• 文献检索
  • 文档翻译
  • 深度研究
  • 学术资讯
  • Suppr Zotero 插件Zotero 插件
  • 邀请有礼
  • 套餐&价格
  • 历史记录
应用&插件
Suppr Zotero 插件Zotero 插件浏览器插件Mac 客户端Windows 客户端微信小程序
定价
高级版会员购买积分包购买API积分包
服务
文献检索文档翻译深度研究API 文档MCP 服务
关于我们
关于 Suppr公司介绍联系我们用户协议隐私条款
关注我们

Suppr 超能文献

核心技术专利:CN118964589B侵权必究
粤ICP备2023148730 号-1Suppr @ 2026

文献检索

告别复杂PubMed语法,用中文像聊天一样搜索,搜遍4000万医学文献。AI智能推荐,让科研检索更轻松。

立即免费搜索

文件翻译

保留排版,准确专业,支持PDF/Word/PPT等文件格式,支持 12+语言互译。

免费翻译文档

深度研究

AI帮你快速写综述,25分钟生成高质量综述,智能提取关键信息,辅助科研写作。

立即免费体验

白三烯而非补体介导肢体缺血诱导的肺损伤。

Leukotrienes but not complement mediate limb ischemia-induced lung injury.

作者信息

Klausner J M, Paterson I S, Kobzik L, Valeri C R, Shepro D, Hechtman H B

机构信息

Department of Surgery, Brigham and Women's Hospital, Boston, MA 02115.

出版信息

Ann Surg. 1989 Apr;209(4):462-70. doi: 10.1097/00000658-198904000-00012.

DOI:10.1097/00000658-198904000-00012
PMID:2539063
原文链接:https://pmc.ncbi.nlm.nih.gov/articles/PMC1493986/
Abstract

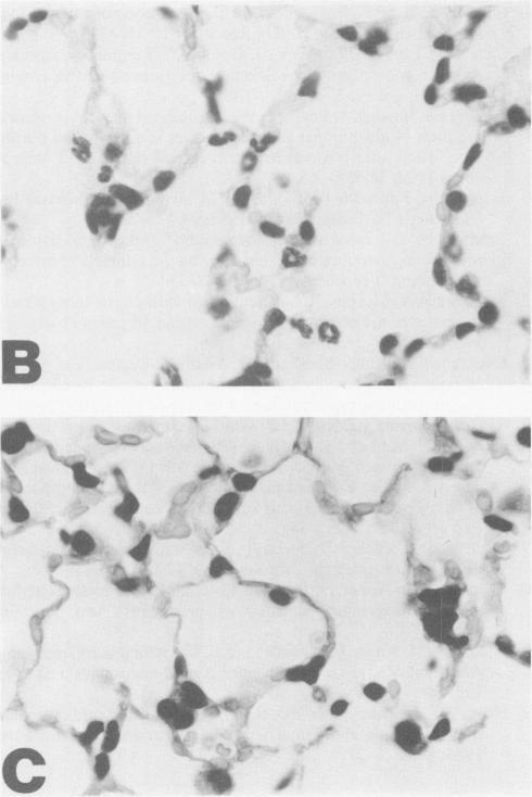
Reperfusion after limb ischemia leads to sequestration of polymorphonuclear leukocytes (PMN) in the lungs and to leukocyte- (WBC) and thromboxane- (Tx) dependent respiratory dysfunction. This study examines the intermediary role of the chemoattractants leukotriene (LT)B4 and complement (C) fragments. Anesthetized sheep with chronic lung lymph fistulae underwent 2 hours of tourniquet ischemia of both hind limbs. In untreated controls (n = 7), 1 minute after tourniquet release, mean pulmonary artery pressure (MPAP) rose from 13 to 38 mmHg (p less than 0.05) and returned to baseline within 30 minutes. Pulmonary artery wedge pressure was unchanged from 3.6 mmHg. There were increases in plasma LTB4 levels from 2.46 to 9.34 ng/ml (p less than 0.01), plasma TxB2 levels from 211 to 735 pg/ml (p less than 0.05), and lung lymph TxB2 from 400 to 1005 pg/ml (p less than 0.05). C3 levels were 96% of baseline values. Thirty minutes after reperfusion, lung lymph flow (QL) increased from 4.3 to 8.3 ml/30 minutes (p less than 0.05), lymph/plasma protein ratio was unchanged from 0.6, and the lymph protein clearance increased from 2.6 to 4.6 ml/30 minutes (p less than 0.05), data consistent with increased microvascular permeability. WBC count fell within the first hour from 6853 to 3793/mm3 (p less than 0.01). Lung histology showed leukosequestration, 62 PMN/10 high-power fields (HPF) and proteinaceous exudates. In contrast to this untreated ischemic group, animals treated with the lypoxygenase inhibitor diethylcarbamazine (n = 5) demonstrated a blunted reperfusion-induced rise in MPAP to 17 mmHg (p less than 0.05). There were no increases in LTB4, TxB2, QL or lymph protein clearance (p less than 0.05). WBC count was unchanged and lung leukosequestration was reduced to 40 PMN/10 HPF (p less than 0.05). Decomplementation with cobra venom factor (n = 4) resulted in plasma C3 levels, 10% of baseline, but tourniquet release still led to pulmonary hypertension, elevated LTB4, TxB2 levels, and a decline in WBC count similar to that of untreated ischemic control animals. Histology showed 46 PMN/10 HPF sequestered in the lungs. Further, bilateral hind limb ischemia in either genetically sufficient (n = 10) or deficient (n = 10) C5 mice led to significant lung leukosequestration of 108 and 106 PMN/10 HPF, respectively, compared with 42 and 47 PMN/10 HPF in sham C5(+) and C5 (-) mice (n = 20) (p less than 0.01). These results suggest that the lung leukosequestration and increased microvascular permeability after lower torso ischemia are mediated by the chemotactic agent LTB4, but not by the complement system.

