构信息

University of Duisburg-Essen, Institute of Physiological Chemistry, University Hospital Essen, Essen, Germany.

University of Duisburg-Essen, Institute of Physiology, University Hospital Essen, Essen, Germany.

出版信息

PLoS One. 2014 Oct 31;9(10):e111151. doi: 10.1371/journal.pone.0111151. eCollection 2014.

DOI:10.1371/journal.pone.0111151
PMID:25360779
原文链接:https://pmc.ncbi.nlm.nih.gov/articles/PMC4215885/
Abstract

BACKGROUND

After severe muscle trauma, hypoxia due to microvascular perfusion failure is generally believed to further increase local injury and to impair healing. However, detailed analysis of hypoxia at the cellular level is missing. Therefore, in the present work, spectroscopic measurements of microvascular blood flow and O2 supply were combined with immunological detection of hypoxic cells to estimate O2 conditions within the injured muscle area.

MATERIALS AND METHODS

Severe blunt muscle trauma was induced in the right Musculus gastrocnemius of male Wistar rats by a standardized "weight-drop" device. Microvascular blood flow, relative hemoglobin amount, and hemoglobin O2 saturation were determined by laser Doppler and white-light spectroscopy. Hypoxic cells were detected by histologic evaluation of covalent binding of pimonidazole and expression of HIF-1α.

RESULTS

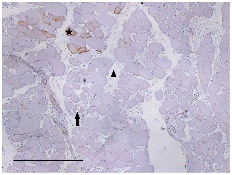
Directly after trauma and until the end of experiment (480 minutes), microvascular blood flow and relative hemoglobin amount were clearly increased. In contrast to blood flow and relative hemoglobin amount, there was no immediate but a delayed increase of microvascular hemoglobin O2 saturation. Pimonidazole immunostaining revealed a hypoxic fraction (percentage area of pimonidazole-labelled muscle cells within the injured area) between 8 to 3%. There was almost no HIF-1α expression detectable in the muscle cells under each condition studied.

CONCLUSIONS

In the early phase (up to 8 hours) after severe blunt muscle trauma, the overall microvascular perfusion of the injured area and thus its O2 supply is clearly increased. This increased O2 supply is obviously sufficient to ensure normoxic (or even hyperoxic) conditions in the vast majority of the cells.

摘要

背景

严重肌肉创伤后,一般认为微血管灌注衰竭导致的缺氧会进一步加重局部损伤并阻碍愈合。然而,目前尚缺乏细胞水平上缺氧情况的详细分析。因此,在本研究中,我们将微血管血流和氧气供应的光谱测量与缺氧细胞的免疫检测相结合,以评估损伤肌肉区域内的氧气状况。

材料与方法

使用标准化的“重物下落”装置对雄性Wistar大鼠右腓肠肌造成严重钝性肌肉创伤。通过激光多普勒和白光光谱法测定微血管血流、相对血红蛋白量和血红蛋白氧饱和度。通过对匹莫硝唑共价结合的组织学评估和HIF-1α的表达来检测缺氧细胞。

结果

创伤后即刻直至实验结束(480分钟),微血管血流和相对血红蛋白量明显增加。与血流和相对血红蛋白量不同,微血管血红蛋白氧饱和度没有即刻升高,而是出现延迟升高。匹莫硝唑免疫染色显示缺氧分数(损伤区域内匹莫硝唑标记的肌肉细胞所占面积百分比)在8%至3%之间。在所研究的每种条件下,肌肉细胞中几乎检测不到HIF-1α表达。

