Imura Yoshinori, Shigi Atsuo, Outani Hidetatsu, Hamada Kenichiro, Tamura Hiromi, Morii Eiichi, Myoui Akira, Yoshikawa Hideki, Naka Norifumi
Department of Orthopaedic Surgery, Osaka University Graduate School of Medicine, 2-2 Yamadaoka, Suita, Osaka 565-0871, Japan.
World J Surg Oncol. 2014 Nov 22;12:354. doi: 10.1186/1477-7819-12-354.
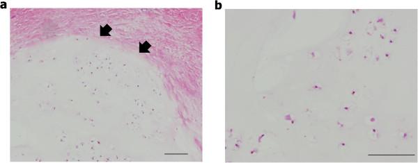
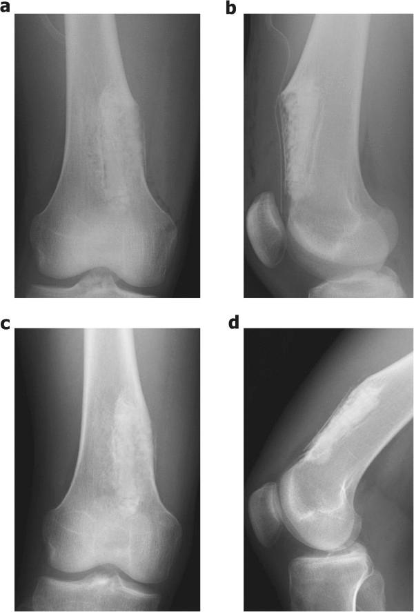
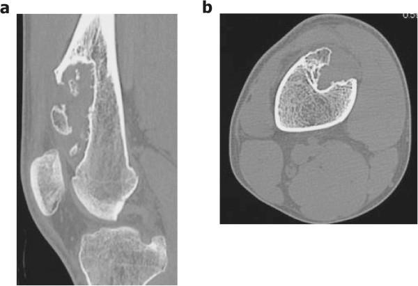
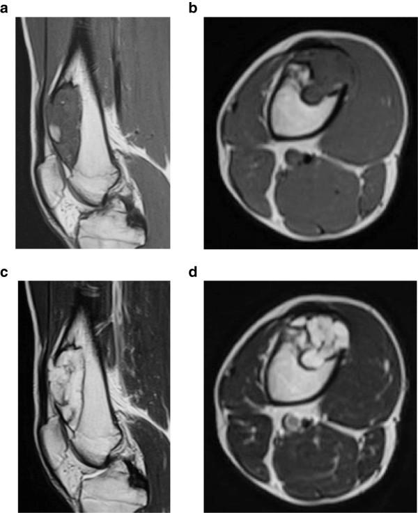
Periosteal chondromas are rare benign cartilaginous tumors that arise adjacent to the cortex beneath the periosteum. These lesions are usually slow-growing and rarely exceed 3 cm in the greatest dimension. Here, we describe a 17-year-old boy who had a giant periosteal chondroma of the right distal femur, which was treated with intralesional resection and intensive curettage. In addition, we report a novel application of a bioresorbable plate in the management of the large bone defect after resection of a benign bone tumor.
骨膜软骨瘤是一种罕见的良性软骨肿瘤,起源于骨膜下皮质附近。这些病变通常生长缓慢,最大直径很少超过3厘米。在此,我们描述一名17岁男孩,其右股骨远端患有巨大骨膜软骨瘤,采用病灶内切除和彻底刮除术进行治疗。此外,我们报告了一种可生物吸收板在良性骨肿瘤切除术后大骨缺损处理中的新应用。