摘要

肢体缺血后的再灌注会导致多形核白细胞(PMN)在肺部滞留,并导致白细胞(WBC)和血栓素(Tx)依赖性呼吸功能障碍。本研究探讨趋化因子白三烯(LT)B4和补体(C)片段的中介作用。对患有慢性肺淋巴瘘的麻醉绵羊的双后肢进行2小时的止血带缺血处理。在未治疗的对照组(n = 7)中,止血带松开后1分钟,平均肺动脉压(MPAP)从13 mmHg升至38 mmHg(p < 0.05),并在30分钟内恢复至基线水平。肺动脉楔压从3.6 mmHg未发生变化。血浆LTB4水平从2.46 ng/ml升至9.34 ng/ml(p < 0.01),血浆TxB2水平从211 pg/ml升至735 pg/ml(p < 0.05),肺淋巴TxB2从400 pg/ml升至1005 pg/ml(p < 0.05)。C3水平为基线值的96%。再灌注30分钟后,肺淋巴流量(QL)从4.3 ml/30分钟增加至8.3 ml/30分钟(p < 0.05),淋巴/血浆蛋白比值从0.6未发生变化,淋巴蛋白清除率从2.6 ml/30分钟增加至4.6 ml/30分钟(p < 0.05),这些数据与微血管通透性增加一致。白细胞计数在第一小时内从6853/mm³降至3793/mm³(p < 0.01)。肺组织学显示白细胞滞留,每10个高倍视野(HPF)有62个PMN以及蛋白质渗出物。与未治疗的缺血组相比,用脂氧合酶抑制剂乙胺嗪治疗的动物(n = 5),再灌注诱导的MPAP升高减弱至17 mmHg(p < 0.05)。LTB4、TxB2、QL或淋巴蛋白清除率均未增加(p < 0.05)。白细胞计数未发生变化,肺白细胞滞留减少至每10个HPF有40个PMN(p < 0.05)。用眼镜蛇毒因子进行补体灭活(n = 4)导致血浆C3水平降至基线的10%,但止血带松开仍导致肺动脉高压、LTB4和TxB2水平升高以及白细胞计数下降,与未治疗的缺血对照动物相似。组织学显示每10个HPF有46个PMN滞留在肺部。此外,与假手术的C5(+)和C5(-)小鼠(n = 20)每10个HPF分别有42个和47个PMN相比,基因充足(n = 10)或缺乏(n = 10)C5的小鼠双侧后肢缺血分别导致显著的肺白细胞滞留,每10个HPF分别有108个和106个PMN(p < 0.01)。这些结果表明,下半身缺血后肺白细胞滞留和微血管通透性增加是由趋化剂LTB4介导的,而非补体系统。

https://cdn.ncbi.nlm.nih.gov/pmc/blobs/19f3/1493986/0db96265aceb/annsurg00182-0097-b.jpg
https://cdn.ncbi.nlm.nih.gov/pmc/blobs/19f3/1493986/6647bd844d00/annsurg00182-0095-a.jpg
https://cdn.ncbi.nlm.nih.gov/pmc/blobs/19f3/1493986/a895b08ff305/annsurg00182-0097-a.jpg
https://cdn.ncbi.nlm.nih.gov/pmc/blobs/19f3/1493986/0db96265aceb/annsurg00182-0097-b.jpg
https://cdn.ncbi.nlm.nih.gov/pmc/blobs/19f3/1493986/6647bd844d00/annsurg00182-0095-a.jpg
https://cdn.ncbi.nlm.nih.gov/pmc/blobs/19f3/1493986/a895b08ff305/annsurg00182-0097-a.jpg
https://cdn.ncbi.nlm.nih.gov/pmc/blobs/19f3/1493986/0db96265aceb/annsurg00182-0097-b.jpg