结论

在严重钝性肌肉创伤后的早期阶段(长达8小时),损伤区域的整体微血管灌注及其氧气供应明显增加。这种增加的氧气供应显然足以确保绝大多数细胞处于常氧(甚至高氧)状态。

https://cdn.ncbi.nlm.nih.gov/pmc/blobs/9928/4215885/11605f308765/pone.0111151.g005.jpg
https://cdn.ncbi.nlm.nih.gov/pmc/blobs/9928/4215885/21b7a3fc554c/pone.0111151.g001.jpg
https://cdn.ncbi.nlm.nih.gov/pmc/blobs/9928/4215885/17db750d6ca6/pone.0111151.g002.jpg
https://cdn.ncbi.nlm.nih.gov/pmc/blobs/9928/4215885/c9f7454138de/pone.0111151.g003.jpg
https://cdn.ncbi.nlm.nih.gov/pmc/blobs/9928/4215885/0b29086bd978/pone.0111151.g004.jpg
https://cdn.ncbi.nlm.nih.gov/pmc/blobs/9928/4215885/11605f308765/pone.0111151.g005.jpg
https://cdn.ncbi.nlm.nih.gov/pmc/blobs/9928/4215885/21b7a3fc554c/pone.0111151.g001.jpg
https://cdn.ncbi.nlm.nih.gov/pmc/blobs/9928/4215885/17db750d6ca6/pone.0111151.g002.jpg
https://cdn.ncbi.nlm.nih.gov/pmc/blobs/9928/4215885/c9f7454138de/pone.0111151.g003.jpg
https://cdn.ncbi.nlm.nih.gov/pmc/blobs/9928/4215885/0b29086bd978/pone.0111151.g004.jpg
https://cdn.ncbi.nlm.nih.gov/pmc/blobs/9928/4215885/11605f308765/pone.0111151.g005.jpg

相似文献

1
Severe blunt muscle trauma in rats: only marginal hypoxia in the injured area.大鼠严重钝性肌肉创伤:损伤区域仅有轻微缺氧。
PLoS One. 2014 Oct 31;9(10):e111151. doi: 10.1371/journal.pone.0111151. eCollection 2014.
2
[The changes of HIF-1α and AMPKα2 expression levels during skeletal muscle blunt injury recovery].[骨骼肌钝性损伤恢复过程中HIF-1α和AMPKα2表达水平的变化]
Zhongguo Ying Yong Sheng Li Xue Za Zhi. 2016 Mar 8;32(3):260-263. doi: 10.13459/j.cnki.cjap.2016.03.018.
3
Compartmental and muscular response to closed soft tissue injury in rats investigated by oxygen-to-see and intravital fluorescence microscopy.利用氧可见技术和活体荧光显微镜研究大鼠闭合性软组织损伤的隔室和肌肉反应。
J Trauma Acute Care Surg. 2012 Jul;73(1):73-9. doi: 10.1097/TA.0b013e31824afddd.
4
[Impact of RNA interference targeting hypoxia-inducible factor-1alpha on chemosensitivity in esophageal squamous cell carcinoma cells under hypoxia].[RNA干扰靶向缺氧诱导因子-1α对缺氧条件下食管鳞状细胞癌细胞化疗敏感性的影响]
Zhonghua Yi Xue Za Zhi. 2007 Oct 9;87(37):2640-4.
5
Evaluation of hypoxia-mediated growth factors in a novel bladder cancer animal model.在一种新型膀胱癌动物模型中对缺氧介导的生长因子的评估。
Anticancer Res. 2007 Nov-Dec;27(6B):4225-31.
6
Ebselen reduces inflammation and microvascular perfusion failure after blunt skeletal muscle injury of the rat.依布硒啉可减轻大鼠钝性骨骼肌损伤后的炎症反应及微血管灌注衰竭。
J Trauma. 2010 Apr;68(4):853-8. doi: 10.1097/TA.0b013e3181b28a18.
7
Effect of pioglitazone on expression of hypoxia-inducible factor 1α and vascular endothelial growth factor in ischemic hindlimb of diabetic rats.吡格列酮对糖尿病大鼠缺血后肢缺氧诱导因子1α及血管内皮生长因子表达的影响
Eur Rev Med Pharmacol Sci. 2014;18(9):1307-14.
8
Reciprocal regulation of HIF-1α and 15-LO/15-HETE promotes anti-apoptosis process in pulmonary artery smooth muscle cells during hypoxia.缺氧时 HIF-1α 与 15-LO/15-HETE 的相互调节促进肺动脉平滑肌细胞的抗凋亡过程。
Prostaglandins Other Lipid Mediat. 2012 Dec;99(3-4):96-106. doi: 10.1016/j.prostaglandins.2012.09.001. Epub 2012 Sep 13.
9
Screening for the formation of reactive oxygen species and of NO in muscle tissue and remote organs upon mechanical trauma to the mouse hind limb.对小鼠后肢进行机械创伤后,对肌肉组织和远处器官中活性氧和一氧化氮的形成进行检测。
Eur Surg Res. 2006;38(2):83-9. doi: 10.1159/000092609. Epub 2006 Apr 7.
10
LPS increases hepatic HIF-1alpha protein and expression of the HIF-1-dependent gene aldolase A in rats.脂多糖可增加大鼠肝脏中低氧诱导因子-1α蛋白以及低氧诱导因子-1依赖基因醛缩酶A的表达。
J Surg Res. 2006 Oct;135(2):262-7. doi: 10.1016/j.jss.2006.05.027. Epub 2006 Aug 23.