相似文献

1
Leukotrienes but not complement mediate limb ischemia-induced lung injury.白三烯而非补体介导肢体缺血诱导的肺损伤。
Ann Surg. 1989 Apr;209(4):462-70. doi: 10.1097/00000658-198904000-00012.
2
Lower torso ischemia-induced lung injury is leukocyte dependent.下半身缺血诱导的肺损伤依赖于白细胞。
Ann Surg. 1988 Dec;208(6):761-7. doi: 10.1097/00000658-198812000-00015.
3
Thromboxane A2 mediates increased pulmonary microvascular permeability following limb ischemia.血栓素A2介导肢体缺血后肺微血管通透性增加。
Circ Res. 1989 Jun;64(6):1178-89. doi: 10.1161/01.res.64.6.1178.
4
Pulmonary hypertension and leukosequestration after lower torso ischemia.下半身缺血后的肺动脉高压和白细胞隔离
Ann Surg. 1987 Nov;206(5):642-8. doi: 10.1097/00000658-198711000-00015.
5
Mast cells and leukotrienes mediate neutrophil sequestration and lung edema after remote ischemia in rodents.肥大细胞和白三烯介导啮齿动物远程缺血后的中性粒细胞滞留和肺水肿。
Surgery. 1992 Sep;112(3):578-86.
6
Limb ischemia-induced increase in permeability is mediated by leukocytes and leukotrienes.肢体缺血诱导的通透性增加是由白细胞和白三烯介导的。
Ann Surg. 1988 Dec;208(6):755-60. doi: 10.1097/00000658-198812000-00014.
7
Reperfusion of ischemic lower limbs increases pulmonary microvascular permeability.缺血下肢的再灌注会增加肺微血管通透性。
J Trauma. 1988 May;28(5):607-10. doi: 10.1097/00005373-198805000-00007.
8
Pulmonary leukosequestration induced by hind limb ischemia.
Ann Surg. 1987 Aug;206(2):162-7. doi: 10.1097/00000658-198708000-00008.
9
Interleukin-2-induced lung permeability is mediated by leukotriene B4.
Cancer. 1990 Dec 1;66(11):2357-64. doi: 10.1002/1097-0142(19901201)66:11<2357::aid-cncr2820661118>3.0.co;2-j.
10
Ischemia and reperfusion injury: prevention of pulmonary hypertension and leukosequestration following lower limb ischemia.
Prostaglandins Leukot Essent Fatty Acids. 1997 Feb;56(2):117-20. doi: 10.1016/s0952-3278(97)90507-x.

引用本文的文献

1
Targeting CD36 With EP 80317 Reduces Remote Inflammatory Response to Hind Limb Ischemia-Reperfusion in Mice.靶向 CD36 用 EP80317 减少小鼠后肢缺血再灌注的远程炎症反应。
J Biochem Mol Toxicol. 2024 Dec;38(12):e70057. doi: 10.1002/jbt.70057.
2
A clinically-relevant mouse model that displays hemorrhage exacerbates tourniquet-induced acute kidney injury.一种表现出出血的临床相关小鼠模型会加重止血带诱导的急性肾损伤。
Front Physiol. 2023 Nov 8;14:1240352. doi: 10.3389/fphys.2023.1240352. eCollection 2023.
3
[Not Available].[无可用内容]