引用本文的文献

1
Electrical impedance myography for the early detection of muscle ischemia secondary to compartment syndrome: a study in a rat model.应用肌电阻抗描记术对间隔综合征导致的肌肉缺血进行早期检测:在大鼠模型中的研究。
Sci Rep. 2023 Oct 25;13(1):18252. doi: 10.1038/s41598-023-45209-w.
2
Establishment of an acute extraocular muscle injury model in cats.猫急性眼外肌损伤模型的建立。
Int J Ophthalmol. 2018 Sep 18;11(9):1475-1481. doi: 10.18240/ijo.2018.09.08. eCollection 2018.

本文引用的文献

1
Wound hypoxia in deep tissue after incision in rats.大鼠切口深部组织的伤口缺氧。
Wound Repair Regen. 2013 Sep-Oct;21(5):730-9. doi: 10.1111/wrr.12081. Epub 2013 Aug 8.
2
Myeloid hypoxia-inducible factor-1α is essential for skeletal muscle regeneration in mice.髓系缺氧诱导因子-1α 对于小鼠骨骼肌再生是必需的。
J Immunol. 2013 Jul 1;191(1):407-14. doi: 10.4049/jimmunol.1103779. Epub 2013 May 31.
3
Compartmental and muscular response to closed soft tissue injury in rats investigated by oxygen-to-see and intravital fluorescence microscopy.
利用氧可见技术和活体荧光显微镜研究大鼠闭合性软组织损伤的隔室和肌肉反应。
J Trauma Acute Care Surg. 2012 Jul;73(1):73-9. doi: 10.1097/TA.0b013e31824afddd.
4
The effect of ischemia reperfusion injury on skeletal muscle.缺血再灌注损伤对骨骼肌的影响。
Injury. 2012 Jun;43(6):670-5. doi: 10.1016/j.injury.2011.03.008. Epub 2011 Apr 9.
5
Hypoxia and hypoxia-inducible factor in the burn wound.烧伤创面的缺氧和缺氧诱导因子。
Wound Repair Regen. 2011 Mar-Apr;19(2):205-13. doi: 10.1111/j.1524-475X.2010.00656.x.
6
Progression of secondary injury after musculoskeletal trauma-a window of opportunity?肌肉骨骼创伤后继发性损伤的进展——机会之窗?
J Sport Rehabil. 2010 Nov;19(4):380-8. doi: 10.1123/jsr.19.4.380.
7
Immune depression in musculoskeletal trauma.肌肉骨骼创伤中的免疫抑制。
Inflamm Res. 2010 Jun;59(6):409-14. doi: 10.1007/s00011-010-0167-7. Epub 2010 Feb 11.
8
Release of redox-active iron by muscle crush trauma: no liberation into the circulation.肌肉挤压伤导致氧化还原活性铁的释放:不会释放到循环中。
Shock. 2010 May;33(5):513-8. doi: 10.1097/SHK.0b013e3181c4f56e.
9
Near-infrared spectroscopy in lower extremity trauma.下肢创伤中的近红外光谱技术。
J Bone Joint Surg Am. 2009 Jun;91(6):1360-8. doi: 10.2106/JBJS.H.00347.
10
Significance of nitroimidazole compounds and hypoxia-inducible factor-1 for imaging tumor hypoxia.硝基咪唑化合物和缺氧诱导因子-1在肿瘤缺氧成像中的意义
Cancer Sci. 2009 Aug;100(8):1366-73. doi: 10.1111/j.1349-7006.2009.01195.x. Epub 2009 May 14.