本文引用的文献

1
Some statistical methods useful in circulation research.一些在循环研究中有用的统计方法。
Circ Res. 1980 Jul;47(1):1-9. doi: 10.1161/01.res.47.1.1.
2
Intravascular activation of complement and acute lung injury. Dependency on neutrophils and toxic oxygen metabolites.补体的血管内激活与急性肺损伤。对中性粒细胞和毒性氧代谢产物的依赖性。
J Clin Invest. 1982 May;69(5):1126-35. doi: 10.1172/jci110548.
3
Role of endothelial cell cytoskeleton in control of endothelial permeability.内皮细胞细胞骨架在控制内皮通透性中的作用。
Oper Orthop Traumatol. 1999 Sep;11(3):243-51. doi: 10.1007/BF02593986.
4
Cooperative role of endogenous leucotrienes and platelet-activating factor in ischaemia-reperfusion-mediated tissue injury.内源性白三烯和血小板激活因子在缺血再灌注介导的组织损伤中的协同作用。
J Cell Mol Med. 2013 Dec;17(12):1554-65. doi: 10.1111/jcmm.12118. Epub 2013 Nov 1.
5
Systemic upregulation of leukocyte integrins in response to lower body ischemia-reperfusion during abdominal aortic aneurysm repair.腹主动脉瘤修复过程中,对下半身缺血再灌注的反应中白细胞整合素的全身上调。
J Natl Med Assoc. 2005 Feb;97(2):172-9.
6
Bactericidal/permeability-increasing protein attenuates systemic inflammation and acute lung injury in porcine lower limb ischemia-reperfusion injury.杀菌/通透性增加蛋白减轻猪下肢缺血再灌注损伤中的全身炎症反应和急性肺损伤。
Ann Surg. 2001 Aug;234(2):233-44. doi: 10.1097/00000658-200108000-00014.
7
Intestinal ischemia-reperfusion injury causes pulmonary endothelial cell ATP depletion.肠道缺血再灌注损伤导致肺内皮细胞三磷酸腺苷耗竭。
Ann Surg. 1993 Jan;217(1):48-56. doi: 10.1097/00000658-199301000-00009.
8
Requirements for neutrophil products and L-arginine in ischemia-reperfusion injury.缺血再灌注损伤中对中性粒细胞产物和L-精氨酸的要求。
Am J Pathol. 1993 Apr;142(4):1217-26.
9
Fatty acid composition of lung, macrophage and surfactant phospholipids after short-term enteral feeding with n-3 lipids.短期经肠内给予n-3脂质后肺、巨噬细胞和表面活性剂磷脂的脂肪酸组成
Lipids. 1994 Sep;29(9):643-9. doi: 10.1007/BF02536099.
10
Blockade of complement activation prevents local and pulmonary albumin leak after lower torso ischemia-reperfusion.补体激活的阻断可防止下半身缺血再灌注后局部和肺部白蛋白渗漏。
Ann Surg. 1992 Dec;216(6):677-83. doi: 10.1097/00000658-199212000-00010.
Circ Res. 1982 Nov;51(5):657-61. doi: 10.1161/01.res.51.5.657.
4
Accumulation of cyclooxygenase products of arachidonic acid metabolism in gerbil brain during reperfusion after bilateral common carotid artery occlusion.双侧颈总动脉闭塞后再灌注期间沙鼠脑内花生四烯酸代谢的环氧化酶产物的蓄积
J Neurochem. 1980 Sep;35(3):653-8. doi: 10.1111/j.1471-4159.1980.tb03704.x.
5
Oxygen metabolites stimulate thromboxane production and vasoconstriction in isolated saline-perfused rabbit lungs.氧代谢产物可刺激离体盐水灌注兔肺中血栓素的产生及血管收缩。
J Clin Invest. 1984 Aug;74(2):608-13. doi: 10.1172/JCI111458.
6
Determinants of cardiovascular stability during abdominal aortic aneurysmectomy (AAA).腹主动脉瘤切除术(AAA)期间心血管稳定性的决定因素。
Ann Surg. 1984 Feb;199(2):216-22. doi: 10.1097/00000658-198402000-00015.
7
Neutrophils and the adult respiratory distress syndrome.中性粒细胞与成人呼吸窘迫综合征
Am Rev Respir Dis. 1983 Sep;128(3):552-9. doi: 10.1164/arrd.1983.128.3.552.
8
Thromboxane formation in human polymorphonuclear leukocytes is inhibited by prednisolone and stimulated by leukotrienes B4, C4, D4 and histamine.
Prostaglandins Leukot Med. 1984 May;14(2):161-7. doi: 10.1016/0262-1746(84)90197-5.
9
A radioimmunoassay for leukotriene B4.白三烯B4的放射免疫测定法。
Prostaglandins. 1982 Aug;24(2):225-35. doi: 10.1016/0090-6980(82)90148-4.
10
Inhibition of leukotriene biosynthesis in mastocytoma cells by diethylcarbamazine.
Biochem Pharmacol. 1982 Jun 1;31(11):2129-32. doi: 10.1016/0006-2952(82)90435-x.